Pulmonary Complications in Connective Tissue Disease-Associated Interstitial Lung Disease.

IF 2.3 4区 医学 Q3 RESPIRATORY SYSTEM
Agata Anna Lewandowska, Dorota Waśniowska, Cezary Rybacki, Michał Graczyk, Ola Duszyńska, Helena Mirus-Arabik, Aleksandra Gaczkowska, Małgorzata Kołodziej
{"title":"Pulmonary Complications in Connective Tissue Disease-Associated Interstitial Lung Disease.","authors":"Agata Anna Lewandowska, Dorota Waśniowska, Cezary Rybacki, Michał Graczyk, Ola Duszyńska, Helena Mirus-Arabik, Aleksandra Gaczkowska, Małgorzata Kołodziej","doi":"10.1111/crj.70116","DOIUrl":null,"url":null,"abstract":"<p><p>Interstitial lung disease (ILD) associated with connective tissue disease (CTD) is a challenging entity burdened with multiple risk factors and undesirable events. ILD can occur at any time and progress regardless of the underlying disease activity. Apart from the established difficulties in choosing an appropriate treatment strategy for both pulmonary and extrapulmonary involvement, such patients require a holistic and multidisciplinary approach. In an attempt to emphasize the significance of the problem and suggest potential research directions, the authors present four potentially most important and often misdiagnosed complications of the CTD-associated ILD, in the form of acute exacerbation, drug-induced pulmonary toxicity, nonspecific infection, and tuberculosis. Similar clinical manifestations of the patient's progressive deterioration, as well as the complex etiology of pulmonary involvement, raise controversies and force difficult therapeutic decisions. High morbidity and mortality among patients with progressive CTD-associated ILDs necessitate further research in an attempt to enhance the treatment management in each CTD and improve the patients' quality of life.</p>","PeriodicalId":55247,"journal":{"name":"Clinical Respiratory Journal","volume":"19 8","pages":"e70116"},"PeriodicalIF":2.3000,"publicationDate":"2025-08-01","publicationTypes":"Journal Article","fieldsOfStudy":null,"isOpenAccess":false,"openAccessPdf":"https://www.ncbi.nlm.nih.gov/pmc/articles/PMC12328024/pdf/","citationCount":"0","resultStr":null,"platform":"Semanticscholar","paperid":null,"PeriodicalName":"Clinical Respiratory Journal","FirstCategoryId":"3","ListUrlMain":"https://doi.org/10.1111/crj.70116","RegionNum":4,"RegionCategory":"医学","ArticlePicture":[],"TitleCN":null,"AbstractTextCN":null,"PMCID":null,"EPubDate":"","PubModel":"","JCR":"Q3","JCRName":"RESPIRATORY SYSTEM","Score":null,"Total":0}
引用次数: 0

Abstract

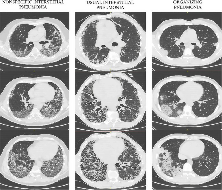
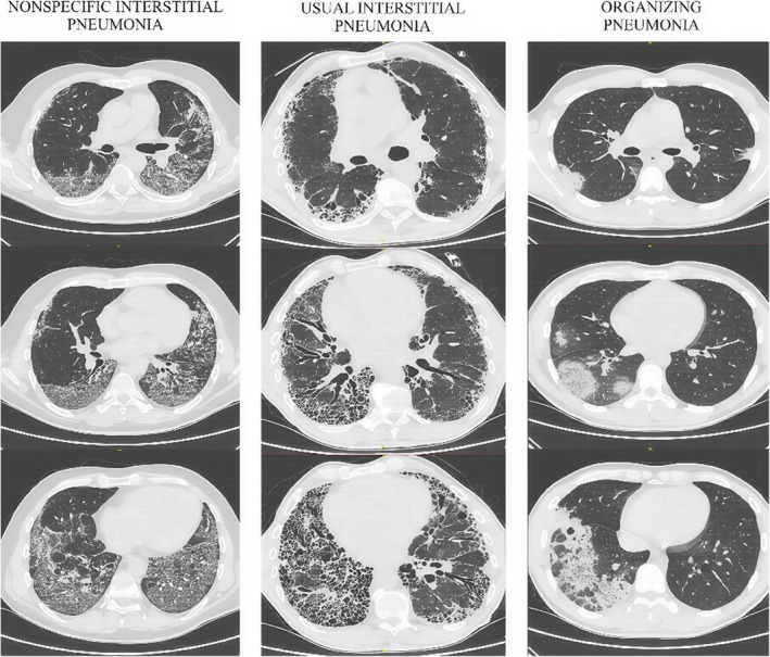
Interstitial lung disease (ILD) associated with connective tissue disease (CTD) is a challenging entity burdened with multiple risk factors and undesirable events. ILD can occur at any time and progress regardless of the underlying disease activity. Apart from the established difficulties in choosing an appropriate treatment strategy for both pulmonary and extrapulmonary involvement, such patients require a holistic and multidisciplinary approach. In an attempt to emphasize the significance of the problem and suggest potential research directions, the authors present four potentially most important and often misdiagnosed complications of the CTD-associated ILD, in the form of acute exacerbation, drug-induced pulmonary toxicity, nonspecific infection, and tuberculosis. Similar clinical manifestations of the patient's progressive deterioration, as well as the complex etiology of pulmonary involvement, raise controversies and force difficult therapeutic decisions. High morbidity and mortality among patients with progressive CTD-associated ILDs necessitate further research in an attempt to enhance the treatment management in each CTD and improve the patients' quality of life.

