Perspective on the use of scraping cytology for jawbone destructive lesions, entamoeba gingivalis, and actinomyces co-infection: a retrospective analysis.

IF 2.4 2区 医学 Q2 DENTISTRY, ORAL SURGERY & MEDICINE
Tsuyoshi Kurobane, Sukhbaatar Ariunbuyan, Shiro Mori, Hiroyuki Kumamoto, Tsuyoshi Sugiura
{"title":"Perspective on the use of scraping cytology for jawbone destructive lesions, entamoeba gingivalis, and actinomyces co-infection: a retrospective analysis.","authors":"Tsuyoshi Kurobane, Sukhbaatar Ariunbuyan, Shiro Mori, Hiroyuki Kumamoto, Tsuyoshi Sugiura","doi":"10.1186/s13005-025-00535-4","DOIUrl":null,"url":null,"abstract":"<p><strong>Objectives: </strong>Microbial infections can influence destructive jawbone lesions, yet the role of Entamoeba gingivalis (E. gingivalis) in these lesions is poorly understood, particularly when co-infected with Actinomyces. This study introduces a novel clinicopathological perspective on jawbone destruction linked to E. gingivalis and Actinomyces co-infection, aiming to improve diagnosis and treatment. In this study, we tried to evaluate minimally invasive methods for improving diagnosis and treatment for jawbone destruction, possibly linked to E. gingivalis and Actinomyces co-infection. We analyzed 11 cases of jawbone destructive lesions observed in patients (ages 42 to 83, both female and male) who visited Tohoku University Hospital from January 2015 to December 2021, in which scraping cytology detected E. gingivalis and Actinomyces.</p><p><strong>Materials and methods: </strong>We thoroughly assessed clinical symptoms, imaging findings, and treatment outcomes, including the duration of antimicrobial therapy, to identify distinctive patterns associated with this co-infection.</p><p><strong>Results: </strong>On imaging, patients exhibited significant mandibular resorption and sclerosis, despite the absence of typical symptoms of osteomyelitis or actinomycosis. Notably, E. gingivalis alone was linked to faster wound healing and shorter antimicrobial therapy durations compared to cases with concurrent Actinomyces infection (p = 0.011). The use of minimally invasive procedures, focusing on removing necrotic bone and loose teeth, led to effective healing and rapid recovery across all cases, offering promising prospects for enhanced treatment outcomes.</p><p><strong>Conclusion: </strong>This study underscores the value of scraping cytology for early identification of E. gingivalis and Actinomyces in jawbone lesions. Early detection and targeted intervention can prevent disease progression, enhance patient outcomes, and optimize antimicrobial use.</p><p><strong>Clinical relevance: </strong>These findings highlight the need for increased awareness of microbial co-infections in jaw osteomyelitis and support a new clinicopathological approach to diagnosis and management.</p>","PeriodicalId":12994,"journal":{"name":"Head & Face Medicine","volume":"21 1","pages":"58"},"PeriodicalIF":2.4000,"publicationDate":"2025-08-07","publicationTypes":"Journal Article","fieldsOfStudy":null,"isOpenAccess":false,"openAccessPdf":"https://www.ncbi.nlm.nih.gov/pmc/articles/PMC12329943/pdf/","citationCount":"0","resultStr":null,"platform":"Semanticscholar","paperid":null,"PeriodicalName":"Head & Face Medicine","FirstCategoryId":"3","ListUrlMain":"https://doi.org/10.1186/s13005-025-00535-4","RegionNum":2,"RegionCategory":"医学","ArticlePicture":[],"TitleCN":null,"AbstractTextCN":null,"PMCID":null,"EPubDate":"","PubModel":"","JCR":"Q2","JCRName":"DENTISTRY, ORAL SURGERY & MEDICINE","Score":null,"Total":0}
引用次数: 0

Abstract

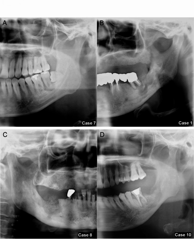
Objectives: Microbial infections can influence destructive jawbone lesions, yet the role of Entamoeba gingivalis (E. gingivalis) in these lesions is poorly understood, particularly when co-infected with Actinomyces. This study introduces a novel clinicopathological perspective on jawbone destruction linked to E. gingivalis and Actinomyces co-infection, aiming to improve diagnosis and treatment. In this study, we tried to evaluate minimally invasive methods for improving diagnosis and treatment for jawbone destruction, possibly linked to E. gingivalis and Actinomyces co-infection. We analyzed 11 cases of jawbone destructive lesions observed in patients (ages 42 to 83, both female and male) who visited Tohoku University Hospital from January 2015 to December 2021, in which scraping cytology detected E. gingivalis and Actinomyces.

