Esoteric Diagnostic Considerations for Small Round Cell Tumors in Biopsy Specimens With Extensive Negative Immunohistochemical Profiles: Utilizing Subtle Histopathological Features Prior to Molecular Testing.

IF 0.6 Q4 ONCOLOGY
Case Reports in Oncological Medicine Pub Date : 2025-08-04 eCollection Date: 2025-01-01 DOI:10.1155/crom/5186729
Dong Ren, Ryan O'connell
{"title":"Esoteric Diagnostic Considerations for Small Round Cell Tumors in Biopsy Specimens With Extensive Negative Immunohistochemical Profiles: Utilizing Subtle Histopathological Features Prior to Molecular Testing.","authors":"Dong Ren, Ryan O'connell","doi":"10.1155/crom/5186729","DOIUrl":null,"url":null,"abstract":"<p><p>Small round cell tumors (SRCTs) are characterized by primitive round cells and a broad differential diagnosis due to their undifferentiated nature, making their diagnosis particularly challenging. Molecular testing is often essential for definitive classification; however, subtle histomorphological features can significantly narrow the differential diagnosis. Here, we present the case of a 44-year-old male who presented with a painless mass (up to 15.6 cm) in the left thigh. Histologic examination of the biopsy revealed solid sheets of monotonous small round cells with scant cytoplasm, hyperchromatic nuclei, and conspicuous nucleoli within the edematous to myxoid stroma. Notably, capillary-sized blood vessels were present throughout the tumor, which made BCOR-rearranged sarcomas, myxoid liposarcoma with small cell morphology, and GLI1-altered soft tissue tumors the main differential diagnoses. Classic morphology of myxoid liposarcoma was not present. Immunohistochemical (IHC) staining revealed that the tumor cells were diffusely positive for SOX11 but negative for SATB2, CD56, S100, and TLE1. This immunophenotype, combined with the histological findings, strongly suggested a diagnosis of myxoid liposarcoma with high-grade features. Fluorescence in situ hybridization (FISH) analysis confirmed a DDIT3 rearrangement, supporting this diagnosis. We hope this case will enhance pathologists' understanding and recognition of the importance of utilizing subtle histologic features to establish the differential diagnosis and accurately diagnose SRCTs in biopsy specimens prior to molecular testing.</p>","PeriodicalId":9636,"journal":{"name":"Case Reports in Oncological Medicine","volume":"2025 ","pages":"5186729"},"PeriodicalIF":0.6000,"publicationDate":"2025-08-04","publicationTypes":"Journal Article","fieldsOfStudy":null,"isOpenAccess":false,"openAccessPdf":"https://www.ncbi.nlm.nih.gov/pmc/articles/PMC12339143/pdf/","citationCount":"0","resultStr":null,"platform":"Semanticscholar","paperid":null,"PeriodicalName":"Case Reports in Oncological Medicine","FirstCategoryId":"1085","ListUrlMain":"https://doi.org/10.1155/crom/5186729","RegionNum":0,"RegionCategory":null,"ArticlePicture":[],"TitleCN":null,"AbstractTextCN":null,"PMCID":null,"EPubDate":"2025/1/1 0:00:00","PubModel":"eCollection","JCR":"Q4","JCRName":"ONCOLOGY","Score":null,"Total":0}
引用次数: 0

