Changes in the periodontal and tomographic parameters of 36 anterior maxillary teeth one year after periapical surgery with submarginal incision.

IF 2.1 3区 医学 Q2 DENTISTRY, ORAL SURGERY & MEDICINE
A Boronat-López, J Cervera-Ballester, J-C Bernabeu-Mira, M Peñarrocha-Diago, D Peñarrocha-Oltra
{"title":"Changes in the periodontal and tomographic parameters of 36 anterior maxillary teeth one year after periapical surgery with submarginal incision.","authors":"A Boronat-López, J Cervera-Ballester, J-C Bernabeu-Mira, M Peñarrocha-Diago, D Peñarrocha-Oltra","doi":"10.4317/medoral.27157","DOIUrl":null,"url":null,"abstract":"<p><strong>Background: </strong>A study was made of the clinical periodontal changes and buccal cortical bone modifications using cone-beam computed tomography (CBCT) in anterior maxillary teeth with chronic apical periodontitis one year after periapical surgery with submarginal incision.</p><p><strong>Material and methods: </strong>A prospective case series analysis was made of anterior teeth subjected to apical surgery and submarginal incision with a follow-up period of 12 months. Clinical periodontal parameters were recorded, along with tomographic measurements of the buccal cortical bone and volume of the lesion (in mm3) before and one year after surgery. Success was assessed based on the clinical and tomographic data.</p><p><strong>Results: </strong>Thirty-six anterior maxillary teeth from 36 patients with a mean age 43.1 years were enrolled in the study. One year after surgery, mean gingival recession was found to be 0.19 mm with a clinical attachment loss of 0.28 mm. Marginal bone loss was 0.25 mm. The thickness of the buccal cortical bone decreased at all three measurement points, with the greatest decrease being observed at 3 mm from the bone crest (0.58 mm). The distance from the apex to the buccal cortical bone (depth of the apex) decreased 0.59 mm at one year. The clinical parameters (clinical attachment level and probing depth) were not correlated with the tomographic measurements (cementoenamel junction-bone crest distance). The mean lesion volume was 457 mm3 at baseline versus 28.4 mm3 one year after surgery, representing a decrease of 93.8% in 12 months. The success rate at one year postsurgery was 94.4%.</p><p><strong>Conclusions: </strong>One year after apical surgery of anterior maxillary teeth with submarginal incision, only minimal clinical periodontal and tomographic changes are observed, with no clinical relevance. The mean lesion volume decreased 93.8%, and the success rate was 94.4%.</p>","PeriodicalId":49016,"journal":{"name":"Medicina Oral Patologia Oral Y Cirugia Bucal","volume":" ","pages":"e673-e680"},"PeriodicalIF":2.1000,"publicationDate":"2025-09-01","publicationTypes":"Journal Article","fieldsOfStudy":null,"isOpenAccess":false,"openAccessPdf":"https://www.ncbi.nlm.nih.gov/pmc/articles/PMC12395577/pdf/","citationCount":"0","resultStr":null,"platform":"Semanticscholar","paperid":null,"PeriodicalName":"Medicina Oral Patologia Oral Y Cirugia Bucal","FirstCategoryId":"3","ListUrlMain":"https://doi.org/10.4317/medoral.27157","RegionNum":3,"RegionCategory":"医学","ArticlePicture":[],"TitleCN":null,"AbstractTextCN":null,"PMCID":null,"EPubDate":"","PubModel":"","JCR":"Q2","JCRName":"DENTISTRY, ORAL SURGERY & MEDICINE","Score":null,"Total":0}
引用次数: 0

Abstract

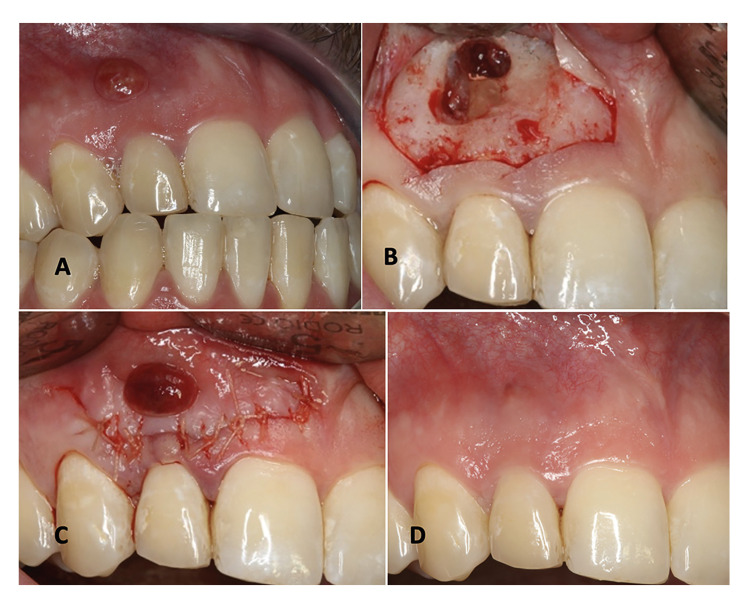
Background: A study was made of the clinical periodontal changes and buccal cortical bone modifications using cone-beam computed tomography (CBCT) in anterior maxillary teeth with chronic apical periodontitis one year after periapical surgery with submarginal incision.