Abstract Image

Abstract Image

Abstract Image

Abstract Image

Abstract Image

Abstract Image

结缔组织病相关间质性肺疾病的肺部并发症。
间质性肺疾病(ILD)与结缔组织疾病(CTD)是一个具有挑战性的实体负担多种危险因素和不良事件。ILD可在任何时间发生,且不论基础疾病活动如何进展。除了在肺和肺外受累选择适当的治疗策略方面存在的困难外,这类患者需要全面和多学科的治疗方法。为了强调这一问题的重要性并提出潜在的研究方向,作者提出了ctd相关ILD的四种可能最重要且常被误诊的并发症,即急性加重、药物性肺毒性、非特异性感染和结核病。患者进行性恶化的相似临床表现,以及肺部受累的复杂病因,引起争议并迫使难以做出治疗决定。进行性CTD相关ild患者的高发病率和死亡率需要进一步研究,以加强每种CTD的治疗管理,提高患者的生活质量。
本文章由计算机程序翻译,如有差异,请以英文原文为准。
求助全文
约1分钟内获得全文 求助全文
来源期刊
Clinical Respiratory Journal
Clinical Respiratory Journal 医学-呼吸系统
CiteScore
3.70
自引率
0.00%
发文量
104
审稿时长
>12 weeks
期刊介绍: Overview Effective with the 2016 volume, this journal will be published in an online-only format. Aims and Scope The Clinical Respiratory Journal (CRJ) provides a forum for clinical research in all areas of respiratory medicine from clinical lung disease to basic research relevant to the clinic. We publish original research, review articles, case studies, editorials and book reviews in all areas of clinical lung disease including: Asthma Allergy COPD Non-invasive ventilation Sleep related breathing disorders Interstitial lung diseases Lung cancer Clinical genetics Rhinitis Airway and lung infection Epidemiology Pediatrics CRJ provides a fast-track service for selected Phase II and Phase III trial studies. Keywords Clinical Respiratory Journal, respiratory, pulmonary, medicine, clinical, lung disease, Abstracting and Indexing Information Academic Search (EBSCO Publishing) Academic Search Alumni Edition (EBSCO Publishing) Embase (Elsevier) Health & Medical Collection (ProQuest) Health Research Premium Collection (ProQuest) HEED: Health Economic Evaluations Database (Wiley-Blackwell) Hospital Premium Collection (ProQuest) Journal Citation Reports/Science Edition (Clarivate Analytics) MEDLINE/PubMed (NLM) ProQuest Central (ProQuest) Science Citation Index Expanded (Clarivate Analytics) SCOPUS (Elsevier)
×
引用
GB/T 7714-2015
复制
MLA
复制
APA
复制
导出至
BibTeX EndNote RefMan NoteFirst NoteExpress
×
提示
您的信息不完整,为了账户安全,请先补充。
现在去补充
×
提示
您因"违规操作"
具体请查看互助需知
我知道了
×
提示
确定
请完成安全验证×
copy
已复制链接
快去分享给好友吧!
我知道了
右上角分享
点击右上角分享
0
联系我们:info@booksci.cn Book学术提供免费学术资源搜索服务,方便国内外学者检索中英文文献。致力于提供最便捷和优质的服务体验。 Copyright © 2023 布克学术 All rights reserved.
京ICP备2023020795号-1
ghs 京公网安备 11010802042870号
Book学术文献互助
Book学术文献互助群
群 号:604180095
Book学术官方微信