Abstract

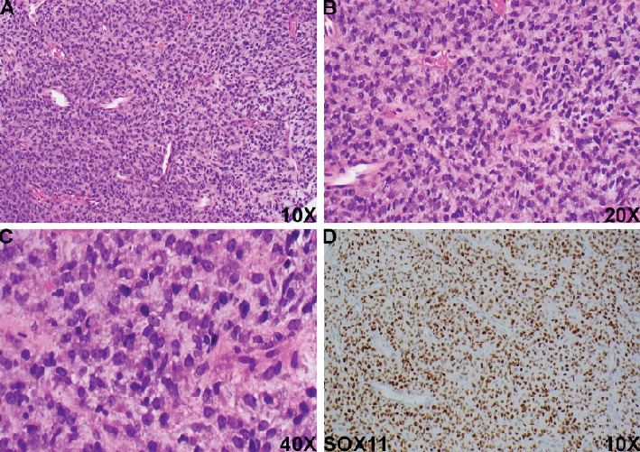
Small round cell tumors (SRCTs) are characterized by primitive round cells and a broad differential diagnosis due to their undifferentiated nature, making their diagnosis particularly challenging. Molecular testing is often essential for definitive classification; however, subtle histomorphological features can significantly narrow the differential diagnosis. Here, we present the case of a 44-year-old male who presented with a painless mass (up to 15.6 cm) in the left thigh. Histologic examination of the biopsy revealed solid sheets of monotonous small round cells with scant cytoplasm, hyperchromatic nuclei, and conspicuous nucleoli within the edematous to myxoid stroma. Notably, capillary-sized blood vessels were present throughout the tumor, which made BCOR-rearranged sarcomas, myxoid liposarcoma with small cell morphology, and GLI1-altered soft tissue tumors the main differential diagnoses. Classic morphology of myxoid liposarcoma was not present. Immunohistochemical (IHC) staining revealed that the tumor cells were diffusely positive for SOX11 but negative for SATB2, CD56, S100, and TLE1. This immunophenotype, combined with the histological findings, strongly suggested a diagnosis of myxoid liposarcoma with high-grade features. Fluorescence in situ hybridization (FISH) analysis confirmed a DDIT3 rearrangement, supporting this diagnosis. We hope this case will enhance pathologists' understanding and recognition of the importance of utilizing subtle histologic features to establish the differential diagnosis and accurately diagnose SRCTs in biopsy specimens prior to molecular testing.

Abstract Image

小圆细胞肿瘤在活检标本中广泛阴性免疫组织化学特征的深奥诊断考虑:在分子检测之前利用细微的组织病理学特征。
小圆细胞肿瘤(srct)以原始圆细胞为特征,由于其未分化的性质,其诊断具有特别的挑战性。分子测试通常是确定分类的必要条件;然而,细微的组织形态学特征可以显著缩小鉴别诊断范围。在这里,我们提出一个44岁男性的病例,他表现为左大腿无痛性肿块(高达15.6厘米)。组织学检查显示水肿到黏液样间质内有单调的小圆细胞实片状,胞浆少,细胞核深染,核仁明显。值得注意的是,整个肿瘤中存在毛细血管大小的血管,这使得bcor重排肉瘤、小细胞形态粘液样脂肪肉瘤和gli1改变的软组织肿瘤成为主要的鉴别诊断。未见黏液样脂肪肉瘤的典型形态。免疫组化(IHC)染色显示肿瘤细胞SOX11弥漫性阳性,SATB2、CD56、S100和TLE1阴性。该免疫表型与组织学结果相结合,强烈提示具有高级别特征的粘液样脂肪肉瘤的诊断。荧光原位杂交(FISH)分析证实了DDIT3重排,支持这种诊断。我们希望这个病例能提高病理学家对利用细微组织学特征建立鉴别诊断的重要性的理解和认识,并在分子检测之前准确诊断活检标本中的srct。
本文章由计算机程序翻译,如有差异,请以英文原文为准。
求助全文
约1分钟内获得全文 求助全文
来源期刊
自引率
0.00%
发文量
11
审稿时长
16 weeks
期刊介绍: Case Reports in Oncological Medicine is a peer-reviewed, Open Access journal that publishes case reports and case series related to breast cancer, lung cancer, gastrointestinal cancer, skin cancer, head and neck cancer, paediatric oncology, neurooncology as well as genitourinary cancer.
×
引用
GB/T 7714-2015
复制
MLA
复制
APA
复制
导出至
BibTeX EndNote RefMan NoteFirst NoteExpress
×
提示
您的信息不完整,为了账户安全,请先补充。
现在去补充
×
提示
您因"违规操作"
具体请查看互助需知
我知道了
×
提示
确定
请完成安全验证×
copy
已复制链接
快去分享给好友吧!
我知道了
右上角分享
点击右上角分享
0
联系我们:info@booksci.cn Book学术提供免费学术资源搜索服务,方便国内外学者检索中英文文献。致力于提供最便捷和优质的服务体验。 Copyright © 2023 布克学术 All rights reserved.
京ICP备2023020795号-1
ghs 京公网安备 11010802042870号
Book学术文献互助
Book学术文献互助群
群 号:604180095
Book学术官方微信