Using Remimazolam to Generate Hemodynamically Stable Burst Suppression: A Case Report and Literature Review.

Q3 Medicine
Case Reports in Anesthesiology Pub Date : 2025-07-30 eCollection Date: 2025-01-01 DOI:10.1155/cria/7512576
Chin Fung Kelvin Kan, Jacob E Pollard
{"title":"Using Remimazolam to Generate Hemodynamically Stable Burst Suppression: A Case Report and Literature Review.","authors":"Chin Fung Kelvin Kan, Jacob E Pollard","doi":"10.1155/cria/7512576","DOIUrl":null,"url":null,"abstract":"<p><p>Remimazolam is a short-acting benzodiazepine that was approved by the United States Food and Drug Administration (FDA) in 2020 for the induction and maintenance of procedural sedation in adults undergoing procedures lasting 30 min or less. Given its recent introduction, the use of remimazolam for general anesthesia and monitored anesthesia care (MAC) remains an area of ongoing investigation. In this report, we present the first documented case demonstrating that remimazolam can achieve hemodynamic stable burst suppression in a critically ill patient undergoing emergent craniectomy and aneurysm clipping. Additionally, this manuscript reviews the reported off-label applications of remimazolam in both the operating room and the intensive care unit (ICU) settings.</p>","PeriodicalId":36504,"journal":{"name":"Case Reports in Anesthesiology","volume":"2025 ","pages":"7512576"},"PeriodicalIF":0.0000,"publicationDate":"2025-07-30","publicationTypes":"Journal Article","fieldsOfStudy":null,"isOpenAccess":false,"openAccessPdf":"https://www.ncbi.nlm.nih.gov/pmc/articles/PMC12328058/pdf/","citationCount":"0","resultStr":null,"platform":"Semanticscholar","paperid":null,"PeriodicalName":"Case Reports in Anesthesiology","FirstCategoryId":"1085","ListUrlMain":"https://doi.org/10.1155/cria/7512576","RegionNum":0,"RegionCategory":null,"ArticlePicture":[],"TitleCN":null,"AbstractTextCN":null,"PMCID":null,"EPubDate":"2025/1/1 0:00:00","PubModel":"eCollection","JCR":"Q3","JCRName":"Medicine","Score":null,"Total":0}
引用次数: 0

Abstract

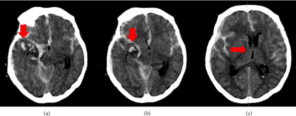
Remimazolam is a short-acting benzodiazepine that was approved by the United States Food and Drug Administration (FDA) in 2020 for the induction and maintenance of procedural sedation in adults undergoing procedures lasting 30 min or less. Given its recent introduction, the use of remimazolam for general anesthesia and monitored anesthesia care (MAC) remains an area of ongoing investigation. In this report, we present the first documented case demonstrating that remimazolam can achieve hemodynamic stable burst suppression in a critically ill patient undergoing emergent craniectomy and aneurysm clipping. Additionally, this manuscript reviews the reported off-label applications of remimazolam in both the operating room and the intensive care unit (ICU) settings.

Abstract Image

Abstract Image

Abstract Image

使用雷马唑仑产生血流动力学稳定的爆发抑制:1例报告和文献复习。
Remimazolam是一种短效苯二氮卓类药物,于2020年获得美国食品和药物管理局(FDA)批准,用于诱导和维持持续30分钟或更短时间的成人手术镇静。鉴于雷马唑仑最近被引入,它在全身麻醉和麻醉监护(MAC)中的应用仍是一个正在进行研究的领域。在本报告中,我们提出了第一个有文献记载的病例,证明雷马唑仑可以在紧急开颅手术和动脉瘤夹闭的危重患者中实现血流动力学稳定的爆发抑制。此外,本文回顾了雷马唑仑在手术室和重症监护病房(ICU)环境下的标签外应用报道。
本文章由计算机程序翻译,如有差异,请以英文原文为准。
求助全文
约1分钟内获得全文 求助全文
来源期刊
Case Reports in Anesthesiology
Case Reports in Anesthesiology Medicine-Anesthesiology and Pain Medicine
CiteScore
1.40
自引率
0.00%
发文量
19
审稿时长
12 weeks
×
引用
GB/T 7714-2015
复制
MLA
复制
APA
复制
导出至
BibTeX EndNote RefMan NoteFirst NoteExpress
×
提示
您的信息不完整,为了账户安全,请先补充。
现在去补充
×
提示
您因"违规操作"
具体请查看互助需知
我知道了
×
提示
确定
请完成安全验证×
copy
已复制链接
快去分享给好友吧!
我知道了
右上角分享
点击右上角分享
0
联系我们:info@booksci.cn Book学术提供免费学术资源搜索服务,方便国内外学者检索中英文文献。致力于提供最便捷和优质的服务体验。 Copyright © 2023 布克学术 All rights reserved.
京ICP备2023020795号-1
ghs 京公网安备 11010802042870号
Book学术文献互助
Book学术文献互助群
群 号:604180095
Book学术官方微信