Unilateral Painless Visual Loss in Sphenoid Mucoceles with Optic Neuropathy.

IF 0.6 Q4 OPHTHALMOLOGY
Case Reports in Ophthalmology Pub Date : 2025-07-07 eCollection Date: 2025-01-01 DOI:10.1159/000546758
Li Wang, Yingqian Tan, Fang Li, Yue Liang, Guangui Chen, Amy Michelle Huang, Lina Li, Junming Wang, Zhiping Liu
{"title":"Unilateral Painless Visual Loss in Sphenoid Mucoceles with Optic Neuropathy.","authors":"Li Wang, Yingqian Tan, Fang Li, Yue Liang, Guangui Chen, Amy Michelle Huang, Lina Li, Junming Wang, Zhiping Liu","doi":"10.1159/000546758","DOIUrl":null,"url":null,"abstract":"<p><strong>Introduction: </strong>Mucoceles are benign, slow-growing cystic formations located within the paranasal sinuses, caused by complete ostial obstruction and accumulation of mucous secretions. Here, we report a case of a patient who initially presented with unilateral painless visual impairment and was ultimately diagnosed with bilateral sphenoid sinus mucoceles (SSMs) after two hospitalizations.</p><p><strong>Case presentation: </strong>A 67-year-old woman presented with a 7-day history of decreased vision in her left eye. She denied any orbital pain, headache, or restricted eye movement and was diagnosed with retrobulbar ischemic optic neuropathy on the first admission. After drug treatment, the visual acuity of patient improved significantly, but 3 months after discharge, the patient was hospitalized again due to recurrent vision loss accompanied by left orbital pain and left temporal pulsatile headaches. After multiple imaging examinations, the patient was ultimately diagnosed with SSMs and her visual acuity was restored after surgical treatment.</p><p><strong>Conclusions: </strong>The majority of SSMs are associated with ocular symptoms, with only a minority presenting solely with unilateral or bilateral vision loss, as exemplified in this case. Therefore, understanding the clinical features of visual disturbances secondary to SSMs is crucial to aiding more prompt diagnosis and treatment.</p>","PeriodicalId":9635,"journal":{"name":"Case Reports in Ophthalmology","volume":"16 1","pages":"559-566"},"PeriodicalIF":0.6000,"publicationDate":"2025-07-07","publicationTypes":"Journal Article","fieldsOfStudy":null,"isOpenAccess":false,"openAccessPdf":"https://www.ncbi.nlm.nih.gov/pmc/articles/PMC12342703/pdf/","citationCount":"0","resultStr":null,"platform":"Semanticscholar","paperid":null,"PeriodicalName":"Case Reports in Ophthalmology","FirstCategoryId":"1085","ListUrlMain":"https://doi.org/10.1159/000546758","RegionNum":0,"RegionCategory":null,"ArticlePicture":[],"TitleCN":null,"AbstractTextCN":null,"PMCID":null,"EPubDate":"2025/1/1 0:00:00","PubModel":"eCollection","JCR":"Q4","JCRName":"OPHTHALMOLOGY","Score":null,"Total":0}
引用次数: 0

Abstract

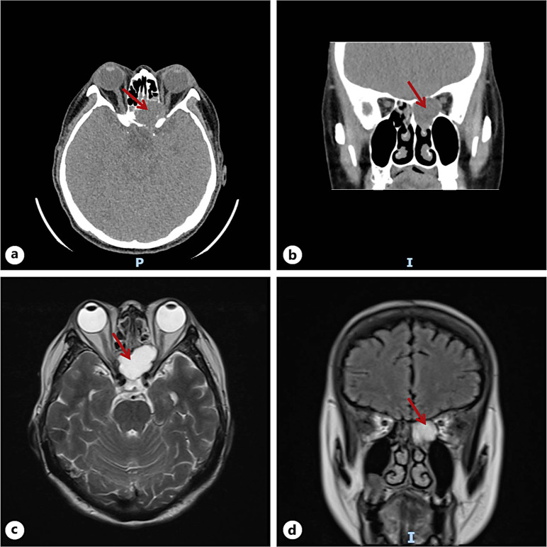
Introduction: Mucoceles are benign, slow-growing cystic formations located within the paranasal sinuses, caused by complete ostial obstruction and accumulation of mucous secretions. Here, we report a case of a patient who initially presented with unilateral painless visual impairment and was ultimately diagnosed with bilateral sphenoid sinus mucoceles (SSMs) after two hospitalizations.

