Seasonal expression of reproductive axis-related neuroendocrine genes and their relation with ovarian maturation in captive yellowtail kingfish (Seriola lalandi).

IF 4.6 2区 生物学 Q1 BIOLOGY
Jaime Palomino, Ayleen Olea, Stevanie Ramírez, Phillip Dettleff, Ricardo D Moreno
{"title":"Seasonal expression of reproductive axis-related neuroendocrine genes and their relation with ovarian maturation in captive yellowtail kingfish (Seriola lalandi).","authors":"Jaime Palomino, Ayleen Olea, Stevanie Ramírez, Phillip Dettleff, Ricardo D Moreno","doi":"10.1186/s40659-025-00622-5","DOIUrl":null,"url":null,"abstract":"<p><p>The yellowtail kingfish (Seriola lalandi) is a key species for the diversification of Chilean aquaculture. While controlled reproduction is essential for reliable fish production, the physiological and molecular bases underlying its reproductive cycle remain insufficiently explored. This study aimed to assess the expression patterns of brain-expressed neuroendocrine mRNAs involved in the activation of brain-pituitary-gonad (BPG) axis throughout different year seasons and to correlate them with ovarian maturation stages in S. lalandi females under captive conditions. Reproductive stages were determined by ovarian histology and gonadosomatic index (GSI) analysis. Expression levels of GnRH1 and GnRH2 genes (gnrh1 and gnrh2) as well as melatonin (mtn1ra), dopamine (drd2a), and kisspeptin (kiss1r) receptors were quantified by real time PCR in brain samples from adult individuals. Fish were maintained in temperature- and photoperiod-controlled tanks simulating the four seasons. Histological and GSI analyses identified four distinct reproductive stages. Gene expression peaked in winter and decreased in autumn, aligning with the seasonal progression of ovarian development. These results are consistent with the expected activation of the reproductive axis during the winter months in S. lalandi. Notably, the elevated expression of drd2a in winter suggests that modulation of GnRH action on pituitary function may not rely solely on dopaminergic inhibition. Taken together, our findings indicate that S. lalandi exhibits reproductive dynamics under captivity that mirror those of wild populations, supporting its use as a reliable model for studying reproductive physiology. Moreover, its responsiveness to environmental cues under controlled conditions enables the development of experimental strategies that would be logistically unfeasible in the wild.</p>","PeriodicalId":9084,"journal":{"name":"Biological Research","volume":"58 1","pages":"55"},"PeriodicalIF":4.6000,"publicationDate":"2025-08-08","publicationTypes":"Journal Article","fieldsOfStudy":null,"isOpenAccess":false,"openAccessPdf":"https://www.ncbi.nlm.nih.gov/pmc/articles/PMC12333068/pdf/","citationCount":"0","resultStr":null,"platform":"Semanticscholar","paperid":null,"PeriodicalName":"Biological Research","FirstCategoryId":"99","ListUrlMain":"https://doi.org/10.1186/s40659-025-00622-5","RegionNum":2,"RegionCategory":"生物学","ArticlePicture":[],"TitleCN":null,"AbstractTextCN":null,"PMCID":null,"EPubDate":"","PubModel":"","JCR":"Q1","JCRName":"BIOLOGY","Score":null,"Total":0}
引用次数: 0

