Case Report: Clinical features and management of anti-mGluR1 encephalitis: case illustration and review of the literature.

IF 2.9 3区 医学 Q2 BEHAVIORAL SCIENCES
Frontiers in Integrative Neuroscience Pub Date : 2025-07-23 eCollection Date: 2025-01-01 DOI:10.3389/fnint.2025.1580767
Min Deng, Jing Xiong, Zhaohong Kong, Xufeng Wang, Tao Li
{"title":"Case Report: Clinical features and management of anti-mGluR1 encephalitis: case illustration and review of the literature.","authors":"Min Deng, Jing Xiong, Zhaohong Kong, Xufeng Wang, Tao Li","doi":"10.3389/fnint.2025.1580767","DOIUrl":null,"url":null,"abstract":"<p><strong>Background: </strong>Anti-metabotropic glutamate receptor 1 (mGluR1) encephalitis is a rare autoimmune disease affecting cerebellar Purkinje cells. Only thirty-nine cases have been reported globally, with inconsistent documentation of treatments and outcomes. A systematic review is needed to identify prognostic factors and expand clinical understanding and treatment options.</p><p><strong>Methods: </strong>Observational follow-up data of anti-mGluR1 encephalitis cases were collected. All anti-mGluR1 encephalitis cases published in the PubMed and Google Scholar databases in English before November 1, 2024 were included. Clinical information and possible predictive factors from both current and previously reported cases were statistically analyzed.</p><p><strong>Results: </strong>We present a case of anti-mGluR1 encephalitis successfully treated with ofatumumab. During the patient's initial episode, she partially recovered after first-line treatment. She experienced a relapse 6 months later and was treated with ofatumumab, resulting in complete recovery. Forty cases of anti-mGluR1 encephalitis, including our case, were summarized. The prevalence was similar between men and women, with 50% of patients aged 40-59 years. The most common clinical manifestations were ataxia and dysarthria. Cerebrospinal fluid analysis showed normal white blood cell count and IgG index in 37.1% of patients. Almost half of the patients (48.6%) exhibited cerebellar atrophy on cerebral MRI scans at initial presentation or during follow-up. Only 25% of patients recovered completely. According to the modified Rankin Scale (mRS) scores at the last follow-up, patients with poor outcome (<i>n</i> = 13, 32.5%) had a lower proportion of first-line immunotherapy (62%, <i>P</i> = 0.017) and a longer follow-up time (median 36 months, <i>P</i> = 0.038).</p><p><strong>Conclusion: </strong>The peak incidence of anti-mGluR1 encephalitis occurs between ages of 40-59 years. More than one-third of patients have normal cell counts and IgG index in the cerebrospinal fluid. Therefore, patients suspected of having this encephalitis should be tested for the presence of anti-mGluR1 antibodies in serum and cerebrospinal fluid. Notably, the first-line immunotherapy may be a critical factor influencing clinical outcomes.</p>","PeriodicalId":56016,"journal":{"name":"Frontiers in Integrative Neuroscience","volume":"19 ","pages":"1580767"},"PeriodicalIF":2.9000,"publicationDate":"2025-07-23","publicationTypes":"Journal Article","fieldsOfStudy":null,"isOpenAccess":false,"openAccessPdf":"https://www.ncbi.nlm.nih.gov/pmc/articles/PMC12325280/pdf/","citationCount":"0","resultStr":null,"platform":"Semanticscholar","paperid":null,"PeriodicalName":"Frontiers in Integrative Neuroscience","FirstCategoryId":"3","ListUrlMain":"https://doi.org/10.3389/fnint.2025.1580767","RegionNum":3,"RegionCategory":"医学","ArticlePicture":[],"TitleCN":null,"AbstractTextCN":null,"PMCID":null,"EPubDate":"2025/1/1 0:00:00","PubModel":"eCollection","JCR":"Q2","JCRName":"BEHAVIORAL SCIENCES","Score":null,"Total":0}
引用次数: 0

Abstract

Background: Anti-metabotropic glutamate receptor 1 (mGluR1) encephalitis is a rare autoimmune disease affecting cerebellar Purkinje cells. Only thirty-nine cases have been reported globally, with inconsistent documentation of treatments and outcomes. A systematic review is needed to identify prognostic factors and expand clinical understanding and treatment options.

Methods: Observational follow-up data of anti-mGluR1 encephalitis cases were collected. All anti-mGluR1 encephalitis cases published in the PubMed and Google Scholar databases in English before November 1, 2024 were included. Clinical information and possible predictive factors from both current and previously reported cases were statistically analyzed.

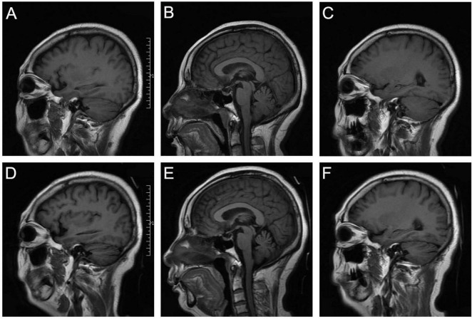
Results: We present a case of anti-mGluR1 encephalitis successfully treated with ofatumumab. During the patient's initial episode, she partially recovered after first-line treatment. She experienced a relapse 6 months later and was treated with ofatumumab, resulting in complete recovery. Forty cases of anti-mGluR1 encephalitis, including our case, were summarized. The prevalence was similar between men and women, with 50% of patients aged 40-59 years. The most common clinical manifestations were ataxia and dysarthria. Cerebrospinal fluid analysis showed normal white blood cell count and IgG index in 37.1% of patients. Almost half of the patients (48.6%) exhibited cerebellar atrophy on cerebral MRI scans at initial presentation or during follow-up. Only 25% of patients recovered completely. According to the modified Rankin Scale (mRS) scores at the last follow-up, patients with poor outcome (n = 13, 32.5%) had a lower proportion of first-line immunotherapy (62%, P = 0.017) and a longer follow-up time (median 36 months, P = 0.038).

