Amebic liver abscess rupture into inferior vena cava with pulmonary thrombo embolism: a case report.

IF 0.8 Q3 MEDICINE, GENERAL & INTERNAL
Sripooja Makthala, Lovenish Bains, Pawan Lal, Kranthi Naik Bhukya
{"title":"Amebic liver abscess rupture into inferior vena cava with pulmonary thrombo embolism: a case report.","authors":"Sripooja Makthala, Lovenish Bains, Pawan Lal, Kranthi Naik Bhukya","doi":"10.1186/s13256-025-05479-6","DOIUrl":null,"url":null,"abstract":"<p><strong>Background: </strong>Vascular complications such as hepatic vein and inferior vena cava thrombus, phlebitis, and extrahepatic biliary obstruction are rare in amebic liver abscesses. Many pathophysiological mechanisms are proposed, but the exact pathogenesis is still not known. These complications are believed to be multifactorial, with local and systemic factors acting synergistically. Here, we present a case of amebic abscess rupture into the inferior vena cava, with a thrombus extending up to the right atrium and pulmonary thromboembolism treated successfully.</p><p><strong>Case presentation: </strong>A 45-year-old Indian male presented with multiple episodes of fever with chills, palpitations, dyspnea, right upper abdominal pain, bilateral lower limb edema, and petechia for 20 days. On examination, tachycardia, tender hepatomegaly, and reduced air entry in the right lower lobe of the lung were observed. Ultrasound revealed an abscess in the left lobe of the liver about 150 cc in volume, abutting the inferior vena cava with rupture into it. Contrast-enhanced computed tomography imaging showed 5.7 × 6.2 × 5.4 cm segment IV A liver abscess with capsule breach into the intrahepatic vena cava and thrombus extending up to the right atrium was observed. Computed tomography-pulmonary angiography revealed a right atrium thrombus with bilateral pulmonary artery thrombus and parenchymal infarcts. Raised D-dimer, protein C and S deficiency was observed. The patient was managed by needle aspiration of abscess, anticoagulation, and antibiotics.</p><p><strong>Conclusion: </strong>Vascular complications need a high index of suspicion, good clinical knowledge, timely workup, and intervention. Direct rupture of an amebic liver abscess into the inferior vena cava, leading to pulmonary thromboembolism, is exceedingly rare and is not well-documented in the literature. Thorough investigation and timely intervention can successfully treat the patient.</p>","PeriodicalId":16236,"journal":{"name":"Journal of Medical Case Reports","volume":"19 1","pages":"397"},"PeriodicalIF":0.8000,"publicationDate":"2025-08-08","publicationTypes":"Journal Article","fieldsOfStudy":null,"isOpenAccess":false,"openAccessPdf":"https://www.ncbi.nlm.nih.gov/pmc/articles/PMC12333142/pdf/","citationCount":"0","resultStr":null,"platform":"Semanticscholar","paperid":null,"PeriodicalName":"Journal of Medical Case Reports","FirstCategoryId":"1085","ListUrlMain":"https://doi.org/10.1186/s13256-025-05479-6","RegionNum":0,"RegionCategory":null,"ArticlePicture":[],"TitleCN":null,"AbstractTextCN":null,"PMCID":null,"EPubDate":"","PubModel":"","JCR":"Q3","JCRName":"MEDICINE, GENERAL & INTERNAL","Score":null,"Total":0}
引用次数: 0

Abstract

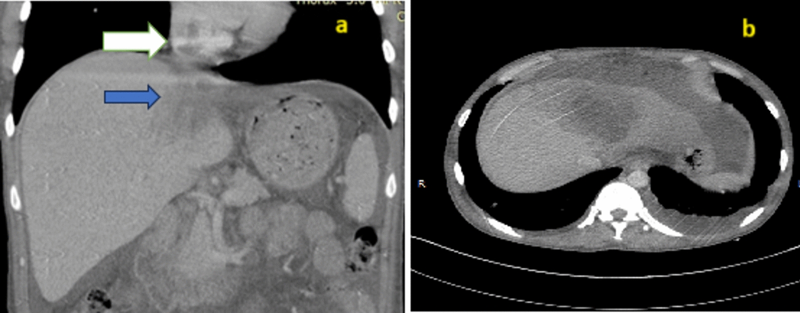
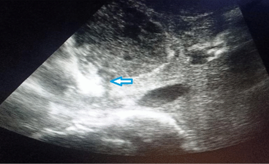
Background: Vascular complications such as hepatic vein and inferior vena cava thrombus, phlebitis, and extrahepatic biliary obstruction are rare in amebic liver abscesses. Many pathophysiological mechanisms are proposed, but the exact pathogenesis is still not known. These complications are believed to be multifactorial, with local and systemic factors acting synergistically. Here, we present a case of amebic abscess rupture into the inferior vena cava, with a thrombus extending up to the right atrium and pulmonary thromboembolism treated successfully.

