Endoscopic Ultrasound-Guided Drainage of Hepatic Fluid Collections: Insights from a Case Series.

IF 0.6 Q4 GASTROENTEROLOGY & HEPATOLOGY
Case Reports in Gastroenterology Pub Date : 2025-08-07 eCollection Date: 2025-01-01 DOI:10.1159/000546485
Ankita Nekkanti, Harishankar Gopakumar, Muhammad Asghar, Manasa Kandula, Srinivas Puli
{"title":"Endoscopic Ultrasound-Guided Drainage of Hepatic Fluid Collections: Insights from a Case Series.","authors":"Ankita Nekkanti, Harishankar Gopakumar, Muhammad Asghar, Manasa Kandula, Srinivas Puli","doi":"10.1159/000546485","DOIUrl":null,"url":null,"abstract":"<p><strong>Introduction: </strong>Hepatic cysts, commonly discovered incidentally, can become symptomatic due to complications like infection, rupture, or mass effect. Traditional management options include percutaneous drainage, open surgical or laparoscopic deroofing, and liver resection. We present a case series of 3 patients with complex fluid collections in the liver managed by endoscopic ultrasound (EUS)-guided drainage using lumen-apposing metal stent (LAMS) placement. While reports exist from other countries, our study contributes a series of cases from the USA.</p><p><strong>Case presentation: </strong>Three patients, average age 75 years (two men, one woman), underwent EUS-guided drainage using LAMS for an infected liver cyst, infected liver hematoma within a hepatocellular carcinoma lesion, and a symptomatic simple liver cyst, respectively. All the hepatic fluid collections were in the left hepatic lobe and had an average diameter of 11 centimeters (cm). Only the female patient with a symptomatic cyst had prior percutaneous drainage. Successful LAMS placement was achieved in all cases. Clinical success, defined as cyst resolution or significant size reduction, was observed in all patients. The superinfected liver cyst showed complete resolution, yet the stent remained in place as the patient transitioned to hospice and subsequently passed away. In the case of the superinfected liver hematoma, the stent was removed after 2 months. No recurrence was observed in follow-up imaging 8 months later, and the patient passed away. The symptomatic simple liver cyst patient had the stent removed 15 months later, with no recurrence in imaging 11 months of post-stent removal.</p><p><strong>Conclusion: </strong>EUS-guided LAMS placement emerges as a less invasive and viable option for treating symptomatic and/or infected hepatic fluid collections compared to surgery or percutaneous drainage. While it may be a preferable choice in institutions with the requisite expertise, further studies are essential to establish its definitive role as a first-line intervention.</p>","PeriodicalId":9614,"journal":{"name":"Case Reports in Gastroenterology","volume":"19 1","pages":"548-555"},"PeriodicalIF":0.6000,"publicationDate":"2025-08-07","publicationTypes":"Journal Article","fieldsOfStudy":null,"isOpenAccess":false,"openAccessPdf":"https://www.ncbi.nlm.nih.gov/pmc/articles/PMC12331227/pdf/","citationCount":"0","resultStr":null,"platform":"Semanticscholar","paperid":null,"PeriodicalName":"Case Reports in Gastroenterology","FirstCategoryId":"1085","ListUrlMain":"https://doi.org/10.1159/000546485","RegionNum":0,"RegionCategory":null,"ArticlePicture":[],"TitleCN":null,"AbstractTextCN":null,"PMCID":null,"EPubDate":"2025/1/1 0:00:00","PubModel":"eCollection","JCR":"Q4","JCRName":"GASTROENTEROLOGY & HEPATOLOGY","Score":null,"Total":0}
引用次数: 0

Abstract

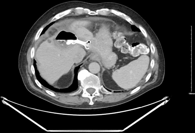
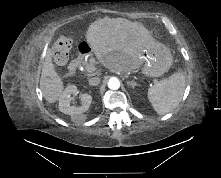
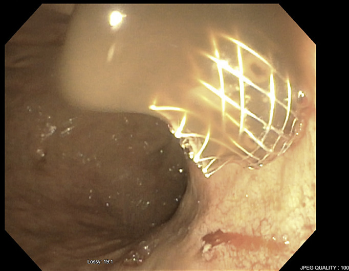
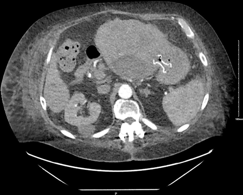
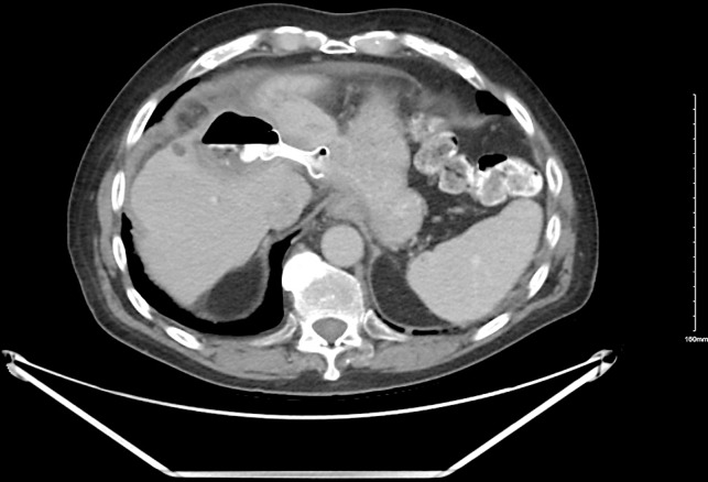
Introduction: Hepatic cysts, commonly discovered incidentally, can become symptomatic due to complications like infection, rupture, or mass effect. Traditional management options include percutaneous drainage, open surgical or laparoscopic deroofing, and liver resection. We present a case series of 3 patients with complex fluid collections in the liver managed by endoscopic ultrasound (EUS)-guided drainage using lumen-apposing metal stent (LAMS) placement. While reports exist from other countries, our study contributes a series of cases from the USA.

