Solitary brain metastasis from laryngeal squamous cell carcinoma in a 68-year-old male: A Case Report.

IF 1.6 Q2 MEDICINE, GENERAL & INTERNAL
Annals of Medicine and Surgery Pub Date : 2025-07-18 eCollection Date: 2025-08-01 DOI:10.1097/MS9.0000000000003549
Allahdad Khan, Abdul Ahad Riaz, Shahroze Ahmed, Anam Malik, Mohamed Antar, Raheel Ahmed
{"title":"Solitary brain metastasis from laryngeal squamous cell carcinoma in a 68-year-old male: A Case Report.","authors":"Allahdad Khan, Abdul Ahad Riaz, Shahroze Ahmed, Anam Malik, Mohamed Antar, Raheel Ahmed","doi":"10.1097/MS9.0000000000003549","DOIUrl":null,"url":null,"abstract":"<p><strong>Introduction and importance: </strong>Laryngeal squamous cell carcinoma (LSCC) commonly metastasizes to regional lymph nodes, lungs, liver, and bones. Intracranial metastasis from LSCC is exceedingly rare, reported in only 0.4% of cases. The atypical presentation can delay diagnosis and negatively impact prognosis. We report a rare case of solitary brain metastasis from LSCC, highlighting the diagnostic challenges and clinical considerations.</p><p><strong>Case presentation: </strong>A 68-year-old Pakistani male with a prior diagnosis of LSCC presented with new-onset generalized tonic-clonic seizures. He had previously undergone total laryngectomy, radiotherapy, and chemotherapy. Brain MRI revealed a right frontal lobe lesion with surrounding edema, consistent with a solitary metastasis. Histopathology following craniotomy confirmed metastatic squamous cell carcinoma. The patient was managed with antiepileptics and referred for palliative whole-brain radiotherapy. He and his family opted for palliative care, declining further aggressive treatment.</p><p><strong>Clinical discussion: </strong>Distant brain metastasis in LSCC is rare and may occur without prior systemic spread. The mechanism may involve perineural invasion, although the exact pathophysiology remains unclear. Current diagnostic approaches include MRI and FDG-PET/CT. Due to limited cases, standardized treatment protocols are lacking. Management options include surgery, radiotherapy, chemotherapy, and palliative care, depending on disease progression and patient preference. Seizures as a presenting symptom are uncommon but may indicate intracranial involvement.</p><p><strong>Conclusion: </strong>This case emphasizes the need for high clinical suspicion and comprehensive neurological assessment in patients with advanced LSCC. Early diagnosis and multidisciplinary management are essential for improving outcomes in this rare but serious manifestation.</p>","PeriodicalId":8025,"journal":{"name":"Annals of Medicine and Surgery","volume":"87 8","pages":"5296-5299"},"PeriodicalIF":1.6000,"publicationDate":"2025-07-18","publicationTypes":"Journal Article","fieldsOfStudy":null,"isOpenAccess":false,"openAccessPdf":"https://www.ncbi.nlm.nih.gov/pmc/articles/PMC12333697/pdf/","citationCount":"0","resultStr":null,"platform":"Semanticscholar","paperid":null,"PeriodicalName":"Annals of Medicine and Surgery","FirstCategoryId":"1085","ListUrlMain":"https://doi.org/10.1097/MS9.0000000000003549","RegionNum":0,"RegionCategory":null,"ArticlePicture":[],"TitleCN":null,"AbstractTextCN":null,"PMCID":null,"EPubDate":"2025/8/1 0:00:00","PubModel":"eCollection","JCR":"Q2","JCRName":"MEDICINE, GENERAL & INTERNAL","Score":null,"Total":0}
引用次数: 0

Abstract

Introduction and importance: Laryngeal squamous cell carcinoma (LSCC) commonly metastasizes to regional lymph nodes, lungs, liver, and bones. Intracranial metastasis from LSCC is exceedingly rare, reported in only 0.4% of cases. The atypical presentation can delay diagnosis and negatively impact prognosis. We report a rare case of solitary brain metastasis from LSCC, highlighting the diagnostic challenges and clinical considerations.