Material and methods: A prospective case series analysis was made of anterior teeth subjected to apical surgery and submarginal incision with a follow-up period of 12 months. Clinical periodontal parameters were recorded, along with tomographic measurements of the buccal cortical bone and volume of the lesion (in mm3) before and one year after surgery. Success was assessed based on the clinical and tomographic data.

Results: Thirty-six anterior maxillary teeth from 36 patients with a mean age 43.1 years were enrolled in the study. One year after surgery, mean gingival recession was found to be 0.19 mm with a clinical attachment loss of 0.28 mm. Marginal bone loss was 0.25 mm. The thickness of the buccal cortical bone decreased at all three measurement points, with the greatest decrease being observed at 3 mm from the bone crest (0.58 mm). The distance from the apex to the buccal cortical bone (depth of the apex) decreased 0.59 mm at one year. The clinical parameters (clinical attachment level and probing depth) were not correlated with the tomographic measurements (cementoenamel junction-bone crest distance). The mean lesion volume was 457 mm3 at baseline versus 28.4 mm3 one year after surgery, representing a decrease of 93.8% in 12 months. The success rate at one year postsurgery was 94.4%.

Conclusions: One year after apical surgery of anterior maxillary teeth with submarginal incision, only minimal clinical periodontal and tomographic changes are observed, with no clinical relevance. The mean lesion volume decreased 93.8%, and the success rate was 94.4%.

Abstract Image

Abstract Image

36颗上颌前牙根尖周手术后1年牙周及层析参数的变化。
背景:应用锥形束计算机断层扫描(CBCT)研究慢性根尖牙周炎患者在根尖周缘下切口手术后1年的临床牙周变化和颊皮质骨改变。材料与方法:对行根尖手术及缘下切口的前牙进行前瞻性病例系列分析,随访12个月。记录临床牙周参数,以及术前和术后一年颊皮质骨的断层扫描测量和病变体积(mm3)。根据临床和断层扫描数据评估手术成功与否。结果:36例患者的36颗上颌前牙被纳入研究,平均年龄43.1岁。术后一年,平均牙龈退缩0.19 mm,临床附着损失0.28 mm。边缘骨丢失0.25 mm。颊皮质骨厚度在三个测量点均下降,在距骨嵴3 mm处下降幅度最大(0.58 mm)。从牙尖到颊皮质骨的距离(牙尖深度)在一年内减少0.59 mm。临床参数(临床附着水平和探探深度)与层析测量(牙骨质-牙釉质连接-骨嵴距离)无关。基线时的平均病变体积为457 mm3,而术后一年的平均病变体积为28.4 mm3,在12个月内减少了93.8%。术后1年成功率为94.4%。结论:上颌前牙边缘下切口根尖手术后1年,牙周及体层扫描变化很小,与临床无相关性。平均病灶体积缩小93.8%,成功率94.4%。
本文章由计算机程序翻译,如有差异,请以英文原文为准。
求助全文
约1分钟内获得全文 求助全文
来源期刊
Medicina Oral Patologia Oral Y Cirugia Bucal
Medicina Oral Patologia Oral Y Cirugia Bucal DENTISTRY, ORAL SURGERY & MEDICINE-
CiteScore
4.60
自引率
0.00%
发文量
52
审稿时长
3-8 weeks
期刊介绍: 1. Oral Medicine and Pathology: Clinicopathological as well as medical or surgical management aspects of diseases affecting oral mucosa, salivary glands, maxillary bones, as well as orofacial neurological disorders, and systemic conditions with an impact on the oral cavity. 2. Oral Surgery: Surgical management aspects of diseases affecting oral mucosa, salivary glands, maxillary bones, teeth, implants, oral surgical procedures. Surgical management of diseases affecting head and neck areas. 3. Medically compromised patients in Dentistry: Articles discussing medical problems in Odontology will also be included, with a special focus on the clinico-odontological management of medically compromised patients, and considerations regarding high-risk or disabled patients. 4. Implantology 5. Periodontology
×
引用
GB/T 7714-2015
复制
MLA
复制
APA
复制
导出至
BibTeX EndNote RefMan NoteFirst NoteExpress
×
提示
您的信息不完整,为了账户安全,请先补充。
现在去补充
×
提示
您因"违规操作"
具体请查看互助需知
我知道了
×
提示
确定
请完成安全验证×
copy
已复制链接
快去分享给好友吧!
我知道了
右上角分享
点击右上角分享
0
联系我们:info@booksci.cn Book学术提供免费学术资源搜索服务,方便国内外学者检索中英文文献。致力于提供最便捷和优质的服务体验。 Copyright © 2023 布克学术 All rights reserved.
京ICP备2023020795号-1
ghs 京公网安备 11010802042870号
Book学术文献互助
Book学术文献互助群
群 号:604180095
Book学术官方微信