High Lipoprotein (a) Levels Causing Recurrent Deep Vein Thrombosis and Cerebral Venous Sinus Thrombosis in Different Pregnancies: A Case Report.

IF 0.6 Q4 CLINICAL NEUROLOGY
Case Reports in Neurology Pub Date : 2025-07-14 eCollection Date: 2025-01-01 DOI:10.1159/000546461
Akihiro Okada, Takeshi Kawauchi, Yukinori Terada, Kenji Hashimoto
{"title":"High Lipoprotein (a) Levels Causing Recurrent Deep Vein Thrombosis and Cerebral Venous Sinus Thrombosis in Different Pregnancies: A Case Report.","authors":"Akihiro Okada, Takeshi Kawauchi, Yukinori Terada, Kenji Hashimoto","doi":"10.1159/000546461","DOIUrl":null,"url":null,"abstract":"<p><strong>Introduction: </strong>High levels of lipoprotein (a) [Lp (a)] have gained attention as a risk factor for venous thrombosis. Venous thrombosis during pregnancy in women without thrombophilic predisposition is attributed to pregnancy itself. Herein, we report a case of high Lp (a) levels manifesting as recurrent deep vein thrombosis (DVT) and cerebral venous sinus thrombosis (CVST) in different pregnancies.</p><p><strong>Case presentation: </strong>A 29-year-old Nepalese woman developed DVT during her first pregnancy. Examination revealed no thrombophilic predisposition. The thrombus resolved with oral anticoagulant medication, which was discontinued after 3 months. During the second pregnancy, prophylactic subcutaneous heparin injections were initiated to prevent venous embolism. Following several days of non-administration of heparin, she experienced left occipital pain, and magnetic resonance venogram showed left CVST. Oral anticoagulants were initiated, and her headache resolved within a few days. Additional blood tests showed abnormally high levels of Lp (a) at 113 mg/dL. Six months later, the CVST was partially recanalized.</p><p><strong>Conclusion: </strong>If venous thrombosis develops during pregnancy in patients without thrombophilic predisposition, Lp (a) levels should be monitored, and long-term anticoagulant medication may be desirable in those with high Lp (a) levels to prevent recurrence of venous thrombosis.</p>","PeriodicalId":9639,"journal":{"name":"Case Reports in Neurology","volume":"17 1","pages":"107-112"},"PeriodicalIF":0.6000,"publicationDate":"2025-07-14","publicationTypes":"Journal Article","fieldsOfStudy":null,"isOpenAccess":false,"openAccessPdf":"https://www.ncbi.nlm.nih.gov/pmc/articles/PMC12342702/pdf/","citationCount":"0","resultStr":null,"platform":"Semanticscholar","paperid":null,"PeriodicalName":"Case Reports in Neurology","FirstCategoryId":"1085","ListUrlMain":"https://doi.org/10.1159/000546461","RegionNum":0,"RegionCategory":null,"ArticlePicture":[],"TitleCN":null,"AbstractTextCN":null,"PMCID":null,"EPubDate":"2025/1/1 0:00:00","PubModel":"eCollection","JCR":"Q4","JCRName":"CLINICAL NEUROLOGY","Score":null,"Total":0}
引用次数: 0

Abstract

Introduction: High levels of lipoprotein (a) [Lp (a)] have gained attention as a risk factor for venous thrombosis. Venous thrombosis during pregnancy in women without thrombophilic predisposition is attributed to pregnancy itself. Herein, we report a case of high Lp (a) levels manifesting as recurrent deep vein thrombosis (DVT) and cerebral venous sinus thrombosis (CVST) in different pregnancies.