Case presentation: A 45-year-old Indian male presented with multiple episodes of fever with chills, palpitations, dyspnea, right upper abdominal pain, bilateral lower limb edema, and petechia for 20 days. On examination, tachycardia, tender hepatomegaly, and reduced air entry in the right lower lobe of the lung were observed. Ultrasound revealed an abscess in the left lobe of the liver about 150 cc in volume, abutting the inferior vena cava with rupture into it. Contrast-enhanced computed tomography imaging showed 5.7 × 6.2 × 5.4 cm segment IV A liver abscess with capsule breach into the intrahepatic vena cava and thrombus extending up to the right atrium was observed. Computed tomography-pulmonary angiography revealed a right atrium thrombus with bilateral pulmonary artery thrombus and parenchymal infarcts. Raised D-dimer, protein C and S deficiency was observed. The patient was managed by needle aspiration of abscess, anticoagulation, and antibiotics.

Conclusion: Vascular complications need a high index of suspicion, good clinical knowledge, timely workup, and intervention. Direct rupture of an amebic liver abscess into the inferior vena cava, leading to pulmonary thromboembolism, is exceedingly rare and is not well-documented in the literature. Thorough investigation and timely intervention can successfully treat the patient.

Abstract Image

Abstract Image

Abstract Image

阿米巴肝脓肿破裂进入下腔静脉并肺动脉血栓栓塞1例。
背景:阿米巴肝脓肿的血管并发症如肝静脉和下腔静脉血栓、静脉炎和肝外胆道阻塞是罕见的。许多病理生理机制被提出,但确切的发病机制尚不清楚。这些并发症被认为是多因素的,局部和全身因素协同作用。在此,我们报告一例阿米巴脓肿破裂进入下腔静脉,血栓延伸至右心房,肺血栓栓塞成功治疗。病例介绍:一名45岁的印度男性,多次出现发热伴寒战、心悸、呼吸困难、右上腹部疼痛、双侧下肢水肿和瘀点,持续20天。检查发现心动过速,肝肿大,右肺下叶空气进入减少。超声示肝左叶一脓肿,体积约150cc,毗邻下腔静脉并破裂。增强ct示:肝段脓肿5.7 × 6.2 × 5.4 cm,囊破裂进入肝内腔静脉,血栓向上延伸至右心房。计算机断层扫描-肺血管造影显示右心房血栓伴双侧肺动脉血栓及实质性梗死。d -二聚体升高,蛋白C和S缺乏。患者接受脓肿针抽吸、抗凝和抗生素治疗。结论:血管并发症需要高度的怀疑指数、良好的临床知识、及时的检查和干预。阿米巴肝脓肿直接破裂进入下腔静脉,导致肺血栓栓塞,是极其罕见的,并没有很好的文献记录。彻底的调查和及时的干预可以成功地治疗患者。
本文章由计算机程序翻译,如有差异,请以英文原文为准。
求助全文
约1分钟内获得全文 求助全文
来源期刊
Journal of Medical Case Reports
Journal of Medical Case Reports Medicine-Medicine (all)
CiteScore
1.50
自引率
0.00%
发文量
436
期刊介绍: JMCR is an open access, peer-reviewed online journal that will consider any original case report that expands the field of general medical knowledge. Reports should show one of the following: 1. Unreported or unusual side effects or adverse interactions involving medications 2. Unexpected or unusual presentations of a disease 3. New associations or variations in disease processes 4. Presentations, diagnoses and/or management of new and emerging diseases 5. An unexpected association between diseases or symptoms 6. An unexpected event in the course of observing or treating a patient 7. Findings that shed new light on the possible pathogenesis of a disease or an adverse effect
×
引用
GB/T 7714-2015
复制
MLA
复制
APA
复制
导出至
BibTeX EndNote RefMan NoteFirst NoteExpress
×
提示
您的信息不完整,为了账户安全,请先补充。
现在去补充
×
提示
您因"违规操作"
具体请查看互助需知
我知道了
×
提示
确定
请完成安全验证×
copy
已复制链接
快去分享给好友吧!
我知道了
右上角分享
点击右上角分享
0
联系我们:info@booksci.cn Book学术提供免费学术资源搜索服务,方便国内外学者检索中英文文献。致力于提供最便捷和优质的服务体验。 Copyright © 2023 布克学术 All rights reserved.
京ICP备2023020795号-1
ghs 京公网安备 11010802042870号
Book学术文献互助
Book学术文献互助群
群 号:604180095
Book学术官方微信