Case presentation: A 67-year-old woman presented with a 7-day history of decreased vision in her left eye. She denied any orbital pain, headache, or restricted eye movement and was diagnosed with retrobulbar ischemic optic neuropathy on the first admission. After drug treatment, the visual acuity of patient improved significantly, but 3 months after discharge, the patient was hospitalized again due to recurrent vision loss accompanied by left orbital pain and left temporal pulsatile headaches. After multiple imaging examinations, the patient was ultimately diagnosed with SSMs and her visual acuity was restored after surgical treatment.

Conclusions: The majority of SSMs are associated with ocular symptoms, with only a minority presenting solely with unilateral or bilateral vision loss, as exemplified in this case. Therefore, understanding the clinical features of visual disturbances secondary to SSMs is crucial to aiding more prompt diagnosis and treatment.

Abstract Image

Abstract Image

Abstract Image

视神经病变伴蝶窦粘液囊肿单侧无痛性视力丧失。
简介:粘液囊肿是位于鼻窦内的良性、生长缓慢的囊性形成物,由完全的鼻腔阻塞和粘液分泌物的积累引起。在这里,我们报告了一例患者,他最初表现为单侧无痛性视力障碍,在两次住院治疗后最终被诊断为双侧蝶窦粘液囊肿(SSMs)。病例介绍:一名67岁女性,左眼视力下降7天。她否认眼眶疼痛、头痛或眼球运动受限,首次入院时被诊断为球后缺血性视神经病变。经药物治疗,患者视力明显改善,但出院3个月后,患者因复发性视力下降并伴有左眼眶疼痛、左颞脉性头痛再次住院。经过多次影像学检查,患者最终被诊断为ssm,手术治疗后视力恢复。结论:大多数ssm与眼部症状相关,只有少数表现为单侧或双侧视力丧失,如本病例所示。因此,了解ssm继发视觉障碍的临床特征对于帮助更及时的诊断和治疗至关重要。
本文章由计算机程序翻译,如有差异,请以英文原文为准。
求助全文
约1分钟内获得全文 求助全文
来源期刊
CiteScore
0.90
自引率
0.00%
发文量
129
审稿时长
12 weeks
期刊介绍: This peer-reviewed online-only journal publishes original case reports covering the entire spectrum of ophthalmology, including prevention, diagnosis, treatment, toxicities of therapy, supportive care, quality-of-life, and survivorship issues. The submission of negative results is strongly encouraged. The journal will also accept case reports dealing with the use of novel technologies, both in the arena of diagnosis and treatment. Supplementary material is welcomed. The intent of the journal is to provide clinicians and researchers with a tool to disseminate their personal experiences to a wider public as well as to review interesting cases encountered by colleagues all over the world. Universally used terms can be searched across the entire growing collection of case reports, further facilitating the retrieval of specific information. Following the open access principle, the entire contents can be retrieved at no charge, guaranteeing easy access to this valuable source of anecdotal information at all times.
×
引用
GB/T 7714-2015
复制
MLA
复制
APA
复制
导出至
BibTeX EndNote RefMan NoteFirst NoteExpress
×
提示
您的信息不完整,为了账户安全,请先补充。
现在去补充
×
提示
您因"违规操作"
具体请查看互助需知
我知道了
×
提示
确定
请完成安全验证×
copy
已复制链接
快去分享给好友吧!
我知道了
右上角分享
点击右上角分享
0
联系我们:info@booksci.cn Book学术提供免费学术资源搜索服务,方便国内外学者检索中英文文献。致力于提供最便捷和优质的服务体验。 Copyright © 2023 布克学术 All rights reserved.
京ICP备2023020795号-1
ghs 京公网安备 11010802042870号
Book学术文献互助
Book学术文献互助群
群 号:604180095
Book学术官方微信