Surgical Resection for Rare Cases of Lung Cancer in Teenagers.

IF 0.8 Q4 RESPIRATORY SYSTEM
Respirology Case Reports Pub Date : 2025-08-06 eCollection Date: 2025-08-01 DOI:10.1002/rcr2.70281
Ryusuke Sumiya, Takeshi Matsunaga, Yukio Watanabe, Mariko Fukui, Aritoshi Hattori, Takuo Hayashi, Kazuya Takamochi, Kenji Suzuki
{"title":"Surgical Resection for Rare Cases of Lung Cancer in Teenagers.","authors":"Ryusuke Sumiya, Takeshi Matsunaga, Yukio Watanabe, Mariko Fukui, Aritoshi Hattori, Takuo Hayashi, Kazuya Takamochi, Kenji Suzuki","doi":"10.1002/rcr2.70281","DOIUrl":null,"url":null,"abstract":"<p><p>We experienced two cases of lung cancer in teenagers. Case 1 involved a 17-year-old never-smoking girl with no medical history. Chest computed tomography revealed a 9 × 7 mm ground-glass nodule in the left lung. Case 2 involved an 18-year-old man with no smoking history but bilateral pneumothorax. Chest computed tomography showed a 13 × 11 mm ground-glass nodule in the right lung. In both cases, thoracoscopic wedge resection was performed, and the tumours were pathologically diagnosed as adenocarcinoma in situ. There was no evidence of recurrence for 2 years in Case 1, and for 1.5 years in Case 2.</p>","PeriodicalId":45846,"journal":{"name":"Respirology Case Reports","volume":"13 8","pages":"e70281"},"PeriodicalIF":0.8000,"publicationDate":"2025-08-06","publicationTypes":"Journal Article","fieldsOfStudy":null,"isOpenAccess":false,"openAccessPdf":"https://www.ncbi.nlm.nih.gov/pmc/articles/PMC12328035/pdf/","citationCount":"0","resultStr":null,"platform":"Semanticscholar","paperid":null,"PeriodicalName":"Respirology Case Reports","FirstCategoryId":"1085","ListUrlMain":"https://doi.org/10.1002/rcr2.70281","RegionNum":0,"RegionCategory":null,"ArticlePicture":[],"TitleCN":null,"AbstractTextCN":null,"PMCID":null,"EPubDate":"2025/8/1 0:00:00","PubModel":"eCollection","JCR":"Q4","JCRName":"RESPIRATORY SYSTEM","Score":null,"Total":0}
引用次数: 0

Abstract

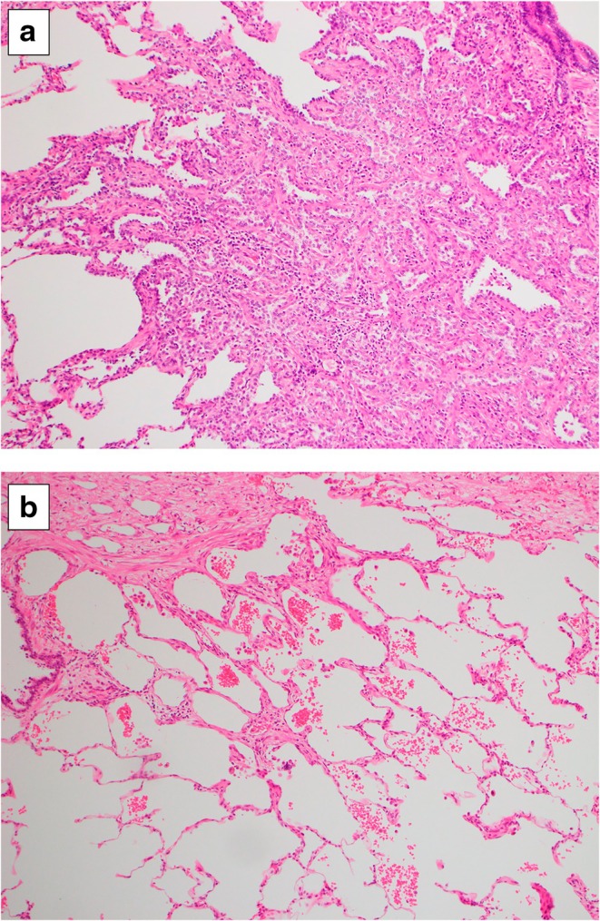
We experienced two cases of lung cancer in teenagers. Case 1 involved a 17-year-old never-smoking girl with no medical history. Chest computed tomography revealed a 9 × 7 mm ground-glass nodule in the left lung. Case 2 involved an 18-year-old man with no smoking history but bilateral pneumothorax. Chest computed tomography showed a 13 × 11 mm ground-glass nodule in the right lung. In both cases, thoracoscopic wedge resection was performed, and the tumours were pathologically diagnosed as adenocarcinoma in situ. There was no evidence of recurrence for 2 years in Case 1, and for 1.5 years in Case 2.

Abstract Image

Abstract Image

Abstract Image

手术切除青少年肺癌的罕见病例。
我们经历了两例青少年肺癌病例。病例1是一名17岁的从不吸烟的女孩,没有病史。胸部ct示左肺一9 × 7 mm磨玻璃结节。病例2为18岁男性,无吸烟史,双侧气胸。胸部ct示右肺一13 × 11 mm磨玻璃结节。两例患者均行胸腔镜楔形切除,病理诊断为原位腺癌。病例1 2年无复发迹象,病例2 1.5年无复发迹象。
本文章由计算机程序翻译,如有差异,请以英文原文为准。
求助全文
约1分钟内获得全文 求助全文
来源期刊
Respirology Case Reports
Respirology Case Reports RESPIRATORY SYSTEM-
CiteScore
1.40
自引率
0.00%
发文量
178
审稿时长
8 weeks
期刊介绍: Respirology Case Reports is an open-access online journal dedicated to the publication of original clinical case reports, case series, clinical images and clinical videos in all fields of respiratory medicine. The Journal encourages the international exchange between clinicians and researchers of experiences in diagnosing and treating uncommon diseases or diseases with unusual presentations. All manuscripts are peer-reviewed through a streamlined process that aims at providing a rapid turnaround time from submission to publication.
×
引用
GB/T 7714-2015
复制
MLA
复制
APA
复制
导出至
BibTeX EndNote RefMan NoteFirst NoteExpress
×
提示
您的信息不完整,为了账户安全,请先补充。
现在去补充
×
提示
您因"违规操作"
具体请查看互助需知
我知道了
×
提示
确定
请完成安全验证×
copy
已复制链接
快去分享给好友吧!
我知道了
右上角分享
点击右上角分享
0
联系我们:info@booksci.cn Book学术提供免费学术资源搜索服务,方便国内外学者检索中英文文献。致力于提供最便捷和优质的服务体验。 Copyright © 2023 布克学术 All rights reserved.
京ICP备2023020795号-1
ghs 京公网安备 11010802042870号
Book学术文献互助
Book学术文献互助群
群 号:604180095
Book学术官方微信