Reactive Orbital Myositis as a First Manifestation of Renal Cell Carcinoma.

IF 0.6 Q4 OPHTHALMOLOGY
Case Reports in Ophthalmology Pub Date : 2025-07-02 eCollection Date: 2025-01-01 DOI:10.1159/000545489
Alba Gómez-Benlloch, Julia N Widmer-Pintos, Consuelo Arnaldos-López
{"title":"Reactive Orbital Myositis as a First Manifestation of Renal Cell Carcinoma.","authors":"Alba Gómez-Benlloch, Julia N Widmer-Pintos, Consuelo Arnaldos-López","doi":"10.1159/000545489","DOIUrl":null,"url":null,"abstract":"<p><strong>Introduction: </strong>Orbital myositis (OM) is an inflammatory condition of the extraocular muscles, often idiopathic but occasionally associated with systemic diseases or malignancies. Secondary OM due to metastatic disease is rare. We report a case of OM as the initial manifestation of metastatic renal cell carcinoma, emphasizing the need for comprehensive evaluation of atypical ocular presentations.</p><p><strong>Case presentation: </strong>An 81-year-old male with a history of age-related macular degeneration presented with acute onset of pain and restricted movement in his left eye. Computed tomography imaging revealed an osteolytic lesion in the left sphenoid bone, causing reactive myositis. Further systemic evaluation identified a left renal mass with evidence of pulmonary and skeletal metastases. A core needle biopsy confirmed the diagnosis of metastatic renal cell carcinoma. Given the advanced disease stage, the patient was managed with palliative treatment. Despite medical interventions, he succumbed to the disease 6 months after symptom onset.</p><p><strong>Conclusion: </strong>This case underscores the significance of considering malignancy in the differential diagnosis of OM, particularly in elderly patients with atypical ocular symptoms. Early recognition and systemic evaluation are crucial for timely diagnosis and management of underlying malignancies presenting with orbital involvement.</p>","PeriodicalId":9635,"journal":{"name":"Case Reports in Ophthalmology","volume":"16 1","pages":"551-558"},"PeriodicalIF":0.6000,"publicationDate":"2025-07-02","publicationTypes":"Journal Article","fieldsOfStudy":null,"isOpenAccess":false,"openAccessPdf":"https://www.ncbi.nlm.nih.gov/pmc/articles/PMC12338982/pdf/","citationCount":"0","resultStr":null,"platform":"Semanticscholar","paperid":null,"PeriodicalName":"Case Reports in Ophthalmology","FirstCategoryId":"1085","ListUrlMain":"https://doi.org/10.1159/000545489","RegionNum":0,"RegionCategory":null,"ArticlePicture":[],"TitleCN":null,"AbstractTextCN":null,"PMCID":null,"EPubDate":"2025/1/1 0:00:00","PubModel":"eCollection","JCR":"Q4","JCRName":"OPHTHALMOLOGY","Score":null,"Total":0}
引用次数: 0

Abstract

Introduction: Orbital myositis (OM) is an inflammatory condition of the extraocular muscles, often idiopathic but occasionally associated with systemic diseases or malignancies. Secondary OM due to metastatic disease is rare. We report a case of OM as the initial manifestation of metastatic renal cell carcinoma, emphasizing the need for comprehensive evaluation of atypical ocular presentations.