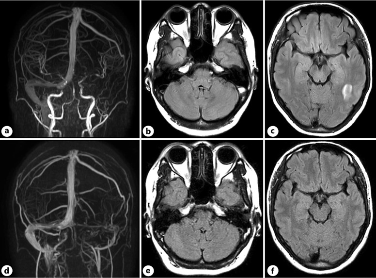
Case presentation: A 29-year-old Nepalese woman developed DVT during her first pregnancy. Examination revealed no thrombophilic predisposition. The thrombus resolved with oral anticoagulant medication, which was discontinued after 3 months. During the second pregnancy, prophylactic subcutaneous heparin injections were initiated to prevent venous embolism. Following several days of non-administration of heparin, she experienced left occipital pain, and magnetic resonance venogram showed left CVST. Oral anticoagulants were initiated, and her headache resolved within a few days. Additional blood tests showed abnormally high levels of Lp (a) at 113 mg/dL. Six months later, the CVST was partially recanalized.

Conclusion: If venous thrombosis develops during pregnancy in patients without thrombophilic predisposition, Lp (a) levels should be monitored, and long-term anticoagulant medication may be desirable in those with high Lp (a) levels to prevent recurrence of venous thrombosis.

Abstract Image

高脂蛋白(a)水平引起不同妊娠期深静脉血栓和脑静脉窦血栓复发1例报告。
导论:高水平脂蛋白(a) [Lp (a)]作为静脉血栓形成的危险因素已引起人们的关注。没有血栓倾向的妇女在怀孕期间静脉血栓形成归因于怀孕本身。在此,我们报告一例高Lp (a)水平表现为复发性深静脉血栓形成(DVT)和脑静脉窦血栓形成(CVST)在不同的怀孕。病例介绍:一名29岁的尼泊尔妇女在第一次怀孕期间发生深静脉血栓。检查显示无血栓倾向。口服抗凝药物后血栓消退,3个月后停用。在第二次怀孕期间,预防性皮下注射肝素以防止静脉栓塞。数天未使用肝素后,患者出现左侧枕部疼痛,磁共振血管造影显示左侧CVST。口服抗凝剂后,她的头痛在几天内消失。额外的血液检查显示Lp (a)异常高,为113毫克/分升。6个月后,CVST部分再通。结论:无血栓易感性的孕妇妊娠期若发生静脉血栓形成,应监测Lp (a)水平,对Lp (a)水平高的孕妇应长期使用抗凝药物,以防止静脉血栓复发。
本文章由计算机程序翻译,如有差异,请以英文原文为准。
求助全文
约1分钟内获得全文 求助全文
来源期刊
Case Reports in Neurology
Case Reports in Neurology Medicine-Neurology (clinical)
CiteScore
1.50
自引率
0.00%
发文量
67
审稿时长
14 weeks
期刊介绍: This new peer-reviewed online-only journal publishes original case reports covering the entire spectrum of neurology. Clinicians and researchers are given a tool to disseminate their personal experience to a wider public as well as to review interesting cases encountered by colleagues all over the world. To complement the contributions supplementary material is welcomed. The reports are searchable according to the key words supplied by the authors; it will thus be possible to search across the entire growing collection of case reports with universally used terms, further facilitating the retrieval of specific information. Following the open access principle, the entire contents can be retrieved at no charge, guaranteeing easy access to this valuable source of anecdotal information at all times.
×
引用
GB/T 7714-2015
复制
MLA
复制
APA
复制
导出至
BibTeX EndNote RefMan NoteFirst NoteExpress
×
提示
您的信息不完整,为了账户安全,请先补充。
现在去补充
×
提示
您因"违规操作"
具体请查看互助需知
我知道了
×
提示
确定
请完成安全验证×
copy
已复制链接
快去分享给好友吧!
我知道了
右上角分享
点击右上角分享
0
联系我们:info@booksci.cn Book学术提供免费学术资源搜索服务,方便国内外学者检索中英文文献。致力于提供最便捷和优质的服务体验。 Copyright © 2023 布克学术 All rights reserved.
京ICP备2023020795号-1
ghs 京公网安备 11010802042870号
Book学术文献互助
Book学术文献互助群
群 号:604180095
Book学术官方微信