Endoscopic Ultrasound-Guided Detection of a Rare Anomaly-Duplication of Extrahepatic Bile Duct.

IF 0.5 Q4 GASTROENTEROLOGY & HEPATOLOGY
ACG Case Reports Journal Pub Date : 2025-08-11 eCollection Date: 2025-08-01 DOI:10.14309/crj.0000000000001794
Saad Khalid Niaz, Noval Zakaria, Muhammad Umair Tahseen, Muhammad Asim, Sajida Qureshi, Shanil Kadir
{"title":"Endoscopic Ultrasound-Guided Detection of a Rare Anomaly-Duplication of Extrahepatic Bile Duct.","authors":"Saad Khalid Niaz, Noval Zakaria, Muhammad Umair Tahseen, Muhammad Asim, Sajida Qureshi, Shanil Kadir","doi":"10.14309/crj.0000000000001794","DOIUrl":null,"url":null,"abstract":"<p><p>This is the first reported case demonstrating endoscopic ultrasound (EUS) findings in type Va duplication. The malformation of the congenital extrahepatic bile duct is classified as type Va and is rarely observed. To date, not more than 30 cases have been reported in Western literature. For the medical literature, a 50-year-old man with a type Va extrahepatic bile duct obstruction is examined. He presented with abdominal pain and jaundice, and imaging showed biliary dilatation and cholelithiasis. During the EUS procedure, an endoscopic examination revealed the presence of a duplicated common bile duct with a septum. Endoscopic retrograde cholangiopancreatography of the biliary tract also showed the same anomaly, with the presence of obstructive biliary sludge. The case highlights the need to consider EUS as a potent alternative diagnostic method. It is important to detect these anomalies immediately to reduce the chances of endoscopic/surgical complications.</p>","PeriodicalId":7394,"journal":{"name":"ACG Case Reports Journal","volume":"12 8","pages":"e01794"},"PeriodicalIF":0.5000,"publicationDate":"2025-08-11","publicationTypes":"Journal Article","fieldsOfStudy":null,"isOpenAccess":false,"openAccessPdf":"https://www.ncbi.nlm.nih.gov/pmc/articles/PMC12338306/pdf/","citationCount":"0","resultStr":null,"platform":"Semanticscholar","paperid":null,"PeriodicalName":"ACG Case Reports Journal","FirstCategoryId":"1085","ListUrlMain":"https://doi.org/10.14309/crj.0000000000001794","RegionNum":0,"RegionCategory":null,"ArticlePicture":[],"TitleCN":null,"AbstractTextCN":null,"PMCID":null,"EPubDate":"2025/8/1 0:00:00","PubModel":"eCollection","JCR":"Q4","JCRName":"GASTROENTEROLOGY & HEPATOLOGY","Score":null,"Total":0}
引用次数: 0

Abstract

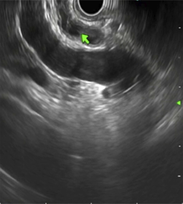
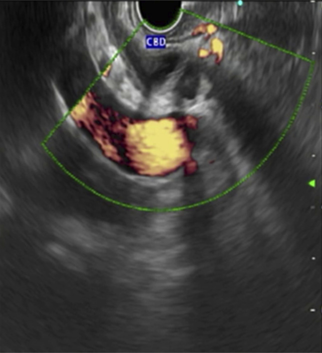
This is the first reported case demonstrating endoscopic ultrasound (EUS) findings in type Va duplication. The malformation of the congenital extrahepatic bile duct is classified as type Va and is rarely observed. To date, not more than 30 cases have been reported in Western literature. For the medical literature, a 50-year-old man with a type Va extrahepatic bile duct obstruction is examined. He presented with abdominal pain and jaundice, and imaging showed biliary dilatation and cholelithiasis. During the EUS procedure, an endoscopic examination revealed the presence of a duplicated common bile duct with a septum. Endoscopic retrograde cholangiopancreatography of the biliary tract also showed the same anomaly, with the presence of obstructive biliary sludge. The case highlights the need to consider EUS as a potent alternative diagnostic method. It is important to detect these anomalies immediately to reduce the chances of endoscopic/surgical complications.

Abstract Image

Abstract Image

Abstract Image

超声内镜下检测罕见的肝外胆管异常-重复。
这是首次报道的病例证明内镜超声(EUS)发现在Va型重复。先天性肝外胆管畸形分类为Va型,少见。迄今为止,在西方文献中报道的病例不超过30例。对于医学文献,一个50岁的男性与Va型肝外胆管阻塞检查。他表现为腹痛和黄疸,影像学显示胆道扩张和胆石症。在EUS检查过程中,内镜检查显示存在重复的胆总管和间隔。内镜逆行胆道胰胆管造影也显示同样的异常,存在梗阻性胆道污泥。该病例强调需要考虑EUS作为一种有效的替代诊断方法。重要的是立即发现这些异常,以减少内窥镜/手术并发症的机会。
本文章由计算机程序翻译,如有差异,请以英文原文为准。
求助全文
约1分钟内获得全文 求助全文
来源期刊
ACG Case Reports Journal
ACG Case Reports Journal GASTROENTEROLOGY & HEPATOLOGY-
自引率
14.30%
发文量
170
审稿时长
12 weeks
期刊介绍: ACG Case Reports Journal is a peer-reviewed, open-access publication that provides GI and hepatology fellows, private practice clinicians, and other healthcare providers an opportunity to share interesting case reports with their peers and with leaders in the field. ACG Case Reports Journal publishes case reports, images, videos and letters to the editor in all topics of gastroenterology and hepatology, including: Biliary Colon Endoscopy Esophagus Functional Bowel Disorders Inflammatory Bowel Disease Liver Nutrition and Obesity Pancreas Pathology Pediatric Small Bowel Stomach.
×
引用
GB/T 7714-2015
复制
MLA
复制
APA
复制
导出至
BibTeX EndNote RefMan NoteFirst NoteExpress
×
提示
您的信息不完整,为了账户安全,请先补充。
现在去补充
×
提示
您因"违规操作"
具体请查看互助需知
我知道了
×
提示
确定
请完成安全验证×
copy
已复制链接
快去分享给好友吧!
我知道了
右上角分享
点击右上角分享
0
联系我们:info@booksci.cn Book学术提供免费学术资源搜索服务,方便国内外学者检索中英文文献。致力于提供最便捷和优质的服务体验。 Copyright © 2023 布克学术 All rights reserved.
京ICP备2023020795号-1
ghs 京公网安备 11010802042870号
Book学术文献互助
Book学术文献互助群
群 号:604180095
Book学术官方微信