Comparative outcomes of in-situ fixation and fixation after reduction in geriatric patients with severe valgus-impacted femoral neck fractures: a retrospective multicenter (TRON group) study.

IF 0.9 4区 医学 Q4 MEDICINE, RESEARCH & EXPERIMENTAL
Tatsuya Nobori, Yasuhiko Takegami, Katsuhiro Tokutake, Hiroaki Nakashima, Kenichi Mishima, Masanori Okamoto, Nobuyuki Okui, Shiro Imagama
{"title":"Comparative outcomes of in-situ fixation and fixation after reduction in geriatric patients with severe valgus-impacted femoral neck fractures: a retrospective multicenter (TRON group) study.","authors":"Tatsuya Nobori, Yasuhiko Takegami, Katsuhiro Tokutake, Hiroaki Nakashima, Kenichi Mishima, Masanori Okamoto, Nobuyuki Okui, Shiro Imagama","doi":"10.18999/nagjms.87.2.295","DOIUrl":null,"url":null,"abstract":"<p><p>The objective of this study was to evaluate and compare the clinical and radiographic outcomes between in situ fixation and fixation after reduction of severe valgus-impacted femoral neck fractures in patients aged 65 years or older. This was a multicenter retrospective study of 561 patients who underwent open reduction and internal fixation for femoral neck fracture. From this population, we selected patients aged 65 years and older with severe valgus-impacted femoral neck fractures characterized by a Garden alignment index greater than 15 degrees compared to that on the non-injury side. After exclusion criteria were applied, the study included 92 patients who were categorized into two groups: in situ fixation group (n = 56) and fixation after reduction group (n = 36). Our analysis covered patient demographics, surgical details, postoperative complications, radiographic evaluations, Numeric Rating Scale for pain, and Parker's Mobility Score for clinical outcomes. Bone union was achieved in all patients. The incidence of avascular necrosis was consistent between the groups. Patients in the reduction group reported lower Numeric Rating Scale scores (mean: 0 vs 2, p = 0.003) and higher Parker's Mobility Score scores (mean: 7 vs 6, p = 0.009) compared with the in situ group. Radiographically, the reduction group showed significantly lower femoral neck shortening (mean: 4.75 mm vs 5.75 mm, p = 0.049) and a reduced length of cannulated cancellous screw backout (mean: 3.4 mm vs 5.4 mm, p = 0.007) at the final follow-up. Fixation after reduction for severe valgus-impacted femoral neck fractures in patients aged 65 and above appears to be a safe and effective approach.</p>","PeriodicalId":49014,"journal":{"name":"Nagoya Journal of Medical Science","volume":"87 2","pages":"295-304"},"PeriodicalIF":0.9000,"publicationDate":"2025-05-01","publicationTypes":"Journal Article","fieldsOfStudy":null,"isOpenAccess":false,"openAccessPdf":"https://www.ncbi.nlm.nih.gov/pmc/articles/PMC12320319/pdf/","citationCount":"0","resultStr":null,"platform":"Semanticscholar","paperid":null,"PeriodicalName":"Nagoya Journal of Medical Science","FirstCategoryId":"3","ListUrlMain":"https://doi.org/10.18999/nagjms.87.2.295","RegionNum":4,"RegionCategory":"医学","ArticlePicture":[],"TitleCN":null,"AbstractTextCN":null,"PMCID":null,"EPubDate":"","PubModel":"","JCR":"Q4","JCRName":"MEDICINE, RESEARCH & EXPERIMENTAL","Score":null,"Total":0}
引用次数: 0