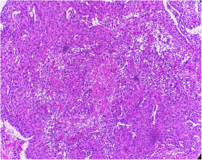
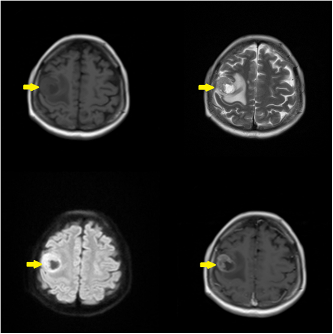
Case presentation: A 68-year-old Pakistani male with a prior diagnosis of LSCC presented with new-onset generalized tonic-clonic seizures. He had previously undergone total laryngectomy, radiotherapy, and chemotherapy. Brain MRI revealed a right frontal lobe lesion with surrounding edema, consistent with a solitary metastasis. Histopathology following craniotomy confirmed metastatic squamous cell carcinoma. The patient was managed with antiepileptics and referred for palliative whole-brain radiotherapy. He and his family opted for palliative care, declining further aggressive treatment.

Clinical discussion: Distant brain metastasis in LSCC is rare and may occur without prior systemic spread. The mechanism may involve perineural invasion, although the exact pathophysiology remains unclear. Current diagnostic approaches include MRI and FDG-PET/CT. Due to limited cases, standardized treatment protocols are lacking. Management options include surgery, radiotherapy, chemotherapy, and palliative care, depending on disease progression and patient preference. Seizures as a presenting symptom are uncommon but may indicate intracranial involvement.

Conclusion: This case emphasizes the need for high clinical suspicion and comprehensive neurological assessment in patients with advanced LSCC. Early diagnosis and multidisciplinary management are essential for improving outcomes in this rare but serious manifestation.

Abstract Image

Abstract Image

Abstract Image

68岁男性喉部鳞状细胞癌单发脑转移一例。
简介及重要性:喉鳞癌(LSCC)通常转移到局部淋巴结、肺、肝和骨骼。LSCC的颅内转移极为罕见,据报道只有0.4%的病例。不典型表现会延误诊断并影响预后。我们报告一例罕见的LSCC孤立性脑转移,强调诊断挑战和临床注意事项。病例介绍:一名68岁巴基斯坦男性,先前诊断为LSCC,新发全身性强直阵挛发作。他曾接受过全喉切除术、放疗和化疗。脑部核磁共振显示右额叶病变伴周围水肿,符合单发转移。开颅后病理证实为转移性鳞状细胞癌。患者接受抗癫痫药物治疗,并转诊行姑息性全脑放疗。他和他的家人选择了姑息治疗,拒绝了进一步的激进治疗。临床讨论:LSCC的远端脑转移是罕见的,可能没有事先的全身扩散。虽然确切的病理生理机制尚不清楚,但其机制可能涉及神经周围浸润。目前的诊断方法包括MRI和FDG-PET/CT。由于病例有限,缺乏标准化的治疗方案。治疗方案包括手术、放疗、化疗和姑息治疗,取决于疾病进展和患者偏好。癫痫发作作为首发症状并不常见,但可能提示颅内受累。结论:本病例强调了晚期LSCC患者需要高度的临床怀疑和全面的神经学评估。早期诊断和多学科管理对于改善这种罕见但严重的表现的结果至关重要。
本文章由计算机程序翻译,如有差异,请以英文原文为准。
求助全文
约1分钟内获得全文 求助全文
来源期刊
Annals of Medicine and Surgery
Annals of Medicine and Surgery MEDICINE, GENERAL & INTERNAL-
自引率
5.90%
发文量
1665
×
引用
GB/T 7714-2015
复制
MLA
复制
APA
复制
导出至
BibTeX EndNote RefMan NoteFirst NoteExpress
×
提示
您的信息不完整,为了账户安全,请先补充。
现在去补充
×
提示
您因"违规操作"
具体请查看互助需知
我知道了
×
提示
确定
请完成安全验证×
copy
已复制链接
快去分享给好友吧!
我知道了
右上角分享
点击右上角分享
0
联系我们:info@booksci.cn Book学术提供免费学术资源搜索服务,方便国内外学者检索中英文文献。致力于提供最便捷和优质的服务体验。 Copyright © 2023 布克学术 All rights reserved.
京ICP备2023020795号-1
ghs 京公网安备 11010802042870号
Book学术文献互助
Book学术文献互助群
群 号:604180095
Book学术官方微信