Conclusion: The peak incidence of anti-mGluR1 encephalitis occurs between ages of 40-59 years. More than one-third of patients have normal cell counts and IgG index in the cerebrospinal fluid. Therefore, patients suspected of having this encephalitis should be tested for the presence of anti-mGluR1 antibodies in serum and cerebrospinal fluid. Notably, the first-line immunotherapy may be a critical factor influencing clinical outcomes.

Abstract Image

Abstract Image

Abstract Image

病例报告:抗mglur1脑炎的临床特点和治疗:病例说明和文献复习。
背景:抗代谢性谷氨酸受体1 (mGluR1)脑炎是一种罕见的影响小脑浦肯野细胞的自身免疫性疾病。全球仅报告了39例,治疗和结果的记录不一致。需要进行系统回顾,以确定预后因素并扩大临床认识和治疗选择。方法:收集抗mglur1脑炎病例的观察随访资料。纳入2024年11月1日前在PubMed和谷歌Scholar英文数据库中发表的所有抗mglur1脑炎病例。对目前和以前报告的病例的临床信息和可能的预测因素进行统计分析。结果:我们报告了一例抗mglur1脑炎成功治疗的阿图单抗。患者最初发病时,经一线治疗部分恢复。6个月后复发,接受ofatumumab治疗,最终完全康复。本文总结了包括本病例在内的40例抗mglur1脑炎病例。男性和女性的患病率相似,50%的患者年龄在40-59岁之间。最常见的临床表现为共济失调和构音障碍。脑脊液分析显示,37.1%患者白细胞计数和IgG指数正常。几乎一半的患者(48.6%)在初次就诊或随访期间的大脑MRI扫描中表现出小脑萎缩。只有25%的患者完全康复。根据末次随访时改良Rankin量表(mRS)评分,预后不良患者(n = 13, 32.5%)接受一线免疫治疗的比例较低(62%,P = 0.017),随访时间较长(中位36个月,P = 0.038)。结论:抗mglur1脑炎的高发年龄为40 ~ 59岁。超过三分之一的患者脑脊液中细胞计数和IgG指数正常。因此,怀疑患有这种脑炎的患者应检测血清和脑脊液中是否存在抗mglur1抗体。值得注意的是,一线免疫治疗可能是影响临床结果的关键因素。
本文章由计算机程序翻译,如有差异,请以英文原文为准。
求助全文
约1分钟内获得全文 求助全文
来源期刊
Frontiers in Integrative Neuroscience
Frontiers in Integrative Neuroscience Neuroscience-Cellular and Molecular Neuroscience
CiteScore
4.60
自引率
2.90%
发文量
148
审稿时长
14 weeks
期刊介绍: Frontiers in Integrative Neuroscience publishes rigorously peer-reviewed research that synthesizes multiple facets of brain structure and function, to better understand how multiple diverse functions are integrated to produce complex behaviors. Led by an outstanding Editorial Board of international experts, this multidisciplinary open-access journal is at the forefront of disseminating and communicating scientific knowledge and impactful discoveries to researchers, academics, clinicians and the public worldwide. Our goal is to publish research related to furthering the understanding of the integrative mechanisms underlying brain functioning across one or more interacting levels of neural organization. In most real life experiences, sensory inputs from several modalities converge and interact in a manner that influences perception and actions generating purposeful and social behaviors. The journal is therefore focused on the primary questions of how multiple sensory, cognitive and emotional processes merge to produce coordinated complex behavior. It is questions such as this that cannot be answered at a single level – an ion channel, a neuron or a synapse – that we wish to focus on. In Frontiers in Integrative Neuroscience we welcome in vitro or in vivo investigations across the molecular, cellular, and systems and behavioral level. Research in any species and at any stage of development and aging that are focused at understanding integration mechanisms underlying emergent properties of the brain and behavior are welcome.
×
引用
GB/T 7714-2015
复制
MLA
复制
APA
复制
导出至
BibTeX EndNote RefMan NoteFirst NoteExpress
×
提示
您的信息不完整,为了账户安全,请先补充。
现在去补充
×
提示
您因"违规操作"
具体请查看互助需知
我知道了
×
提示
确定
请完成安全验证×
copy
已复制链接
快去分享给好友吧!
我知道了
右上角分享
点击右上角分享
0
联系我们:info@booksci.cn Book学术提供免费学术资源搜索服务,方便国内外学者检索中英文文献。致力于提供最便捷和优质的服务体验。 Copyright © 2023 布克学术 All rights reserved.
京ICP备2023020795号-1
ghs 京公网安备 11010802042870号
Book学术文献互助
Book学术文献互助群
群 号:604180095
Book学术官方微信