Abstract

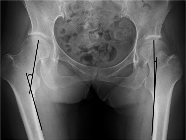
The objective of this study was to evaluate and compare the clinical and radiographic outcomes between in situ fixation and fixation after reduction of severe valgus-impacted femoral neck fractures in patients aged 65 years or older. This was a multicenter retrospective study of 561 patients who underwent open reduction and internal fixation for femoral neck fracture. From this population, we selected patients aged 65 years and older with severe valgus-impacted femoral neck fractures characterized by a Garden alignment index greater than 15 degrees compared to that on the non-injury side. After exclusion criteria were applied, the study included 92 patients who were categorized into two groups: in situ fixation group (n = 56) and fixation after reduction group (n = 36). Our analysis covered patient demographics, surgical details, postoperative complications, radiographic evaluations, Numeric Rating Scale for pain, and Parker's Mobility Score for clinical outcomes. Bone union was achieved in all patients. The incidence of avascular necrosis was consistent between the groups. Patients in the reduction group reported lower Numeric Rating Scale scores (mean: 0 vs 2, p = 0.003) and higher Parker's Mobility Score scores (mean: 7 vs 6, p = 0.009) compared with the in situ group. Radiographically, the reduction group showed significantly lower femoral neck shortening (mean: 4.75 mm vs 5.75 mm, p = 0.049) and a reduced length of cannulated cancellous screw backout (mean: 3.4 mm vs 5.4 mm, p = 0.007) at the final follow-up. Fixation after reduction for severe valgus-impacted femoral neck fractures in patients aged 65 and above appears to be a safe and effective approach.

Abstract Image

Abstract Image

Abstract Image

一项回顾性多中心(TRON组)研究:严重外翻冲击型股骨颈骨折的老年患者复位后原位固定和固定的比较结果
本研究的目的是评估和比较65岁及以上患者严重外翻冲击型股骨颈骨折复位后原位内固定和内固定的临床和影像学结果。这是一项多中心回顾性研究,561例股骨颈骨折患者接受切开复位内固定。从这一人群中,我们选择了年龄在65岁及以上的严重外翻撞击型股骨颈骨折患者,与未损伤侧相比,Garden对准指数大于15度。按照排除标准纳入92例患者,分为原位固定组(n = 56)和复位后固定组(n = 36)。我们的分析涵盖了患者的人口统计、手术细节、术后并发症、放射学评估、疼痛的数值评定量表和临床结果的帕克活动能力评分。所有患者均实现骨愈合。两组间无血管坏死发生率一致。与原位组相比,复位组患者报告较低的数值评定量表评分(平均:0比2,p = 0.003)和较高的帕克活动评分(平均:7比6,p = 0.009)。放射学上,复位组在最后随访时股骨颈缩短明显减少(平均:4.75 mm vs 5.75 mm, p = 0.049),空心松质螺钉后移长度减少(平均:3.4 mm vs 5.4 mm, p = 0.007)。65岁及以上患者严重外翻冲击型股骨颈骨折复位后内固定是一种安全有效的方法。
本文章由计算机程序翻译,如有差异,请以英文原文为准。
求助全文
约1分钟内获得全文 求助全文
来源期刊
Nagoya Journal of Medical Science
Nagoya Journal of Medical Science MEDICINE, RESEARCH & EXPERIMENTAL-
CiteScore
1.30
自引率
0.00%
发文量
65
审稿时长
>12 weeks
期刊介绍: The Journal publishes original papers in the areas of medical science and its related fields. Reviews, symposium reports, short communications, notes, case reports, hypothesis papers, medical image at a glance, video and announcements are also accepted. Manuscripts should be in English. It is recommended that an English check of the manuscript by a competent and knowledgeable native speaker be completed before submission.
×
引用
GB/T 7714-2015
复制
MLA
复制
APA
复制
导出至
BibTeX EndNote RefMan NoteFirst NoteExpress
×
提示
您的信息不完整,为了账户安全,请先补充。
现在去补充
×
提示
您因"违规操作"
具体请查看互助需知
我知道了
×
提示
确定
请完成安全验证×
copy
已复制链接
快去分享给好友吧!
我知道了
右上角分享
点击右上角分享
0
联系我们:info@booksci.cn Book学术提供免费学术资源搜索服务,方便国内外学者检索中英文文献。致力于提供最便捷和优质的服务体验。 Copyright © 2023 布克学术 All rights reserved.
京ICP备2023020795号-1
ghs 京公网安备 11010802042870号
Book学术文献互助
Book学术文献互助群
群 号:604180095
Book学术官方微信