Comparison of pharmacokinetic and pharmacodynamic properties of allopurinol and benzbromarone in a quail model of hyperuricemia.

IF 1.5 3区 农林科学 Q2 VETERINARY SCIENCES
ShaoJun Zheng, YaQin Bu, Sheng Li, NaiDong Chen
{"title":"Comparison of pharmacokinetic and pharmacodynamic properties of allopurinol and benzbromarone in a quail model of hyperuricemia.","authors":"ShaoJun Zheng, YaQin Bu, Sheng Li, NaiDong Chen","doi":"10.4142/jvs.24313","DOIUrl":null,"url":null,"abstract":"<p><strong>Importance: </strong>Hyperuricemia (HUA) is a major metabolic disorder in poultry, leading to gout and kidney damage, which affects farm productivity. Accordingly, understanding the pharmacodynamics (PD) and pharmacokinetics (PK) of uric acid-lowering drugs is essential for improving the treatment strategies in poultry.</p><p><strong>Objective: </strong>This study examined the PD and PK characteristics of allopurinol and benzbromarone, two uric acid-lowering drugs, in a quail model of HUA.</p><p><strong>Methods: </strong>A hyperuricemic quail model was established using a high-purine diet. Allopurinol and benzbromarone were administered orally. Blood samples were taken and analyzed for the drug concentrations using high-performance liquid chromatography. Pathological examinations were conducted to assess kidney damage.</p><p><strong>Results: </strong>Both drugs lowered the serum uric acid levels. On the other hand, the allopurinol treatment exhibited lower urea and creatinine levels than benzbromarone, indicating potential advantages in reducing kidney damage. Consistent with these findings, the pathological examinations revealed more pronounced kidney damage in the benzbromarone-treated group than in the allopurinol group. PK analysis showed that allopurinol exhibited faster absorption and elimination kinetics than benzbromarone. Both drugs showed a wide distribution in various tissues, with allopurinol and its active metabolite displaying higher excretion levels.</p><p><strong>Conclusions and relevance: </strong>This paper reports the absorption, distribution, metabolism, and excretion processes of allopurinol and benzbromarone in a quail model of HUA. These findings help better understand the PK characteristics of these drugs and promote the use of high uric acid therapy in poultry. In addition, this quail model is a valuable tool for future research on HUA and drug interventions.</p>","PeriodicalId":17557,"journal":{"name":"Journal of Veterinary Science","volume":"26 4","pages":"e34"},"PeriodicalIF":1.5000,"publicationDate":"2025-07-01","publicationTypes":"Journal Article","fieldsOfStudy":null,"isOpenAccess":false,"openAccessPdf":"https://www.ncbi.nlm.nih.gov/pmc/articles/PMC12329059/pdf/","citationCount":"0","resultStr":null,"platform":"Semanticscholar","paperid":null,"PeriodicalName":"Journal of Veterinary Science","FirstCategoryId":"97","ListUrlMain":"https://doi.org/10.4142/jvs.24313","RegionNum":3,"RegionCategory":"农林科学","ArticlePicture":[],"TitleCN":null,"AbstractTextCN":null,"PMCID":null,"EPubDate":"","PubModel":"","JCR":"Q2","JCRName":"VETERINARY SCIENCES","Score":null,"Total":0}
引用次数: 0

Abstract

Importance: Hyperuricemia (HUA) is a major metabolic disorder in poultry, leading to gout and kidney damage, which affects farm productivity. Accordingly, understanding the pharmacodynamics (PD) and pharmacokinetics (PK) of uric acid-lowering drugs is essential for improving the treatment strategies in poultry.

Objective: This study examined the PD and PK characteristics of allopurinol and benzbromarone, two uric acid-lowering drugs, in a quail model of HUA.

Methods: A hyperuricemic quail model was established using a high-purine diet. Allopurinol and benzbromarone were administered orally. Blood samples were taken and analyzed for the drug concentrations using high-performance liquid chromatography. Pathological examinations were conducted to assess kidney damage.

