Detection of carbapenemase production in Enterobacterales by mCIM and eCIM: a tertiary care hospital study.

IF 1.7 Q4 MICROBIOLOGY
Touseefa Shafi, Anjum Ara Mir, Shagufta Roohi, Bashir Fomda, Sanam Rasool Wani, Tufail Ahmed, Samiah Yousuf
{"title":"Detection of carbapenemase production in Enterobacterales by mCIM and eCIM: a tertiary care hospital study.","authors":"Touseefa Shafi, Anjum Ara Mir, Shagufta Roohi, Bashir Fomda, Sanam Rasool Wani, Tufail Ahmed, Samiah Yousuf","doi":"10.18502/ijm.v17i4.19227","DOIUrl":null,"url":null,"abstract":"<p><strong>Background and objectives: </strong>Carbapenem-resistant Enterobacterales (CRE) pose a major healthcare challenge due to high resistance rates and limited treatment options. This study characterized carbapenemase production among CRE isolates using phenotypic methods-Modified Carbapenem Inactivation Method (mCIM) and EDTA-Carbapenem Inactivation Method (eCIM)-as genotypic methods have limitations like restricted gene targets and mutations.</p><p><strong>Materials and methods: </strong>This six-month study was conducted at Sher-i-Kashmir Institute of Medical Sciences (SKIMS). Samples including swabs, respiratory specimens, pus, body fluids, and blood were cultured on Blood Agar and MacConkey Agar (HiMedia, India). Enterobacterales were identified using conventional methods and screened for carbapenem resistance. CRE isolates underwent mCIM and eCIM testing per CLSI guidelines.</p><p><strong>Results: </strong>Among 471 Enterobacterales isolates tested, 160 (33.9%) were carbapenem-resistant. Of these, 97 (60.6%) were mCIM positive, indicating carbapenemase production. eCIM further identified 83 (85.5%) as metallo-beta-lactamase (MBL) producers and 14 (14.4%) as serine carbapenemase producers. CRE prevalence was higher in ICU settings and among males. Isolates showed high cephalosporin resistance, with multi-drug resistance (MDR) common in both MBL and serine carbapenemase producers.</p><p><strong>Conclusion: </strong>The prevalence of CRE was found to be 33.9%. The findings underscore the critical need for continuous surveillance and stringent infection control measures to manage the spread of CRE in healthcare settings.</p>","PeriodicalId":14633,"journal":{"name":"Iranian Journal of Microbiology","volume":"17 4","pages":"539-548"},"PeriodicalIF":1.7000,"publicationDate":"2025-08-01","publicationTypes":"Journal Article","fieldsOfStudy":null,"isOpenAccess":false,"openAccessPdf":"https://www.ncbi.nlm.nih.gov/pmc/articles/PMC12331457/pdf/","citationCount":"0","resultStr":null,"platform":"Semanticscholar","paperid":null,"PeriodicalName":"Iranian Journal of Microbiology","FirstCategoryId":"1085","ListUrlMain":"https://doi.org/10.18502/ijm.v17i4.19227","RegionNum":0,"RegionCategory":null,"ArticlePicture":[],"TitleCN":null,"AbstractTextCN":null,"PMCID":null,"EPubDate":"","PubModel":"","JCR":"Q4","JCRName":"MICROBIOLOGY","Score":null,"Total":0}
引用次数: 0

Abstract

Background and objectives: Carbapenem-resistant Enterobacterales (CRE) pose a major healthcare challenge due to high resistance rates and limited treatment options. This study characterized carbapenemase production among CRE isolates using phenotypic methods-Modified Carbapenem Inactivation Method (mCIM) and EDTA-Carbapenem Inactivation Method (eCIM)-as genotypic methods have limitations like restricted gene targets and mutations.

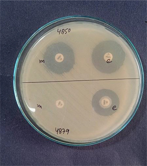
Materials and methods: This six-month study was conducted at Sher-i-Kashmir Institute of Medical Sciences (SKIMS). Samples including swabs, respiratory specimens, pus, body fluids, and blood were cultured on Blood Agar and MacConkey Agar (HiMedia, India). Enterobacterales were identified using conventional methods and screened for carbapenem resistance. CRE isolates underwent mCIM and eCIM testing per CLSI guidelines.

