Co-Infection of Pulmonary Aspergillosis and Cryptococcal Meningitis in an HIV-Positive Patient: A Case Report.

IF 0.8 Q4 INFECTIOUS DISEASES
Case Reports in Infectious Diseases Pub Date : 2025-08-05 eCollection Date: 2025-01-01 DOI:10.1155/crdi/5630156
Marjan Hemmatian, Sadegh Khodavaisy, Hossein Kazemizadeh, Behnaz Jahanbin, Reza Ershadi, Maryam Moradi, Mohammadreza Salehi, Jianping Xu, Megan Hitchcock, Kazem Ahmadikia, Ali Ahmadi, Seyed Ali Dehghan Manshadi
{"title":"Co-Infection of Pulmonary Aspergillosis and Cryptococcal Meningitis in an HIV-Positive Patient: A Case Report.","authors":"Marjan Hemmatian, Sadegh Khodavaisy, Hossein Kazemizadeh, Behnaz Jahanbin, Reza Ershadi, Maryam Moradi, Mohammadreza Salehi, Jianping Xu, Megan Hitchcock, Kazem Ahmadikia, Ali Ahmadi, Seyed Ali Dehghan Manshadi","doi":"10.1155/crdi/5630156","DOIUrl":null,"url":null,"abstract":"<p><p>Opportunistic fungal infections (OFIs) are common among human immunodeficiency virus (HIV) -positive patients, especially in those with delayed diagnosis and treatment. Patients with severe HIV/AIDS with clusters of differentiation 4 (CD4) counts less than 100 are significantly prone to develop multiple OFIs. In the current study, we present a case of co-infection of pulmonary aspergillosis and cryptococcal meningitis in a late-diagnosed HIV patient with a low CD4 count.</p>","PeriodicalId":9608,"journal":{"name":"Case Reports in Infectious Diseases","volume":"2025 ","pages":"5630156"},"PeriodicalIF":0.8000,"publicationDate":"2025-08-05","publicationTypes":"Journal Article","fieldsOfStudy":null,"isOpenAccess":false,"openAccessPdf":"https://www.ncbi.nlm.nih.gov/pmc/articles/PMC12343162/pdf/","citationCount":"0","resultStr":null,"platform":"Semanticscholar","paperid":null,"PeriodicalName":"Case Reports in Infectious Diseases","FirstCategoryId":"1085","ListUrlMain":"https://doi.org/10.1155/crdi/5630156","RegionNum":0,"RegionCategory":null,"ArticlePicture":[],"TitleCN":null,"AbstractTextCN":null,"PMCID":null,"EPubDate":"2025/1/1 0:00:00","PubModel":"eCollection","JCR":"Q4","JCRName":"INFECTIOUS DISEASES","Score":null,"Total":0}
引用次数: 0

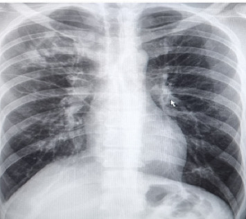
Abstract

Opportunistic fungal infections (OFIs) are common among human immunodeficiency virus (HIV) -positive patients, especially in those with delayed diagnosis and treatment. Patients with severe HIV/AIDS with clusters of differentiation 4 (CD4) counts less than 100 are significantly prone to develop multiple OFIs. In the current study, we present a case of co-infection of pulmonary aspergillosis and cryptococcal meningitis in a late-diagnosed HIV patient with a low CD4 count.

Abstract Image

Abstract Image

Abstract Image

hiv阳性患者并发肺曲霉病和隐球菌性脑膜炎1例报告。
机会性真菌感染(OFIs)在人类免疫缺陷病毒(HIV)阳性患者中很常见,特别是在那些诊断和治疗延迟的患者中。CD4计数小于100的重症HIV/AIDS患者更容易发生多发性ofi。在目前的研究中,我们报告了一例肺曲霉病和隐球菌脑膜炎合并感染的病例,这是一名CD4细胞计数低的晚期HIV患者。
本文章由计算机程序翻译,如有差异,请以英文原文为准。
求助全文
约1分钟内获得全文 求助全文
来源期刊
自引率
0.00%
发文量
64
审稿时长
13 weeks
×
引用
GB/T 7714-2015
复制
MLA
复制
APA
复制
导出至
BibTeX EndNote RefMan NoteFirst NoteExpress
×
提示
您的信息不完整,为了账户安全,请先补充。
现在去补充
×
提示
您因"违规操作"
具体请查看互助需知
我知道了
×
提示
确定
请完成安全验证×
copy
已复制链接
快去分享给好友吧!
我知道了
右上角分享
点击右上角分享
0
联系我们:info@booksci.cn Book学术提供免费学术资源搜索服务,方便国内外学者检索中英文文献。致力于提供最便捷和优质的服务体验。 Copyright © 2023 布克学术 All rights reserved.
京ICP备2023020795号-1
ghs 京公网安备 11010802042870号
Book学术文献互助
Book学术文献互助群
群 号:604180095
Book学术官方微信