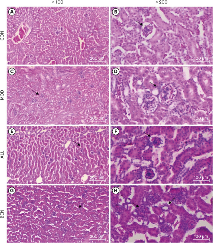
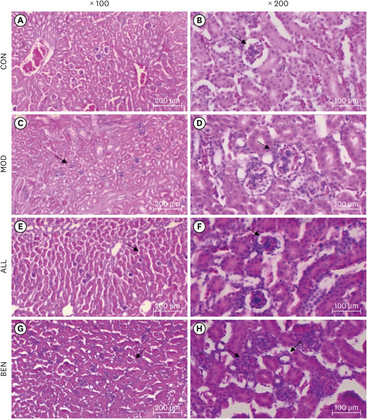
Results: Both drugs lowered the serum uric acid levels. On the other hand, the allopurinol treatment exhibited lower urea and creatinine levels than benzbromarone, indicating potential advantages in reducing kidney damage. Consistent with these findings, the pathological examinations revealed more pronounced kidney damage in the benzbromarone-treated group than in the allopurinol group. PK analysis showed that allopurinol exhibited faster absorption and elimination kinetics than benzbromarone. Both drugs showed a wide distribution in various tissues, with allopurinol and its active metabolite displaying higher excretion levels.

Conclusions and relevance: This paper reports the absorption, distribution, metabolism, and excretion processes of allopurinol and benzbromarone in a quail model of HUA. These findings help better understand the PK characteristics of these drugs and promote the use of high uric acid therapy in poultry. In addition, this quail model is a valuable tool for future research on HUA and drug interventions.

Abstract Image

Abstract Image

Abstract Image

Abstract Image

Abstract Image

Abstract Image

别嘌呤醇和苯溴马隆在高尿酸血症鹌鹑模型中的药动学和药效学比较。
重要性:高尿酸血症(HUA)是家禽的一种主要代谢紊乱,导致痛风和肾脏损伤,影响农场生产力。因此,了解降尿酸药物的药效学(PD)和药代动力学(PK)对于改善家禽的治疗策略至关重要。目的:研究别嘌呤醇和苯溴马隆两种降尿酸药物在HUA鹌鹑模型中的PD和PK特性。方法:采用高嘌呤日粮建立高尿酸血症鹌鹑模型。口服别嘌呤醇和苯溴马龙。采集血样,用高效液相色谱法分析药物浓度。病理检查评估肾脏损害。结果:两种药物均能降低血清尿酸水平。另一方面,别嘌呤醇治疗的尿素和肌酐水平低于苯溴马隆,表明其在减轻肾损害方面具有潜在优势。与这些发现一致,病理检查显示苯溴马龙治疗组比别嘌呤醇组更明显的肾损害。PK分析表明别嘌呤醇比苯溴马龙具有更快的吸收和消除动力学。两种药物在各组织中分布广泛,别嘌呤醇及其活性代谢物的排泄水平较高。结论及意义:本文报道了别嘌呤醇和苯溴马隆在HUA鹌鹑模型中的吸收、分布、代谢和排泄过程。这些发现有助于更好地了解这些药物的PK特性,并促进高尿酸疗法在家禽中的应用。此外,该鹌鹑模型为未来HUA和药物干预研究提供了有价值的工具。
本文章由计算机程序翻译,如有差异,请以英文原文为准。
求助全文
约1分钟内获得全文 求助全文
来源期刊
Journal of Veterinary Science
Journal of Veterinary Science 农林科学-兽医学
CiteScore
3.10
自引率
5.60%
发文量
86
审稿时长
1.3 months
期刊介绍: The Journal of Veterinary Science (J Vet Sci) is devoted to the advancement and dissemination of scientific knowledge concerning veterinary sciences and related academic disciplines. It is an international journal indexed in the Thomson Scientific Web of Science, SCI-EXPANDED, Sci Search, BIOSIS Previews, Biological Abstracts, Focus on: Veterinary Science & Medicine, Zoological Record, PubMed /MEDLINE, Index Medicus, Pubmed Central, CAB Abstracts / Index Veterinarius, EBSCO, AGRIS and AGRICOLA. This journal published in English by the Korean Society of Veterinary Science (KSVS) being distributed worldwide.
×
引用
GB/T 7714-2015
复制
MLA
复制
APA
复制
导出至
BibTeX EndNote RefMan NoteFirst NoteExpress
×
提示
您的信息不完整,为了账户安全,请先补充。
现在去补充
×
提示
您因"违规操作"
具体请查看互助需知
我知道了
×
提示
确定
请完成安全验证×
copy
已复制链接
快去分享给好友吧!
我知道了
右上角分享
点击右上角分享
0
联系我们:info@booksci.cn Book学术提供免费学术资源搜索服务,方便国内外学者检索中英文文献。致力于提供最便捷和优质的服务体验。 Copyright © 2023 布克学术 All rights reserved.
京ICP备2023020795号-1
ghs 京公网安备 11010802042870号
Book学术文献互助
Book学术文献互助群
群 号:604180095
Book学术官方微信