Pulmonary alveolar microlithiasis: A case report and brief review of literature.

IF 1 Q3 MEDICINE, GENERAL & INTERNAL
Caspian Journal of Internal Medicine Pub Date : 2025-06-23 eCollection Date: 2025-01-01 DOI:10.22088/cjim.16.3.570
Reza Mohseni Ahangar, Mohammad Golparvar Azizi, Sara Babazadeh, Seyed Ali Akbar Hosseini Nasab, Ali Tavakoli Pirzaman
{"title":"Pulmonary alveolar microlithiasis: A case report and brief review of literature.","authors":"Reza Mohseni Ahangar, Mohammad Golparvar Azizi, Sara Babazadeh, Seyed Ali Akbar Hosseini Nasab, Ali Tavakoli Pirzaman","doi":"10.22088/cjim.16.3.570","DOIUrl":null,"url":null,"abstract":"<p><strong>Background: </strong>Pulmonary alveolar microlithiasis (PAM), a rare autosomal recessive pulmonary disease, is mainly characterized by extensive calcium phosphate microliths deposition in the alveoli. The major mutation, causing the characteristic of this disease, occurs in solute carrier family 34 members 2 (SLC34A2), which is placed on chromosome 4p15.2. SLC34A2 encodes sodium-phosphate cotransporter type IIb, NPT2b, which plays a critical role in the transportation of phosphate ions from pulmonary alveoli into type II pneumocytes.</p><p><strong>Case presentation: </strong>Herein, we have reported a 50-year-old male presented with recent sore throat, fever, and sweating. Radiological findings revealed bilateral micronodular pattern with diffuse ground glass attenuation in lower regions. Subsequent histologic examination of lung biopsy confirmed intra-alveolar accumulation of calculi and the diagnosis of PAM. In addition, we reviewed the literature narratively to clarify different aspects of PAM.</p><p><strong>Conclusion: </strong>In this paper, we presented a sporadic case of PAM which was suspected with chest x-ray and confirmed by HRCT and trans-bronchial lung biopsy. We hope that it can help clinicians to be more aware of this condition and make proper diagnosis.</p>","PeriodicalId":9646,"journal":{"name":"Caspian Journal of Internal Medicine","volume":"16 3","pages":"570-576"},"PeriodicalIF":1.0000,"publicationDate":"2025-06-23","publicationTypes":"Journal Article","fieldsOfStudy":null,"isOpenAccess":false,"openAccessPdf":"https://www.ncbi.nlm.nih.gov/pmc/articles/PMC12329359/pdf/","citationCount":"0","resultStr":null,"platform":"Semanticscholar","paperid":null,"PeriodicalName":"Caspian Journal of Internal Medicine","FirstCategoryId":"1085","ListUrlMain":"https://doi.org/10.22088/cjim.16.3.570","RegionNum":0,"RegionCategory":null,"ArticlePicture":[],"TitleCN":null,"AbstractTextCN":null,"PMCID":null,"EPubDate":"2025/1/1 0:00:00","PubModel":"eCollection","JCR":"Q3","JCRName":"MEDICINE, GENERAL & INTERNAL","Score":null,"Total":0}
引用次数: 0

Abstract

Background: Pulmonary alveolar microlithiasis (PAM), a rare autosomal recessive pulmonary disease, is mainly characterized by extensive calcium phosphate microliths deposition in the alveoli. The major mutation, causing the characteristic of this disease, occurs in solute carrier family 34 members 2 (SLC34A2), which is placed on chromosome 4p15.2. SLC34A2 encodes sodium-phosphate cotransporter type IIb, NPT2b, which plays a critical role in the transportation of phosphate ions from pulmonary alveoli into type II pneumocytes.

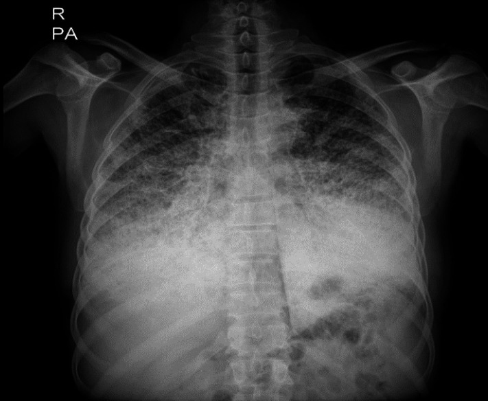
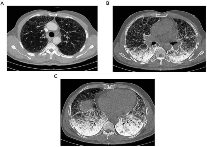
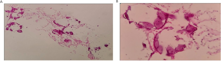
Case presentation: Herein, we have reported a 50-year-old male presented with recent sore throat, fever, and sweating. Radiological findings revealed bilateral micronodular pattern with diffuse ground glass attenuation in lower regions. Subsequent histologic examination of lung biopsy confirmed intra-alveolar accumulation of calculi and the diagnosis of PAM. In addition, we reviewed the literature narratively to clarify different aspects of PAM.

Conclusion: In this paper, we presented a sporadic case of PAM which was suspected with chest x-ray and confirmed by HRCT and trans-bronchial lung biopsy. We hope that it can help clinicians to be more aware of this condition and make proper diagnosis.

Abstract Image

Abstract Image

Abstract Image

肺泡微石症1例报告及文献复习。
背景:肺泡微石症(PAM)是一种罕见的常染色体隐性肺部疾病,主要表现为肺泡内广泛的磷酸钙微石沉积。导致这种疾病特征的主要突变发生在溶质载体家族34成员2 (SLC34A2)中,位于染色体4p15.2上。SLC34A2编码磷酸钠共转运蛋白IIb、NPT2b,在磷酸离子从肺泡转运到II型肺细胞中起关键作用。病例介绍:在此,我们报告了一名50岁男性,最近出现喉咙痛、发烧和出汗。放射学表现为双侧微结节型,下部弥漫性磨玻璃衰减。随后的肺活检组织学检查证实肺泡内结石积聚和PAM的诊断。此外,我们回顾了文献叙述,以澄清PAM的不同方面。结论:本文报告1例散在性PAM,经胸片怀疑,HRCT及经支气管肺活检证实。我们希望它能帮助临床医生更多地了解这种情况并做出正确的诊断。
本文章由计算机程序翻译,如有差异,请以英文原文为准。
求助全文
约1分钟内获得全文 求助全文
来源期刊
Caspian Journal of Internal Medicine
Caspian Journal of Internal Medicine MEDICINE, GENERAL & INTERNAL-
CiteScore
1.90
自引率
7.10%
发文量
90
审稿时长
20 weeks
×
引用
GB/T 7714-2015
复制
MLA
复制
APA
复制
导出至
BibTeX EndNote RefMan NoteFirst NoteExpress
×
提示
您的信息不完整,为了账户安全,请先补充。
现在去补充
×
提示
您因"违规操作"
具体请查看互助需知
我知道了
×
提示
确定
请完成安全验证×
copy
已复制链接
快去分享给好友吧!
我知道了
右上角分享
点击右上角分享
0
联系我们:info@booksci.cn Book学术提供免费学术资源搜索服务,方便国内外学者检索中英文文献。致力于提供最便捷和优质的服务体验。 Copyright © 2023 布克学术 All rights reserved.
京ICP备2023020795号-1
ghs 京公网安备 11010802042870号
Book学术文献互助
Book学术文献互助群
群 号:604180095
Book学术官方微信