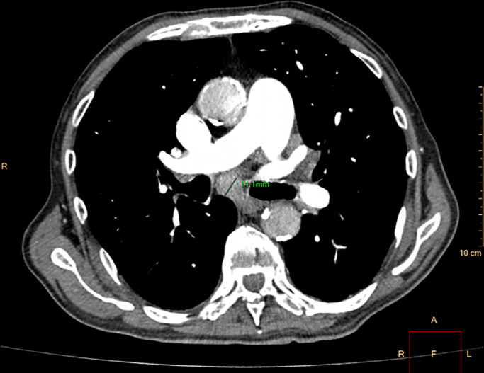
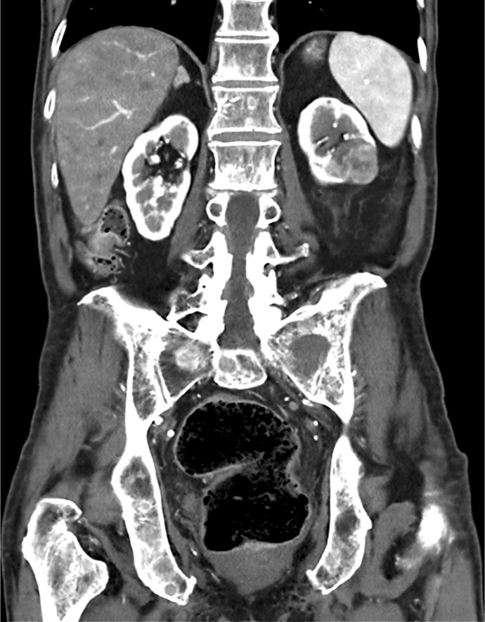
Case presentation: An 81-year-old male with a history of age-related macular degeneration presented with acute onset of pain and restricted movement in his left eye. Computed tomography imaging revealed an osteolytic lesion in the left sphenoid bone, causing reactive myositis. Further systemic evaluation identified a left renal mass with evidence of pulmonary and skeletal metastases. A core needle biopsy confirmed the diagnosis of metastatic renal cell carcinoma. Given the advanced disease stage, the patient was managed with palliative treatment. Despite medical interventions, he succumbed to the disease 6 months after symptom onset.

Conclusion: This case underscores the significance of considering malignancy in the differential diagnosis of OM, particularly in elderly patients with atypical ocular symptoms. Early recognition and systemic evaluation are crucial for timely diagnosis and management of underlying malignancies presenting with orbital involvement.

Abstract Image

Abstract Image

Abstract Image

反应性眼眶肌炎是肾细胞癌的首要表现。
眼窝肌炎(OM)是眼外肌的一种炎症状态,通常是特发性的,但偶尔与全身性疾病或恶性肿瘤有关。由于转移性疾病引起的继发性OM是罕见的。我们报告一例OM作为转移性肾细胞癌的初始表现,强调需要对非典型眼部表现进行综合评估。病例介绍:81岁男性,有老年性黄斑变性病史,左眼出现急性疼痛和活动受限。计算机断层成像显示左侧蝶骨溶骨性病变,引起反应性肌炎。进一步的全身检查发现左肾肿块伴肺和骨骼转移的证据。核心穿刺活检证实了转移性肾细胞癌的诊断。鉴于疾病晚期,患者接受姑息治疗。尽管进行了医疗干预,他还是在症状出现6个月后死于该病。结论:本病例强调了OM鉴别诊断中考虑恶性肿瘤的重要性,特别是在有不典型眼部症状的老年患者中。早期识别和系统评估对于及时诊断和管理眼眶受累的潜在恶性肿瘤至关重要。
本文章由计算机程序翻译,如有差异,请以英文原文为准。
求助全文
约1分钟内获得全文 求助全文
来源期刊
CiteScore
0.90
自引率
0.00%
发文量
129
审稿时长
12 weeks
期刊介绍: This peer-reviewed online-only journal publishes original case reports covering the entire spectrum of ophthalmology, including prevention, diagnosis, treatment, toxicities of therapy, supportive care, quality-of-life, and survivorship issues. The submission of negative results is strongly encouraged. The journal will also accept case reports dealing with the use of novel technologies, both in the arena of diagnosis and treatment. Supplementary material is welcomed. The intent of the journal is to provide clinicians and researchers with a tool to disseminate their personal experiences to a wider public as well as to review interesting cases encountered by colleagues all over the world. Universally used terms can be searched across the entire growing collection of case reports, further facilitating the retrieval of specific information. Following the open access principle, the entire contents can be retrieved at no charge, guaranteeing easy access to this valuable source of anecdotal information at all times.
×
引用
GB/T 7714-2015
复制
MLA
复制
APA
复制
导出至
BibTeX EndNote RefMan NoteFirst NoteExpress
×
提示
您的信息不完整,为了账户安全,请先补充。
现在去补充
×
提示
您因"违规操作"
具体请查看互助需知
我知道了
×
提示
确定
请完成安全验证×
copy
已复制链接
快去分享给好友吧!
我知道了
右上角分享
点击右上角分享
0
联系我们:info@booksci.cn Book学术提供免费学术资源搜索服务,方便国内外学者检索中英文文献。致力于提供最便捷和优质的服务体验。 Copyright © 2023 布克学术 All rights reserved.
京ICP备2023020795号-1
ghs 京公网安备 11010802042870号
Book学术文献互助
Book学术文献互助群
群 号:604180095
Book学术官方微信