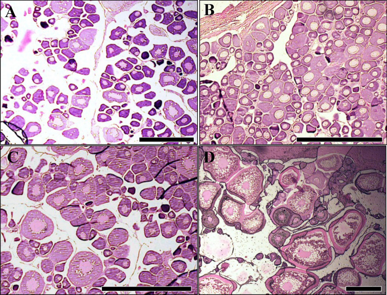
Abstract

The yellowtail kingfish (Seriola lalandi) is a key species for the diversification of Chilean aquaculture. While controlled reproduction is essential for reliable fish production, the physiological and molecular bases underlying its reproductive cycle remain insufficiently explored. This study aimed to assess the expression patterns of brain-expressed neuroendocrine mRNAs involved in the activation of brain-pituitary-gonad (BPG) axis throughout different year seasons and to correlate them with ovarian maturation stages in S. lalandi females under captive conditions. Reproductive stages were determined by ovarian histology and gonadosomatic index (GSI) analysis. Expression levels of GnRH1 and GnRH2 genes (gnrh1 and gnrh2) as well as melatonin (mtn1ra), dopamine (drd2a), and kisspeptin (kiss1r) receptors were quantified by real time PCR in brain samples from adult individuals. Fish were maintained in temperature- and photoperiod-controlled tanks simulating the four seasons. Histological and GSI analyses identified four distinct reproductive stages. Gene expression peaked in winter and decreased in autumn, aligning with the seasonal progression of ovarian development. These results are consistent with the expected activation of the reproductive axis during the winter months in S. lalandi. Notably, the elevated expression of drd2a in winter suggests that modulation of GnRH action on pituitary function may not rely solely on dopaminergic inhibition. Taken together, our findings indicate that S. lalandi exhibits reproductive dynamics under captivity that mirror those of wild populations, supporting its use as a reliable model for studying reproductive physiology. Moreover, its responsiveness to environmental cues under controlled conditions enables the development of experimental strategies that would be logistically unfeasible in the wild.

Abstract Image

Abstract Image

Abstract Image

黄尾王鱼生殖轴相关神经内分泌基因的季节性表达及其与卵巢成熟的关系
黄尾王鱼(serola lalandi)是智利水产养殖多样化的关键物种。虽然控制繁殖对可靠的鱼类生产至关重要,但其生殖周期背后的生理和分子基础仍未得到充分探索。本研究旨在评估在圈养条件下lalandi雌性S. lalandi中脑表达的与脑-垂体-性腺(BPG)轴激活相关的神经内分泌mrna在不同季节的表达模式,并将其与卵巢成熟阶段相关联。通过卵巢组织学和性腺指数(GSI)分析确定生殖阶段。采用实时荧光定量PCR技术检测成人脑样品中GnRH1和GnRH2基因(GnRH1和GnRH2)以及褪黑激素(mtn1ra)、多巴胺(drd2a)和kisspeptin (kiss1r)受体的表达水平。鱼被饲养在模拟四季的温度和光周期控制的鱼缸里。组织学和GSI分析确定了四个不同的生殖阶段。基因表达在冬季达到高峰,在秋季下降,与卵巢发育的季节性进展一致。这些结果与预期的繁殖轴在冬季的激活是一致的。值得注意的是,drd2a在冬季的高表达表明GnRH对垂体功能的调节可能不仅仅依赖于多巴胺能抑制。综上所述,我们的研究结果表明,lalandi在圈养条件下表现出与野生种群相似的繁殖动态,支持其作为研究生殖生理学的可靠模型。此外,它在受控条件下对环境线索的反应使实验策略的发展在野外是不可能的。
本文章由计算机程序翻译,如有差异,请以英文原文为准。
求助全文
约1分钟内获得全文 求助全文
来源期刊
Biological Research
Biological Research 生物-生物学
CiteScore
10.10
自引率
0.00%
发文量
33
审稿时长
>12 weeks
期刊介绍: Biological Research is an open access, peer-reviewed journal that encompasses diverse fields of experimental biology, such as biochemistry, bioinformatics, biotechnology, cell biology, cancer, chemical biology, developmental biology, evolutionary biology, genetics, genomics, immunology, marine biology, microbiology, molecular biology, neuroscience, plant biology, physiology, stem cell research, structural biology and systems biology.
×
引用
GB/T 7714-2015
复制
MLA
复制
APA
复制
导出至
BibTeX EndNote RefMan NoteFirst NoteExpress
×
提示
您的信息不完整,为了账户安全,请先补充。
现在去补充
×
提示
您因"违规操作"
具体请查看互助需知
我知道了
×
提示
确定
请完成安全验证×
copy
已复制链接
快去分享给好友吧!
我知道了
右上角分享
点击右上角分享
0
联系我们:info@booksci.cn Book学术提供免费学术资源搜索服务,方便国内外学者检索中英文文献。致力于提供最便捷和优质的服务体验。 Copyright © 2023 布克学术 All rights reserved.
京ICP备2023020795号-1
ghs 京公网安备 11010802042870号
Book学术文献互助
Book学术文献互助群
群 号:604180095
Book学术官方微信