Case presentation: Three patients, average age 75 years (two men, one woman), underwent EUS-guided drainage using LAMS for an infected liver cyst, infected liver hematoma within a hepatocellular carcinoma lesion, and a symptomatic simple liver cyst, respectively. All the hepatic fluid collections were in the left hepatic lobe and had an average diameter of 11 centimeters (cm). Only the female patient with a symptomatic cyst had prior percutaneous drainage. Successful LAMS placement was achieved in all cases. Clinical success, defined as cyst resolution or significant size reduction, was observed in all patients. The superinfected liver cyst showed complete resolution, yet the stent remained in place as the patient transitioned to hospice and subsequently passed away. In the case of the superinfected liver hematoma, the stent was removed after 2 months. No recurrence was observed in follow-up imaging 8 months later, and the patient passed away. The symptomatic simple liver cyst patient had the stent removed 15 months later, with no recurrence in imaging 11 months of post-stent removal.

Conclusion: EUS-guided LAMS placement emerges as a less invasive and viable option for treating symptomatic and/or infected hepatic fluid collections compared to surgery or percutaneous drainage. While it may be a preferable choice in institutions with the requisite expertise, further studies are essential to establish its definitive role as a first-line intervention.

Abstract Image

Abstract Image

Abstract Image

Abstract Image

Abstract Image

Abstract Image

超声内镜引导下肝积液引流:来自一个病例系列的见解。
简介:肝囊肿通常是偶然发现的,可因感染、破裂或肿块效应等并发症而出现症状。传统的治疗方案包括经皮引流、开放手术或腹腔镜清肠和肝切除术。我们报告了3例复杂的肝脏积液患者,采用超声内镜(EUS)引导下使用腔内金属支架(LAMS)放置引流。虽然其他国家也有报道,但我们的研究贡献了一系列来自美国的病例。病例介绍:3例患者,平均年龄75岁(2男1女),分别因感染肝囊肿、肝细胞癌病变内感染肝血肿和有症状的单纯性肝囊肿接受eus引导下LAMS引流。所有的肝液集中在左肝叶,平均直径为11厘米(cm)。只有有症状性囊肿的女性患者先前进行过经皮引流。所有病例均成功植入LAMS。所有患者均观察到临床成功,定义为囊肿消退或显著缩小。重复感染的肝囊肿显示完全消退,然而支架在病人转移到临终关怀并随后去世时仍在原地。在肝血肿重复感染的情况下,支架在2个月后取出。8个月后随访影像学未见复发,患者死亡。有症状的单纯性肝囊肿患者在15个月后取出支架,支架取出后11个月影像学检查无复发。结论:与手术或经皮引流相比,eus引导下的LAMS放置是治疗症状性和/或感染的肝液收集的一种侵入性较小且可行的选择。虽然在具有必要专门知识的机构中,这可能是一个较好的选择,但必须进行进一步的研究,以确定其作为第一线干预措施的明确作用。
本文章由计算机程序翻译,如有差异,请以英文原文为准。
求助全文
约1分钟内获得全文 求助全文
来源期刊
Case Reports in Gastroenterology
Case Reports in Gastroenterology Medicine-Gastroenterology
CiteScore
1.10
自引率
0.00%
发文量
99
审稿时长
7 weeks
期刊介绍:
×
引用
GB/T 7714-2015
复制
MLA
复制
APA
复制
导出至
BibTeX EndNote RefMan NoteFirst NoteExpress
×
提示
您的信息不完整,为了账户安全,请先补充。
现在去补充
×
提示
您因"违规操作"
具体请查看互助需知
我知道了
×
提示
确定
请完成安全验证×
copy
已复制链接
快去分享给好友吧!
我知道了
右上角分享
点击右上角分享
0
联系我们:info@booksci.cn Book学术提供免费学术资源搜索服务,方便国内外学者检索中英文文献。致力于提供最便捷和优质的服务体验。 Copyright © 2023 布克学术 All rights reserved.
京ICP备2023020795号-1
ghs 京公网安备 11010802042870号
Book学术文献互助
Book学术文献互助群
群 号:604180095
Book学术官方微信