Materials and methods: We thoroughly assessed clinical symptoms, imaging findings, and treatment outcomes, including the duration of antimicrobial therapy, to identify distinctive patterns associated with this co-infection.

Results: On imaging, patients exhibited significant mandibular resorption and sclerosis, despite the absence of typical symptoms of osteomyelitis or actinomycosis. Notably, E. gingivalis alone was linked to faster wound healing and shorter antimicrobial therapy durations compared to cases with concurrent Actinomyces infection (p = 0.011). The use of minimally invasive procedures, focusing on removing necrotic bone and loose teeth, led to effective healing and rapid recovery across all cases, offering promising prospects for enhanced treatment outcomes.

Conclusion: This study underscores the value of scraping cytology for early identification of E. gingivalis and Actinomyces in jawbone lesions. Early detection and targeted intervention can prevent disease progression, enhance patient outcomes, and optimize antimicrobial use.

Clinical relevance: These findings highlight the need for increased awareness of microbial co-infections in jaw osteomyelitis and support a new clinicopathological approach to diagnosis and management.

Abstract Image

Abstract Image

Abstract Image

颌骨破坏性病变、牙龈内阿米巴和放线菌合并感染的刮刮细胞学应用前景:回顾性分析。
目的:微生物感染可影响破坏性颌骨病变,但牙龈内阿米巴在这些病变中的作用尚不清楚,特别是当与放线菌共感染时。本研究从临床病理学的角度介绍了与牙龈杆菌和放线菌共感染相关的颌骨破坏,旨在提高诊断和治疗水平。在这项研究中,我们试图评估微创方法,以提高颌骨破坏的诊断和治疗,可能与牙龈杆菌和放线菌合并感染有关。我们分析了2015年1月至2021年12月在东北大学医院就诊的11例颌骨破坏性病变患者(年龄42 ~ 83岁,男女均有),其中刮刮细胞学检测到牙龈杆菌和放线菌。材料和方法:我们全面评估了临床症状、影像学表现和治疗结果,包括抗菌药物治疗的持续时间,以确定与这种合并感染相关的独特模式。结果:在影像学上,患者表现出明显的下颌吸收和硬化,尽管没有骨髓炎或放线菌病的典型症状。值得注意的是,与放线菌同时感染的病例相比,单独的牙龈杆菌与更快的伤口愈合和更短的抗菌治疗时间有关(p = 0.011)。微创手术的使用,重点是去除坏死骨和松动的牙齿,导致所有病例有效愈合和快速恢复,为提高治疗效果提供了有希望的前景。结论:本研究强调了刮痧细胞学在颌骨病变中龈芽胞杆菌和放线菌的早期鉴定中的价值。早期发现和有针对性的干预可以预防疾病进展,改善患者预后,并优化抗菌药物的使用。临床意义:这些发现强调需要提高对颌骨骨髓炎中微生物合并感染的认识,并支持新的临床病理学诊断和治疗方法。
本文章由计算机程序翻译,如有差异,请以英文原文为准。
求助全文
约1分钟内获得全文 求助全文
来源期刊
Head & Face Medicine
Head & Face Medicine DENTISTRY, ORAL SURGERY & MEDICINE-
CiteScore
4.70
自引率
3.30%
发文量
32
审稿时长
>12 weeks
期刊介绍: Head & Face Medicine is a multidisciplinary open access journal that publishes basic and clinical research concerning all aspects of cranial, facial and oral conditions. The journal covers all aspects of cranial, facial and oral diseases and their management. It has been designed as a multidisciplinary journal for clinicians and researchers involved in the diagnostic and therapeutic aspects of diseases which affect the human head and face. The journal is wide-ranging, covering the development, aetiology, epidemiology and therapy of head and face diseases to the basic science that underlies these diseases. Management of head and face diseases includes all aspects of surgical and non-surgical treatments including psychopharmacological therapies.
×
引用
GB/T 7714-2015
复制
MLA
复制
APA
复制
导出至
BibTeX EndNote RefMan NoteFirst NoteExpress
×
提示
您的信息不完整,为了账户安全,请先补充。
现在去补充
×
提示
您因"违规操作"
具体请查看互助需知
我知道了
×
提示
确定
请完成安全验证×
copy
已复制链接
快去分享给好友吧!
我知道了
右上角分享
点击右上角分享
0
联系我们:info@booksci.cn Book学术提供免费学术资源搜索服务,方便国内外学者检索中英文文献。致力于提供最便捷和优质的服务体验。 Copyright © 2023 布克学术 All rights reserved.
京ICP备2023020795号-1
ghs 京公网安备 11010802042870号
Book学术文献互助
Book学术文献互助群
群 号:604180095
Book学术官方微信