Results: Among 471 Enterobacterales isolates tested, 160 (33.9%) were carbapenem-resistant. Of these, 97 (60.6%) were mCIM positive, indicating carbapenemase production. eCIM further identified 83 (85.5%) as metallo-beta-lactamase (MBL) producers and 14 (14.4%) as serine carbapenemase producers. CRE prevalence was higher in ICU settings and among males. Isolates showed high cephalosporin resistance, with multi-drug resistance (MDR) common in both MBL and serine carbapenemase producers.

Conclusion: The prevalence of CRE was found to be 33.9%. The findings underscore the critical need for continuous surveillance and stringent infection control measures to manage the spread of CRE in healthcare settings.

Abstract Image

Abstract Image

Abstract Image

用mCIM和eCIM检测肠杆菌中碳青霉烯酶的产生:一项三级医院研究。
背景和目的:碳青霉烯耐药肠杆菌(CRE)由于高耐药率和有限的治疗选择而构成了主要的医疗挑战。本研究利用表型方法-改良碳青霉烯烯失活法(mCIM)和edta碳青霉烯失活法(eCIM)-表征CRE分离株碳青霉烯酶的产生,因为基因型方法存在基因靶点和突变受限等局限性。材料和方法:这项为期六个月的研究在Sher-i-Kashmir医学科学研究所(SKIMS)进行。样本包括拭子、呼吸道标本、脓、体液和血液在blood Agar和MacConkey Agar (HiMedia, India)上培养。采用常规方法鉴定肠杆菌,并进行碳青霉烯类耐药筛选。根据CLSI指南对CRE分离株进行mCIM和eCIM检测。结果:在471株肠杆菌中,有160株(33.9%)对碳青霉烯耐药。其中97例(60.6%)mCIM阳性,表明碳青霉烯酶产生。eCIM进一步鉴定出83株(85.5%)为金属β -内酰胺酶(MBL)产生菌,14株(14.4%)为丝氨酸碳青霉烯酶产生菌。CRE患病率在ICU环境和男性中较高。分离株表现出较高的头孢菌素耐药性,在MBL和丝氨酸碳青霉烯酶产生菌中都常见多重耐药(MDR)。结论:CRE患病率为33.9%。研究结果强调,迫切需要持续监测和严格的感染控制措施,以管理CRE在卫生保健环境中的传播。
本文章由计算机程序翻译,如有差异,请以英文原文为准。
求助全文
约1分钟内获得全文 求助全文
来源期刊
CiteScore
2.40
自引率
7.10%
发文量
96
审稿时长
12 weeks
期刊介绍: The Iranian Journal of Microbiology (IJM) is an international, multi-disciplinary, peer-reviewed journal that provides rapid publication of the most advanced scientific research in the areas of basic and applied research on bacteria and other micro-organisms, including bacteria, viruses, yeasts, fungi, microalgae, and protozoa concerning the development of tools for diagnosis and disease control, epidemiology, antimicrobial agents, clinical microbiology, immunology, Genetics, Genomics and Molecular Biology. Contributions may be in the form of original research papers, review articles, short communications, case reports, technical reports, and letters to the Editor. Research findings must be novel and the original data must be available for review by the Editors, if necessary. Studies that are preliminary, of weak originality or merely descriptive as well as negative results are not appropriate for the journal. Papers considered for publication must be unpublished work (except in an abstract form) that is not under consideration for publication anywhere else, and all co-authors should have agreed to the submission. Manuscripts should be written in English.
×
引用
GB/T 7714-2015
复制
MLA
复制
APA
复制
导出至
BibTeX EndNote RefMan NoteFirst NoteExpress
×
提示
您的信息不完整,为了账户安全,请先补充。
现在去补充
×
提示
您因"违规操作"
具体请查看互助需知
我知道了
×
提示
确定
请完成安全验证×
copy
已复制链接
快去分享给好友吧!
我知道了
右上角分享
点击右上角分享
0
联系我们:info@booksci.cn Book学术提供免费学术资源搜索服务,方便国内外学者检索中英文文献。致力于提供最便捷和优质的服务体验。 Copyright © 2023 布克学术 All rights reserved.
京ICP备2023020795号-1
ghs 京公网安备 11010802042870号
Book学术文献互助
Book学术文献互助群
群 号:604180095
Book学术官方微信