Sitosterolemia carrying both ABCG5 and HBA gene mutations: a case report and review of the literature.

IF 0.8 Q3 MEDICINE, GENERAL & INTERNAL
Xiaobing Sun, Jiong Wu, Pu Chen, Ruiqing He, Ting Li, Qingwen Zeng, Qi Hou
{"title":"Sitosterolemia carrying both ABCG5 and HBA gene mutations: a case report and review of the literature.","authors":"Xiaobing Sun, Jiong Wu, Pu Chen, Ruiqing He, Ting Li, Qingwen Zeng, Qi Hou","doi":"10.1186/s13256-025-05439-0","DOIUrl":null,"url":null,"abstract":"<p><strong>Background: </strong>Mutations in the ABCG5 gene can cause sitosterolemia, which is a rare lipid metabolism disorder characterized by impaired regulation of phytosterols, leading to their excessive accumulation in tissues and organs, which triggers various complications. If left untreated, it may cause serious issues, often presenting first as xanthomas on the skin and other tissues.</p><p><strong>Case presentation: </strong>A 9-year-old female Chinese Zhuang patient developed her first xanthomas on her knees at the age of 4, which progressively spread across her body over the years. Initial blood tests revealed elevated plasma cholesterol and low-density lipoprotein, and she was misdiagnosed with familial hypercholesterolemia, leading to ineffective treatment. Despite visiting several hospitals, the underlying cause remained unidentified, and the patient was eventually admitted to our hospital for further evaluation. The complete blood count showed mild hypochromic microcytic anemia and blood smears showed microcytic hypochromic anemia and the presence of giant platelets in the peripheral blood. Plasma phytosterol profiling revealed significantly elevated phytosterol levels, and whole exome sequencing detected a homozygous mutation in the ABCG5 gene (c.751C > T, p.Q251*). On the basis of these findings, the patient was diagnosed with sitosterolemia. Her parents and younger brother were found to carry the heterozygous mutation but exhibited no clinical symptoms. In addition, iron metabolism tests and DNA copy number multidetection technology, along with single nucleotide polymorphism typing, revealed that the patient also had a silent alpha-thalassemia trait (genotype: HBA, -α3.7/αα).</p><p><strong>Conclusion: </strong>Sitosterolemia is a rare lipid metabolism disorder that should be considered in patients presenting with multiple xanthomas, severe hypercholesterolemia, or elevated low-density lipoprotein-cholesterol levels. Diagnosis can be confirmed through phytosterol detection and molecular testing. Early diagnosis allows for dietary recommendations-such as restricting cholesterol and phytosterol intake-and, if necessary, treatment with medications such as ezetimibe. As we know, alpha-thalassemia is able to cause microcytosis and phytosterolemia may cause stomatocytosis in peripheral blood. However, there are no reports of two gene mutations occurring simultaneously in the same individual, and no stomatocytosis was observed in our patient. Hence, this suggests that the mutual regulation of two diseases and the effects on red blood cell membranes may exist, and the underlying mechanisms of this phenomenon are valuable for further research.</p>","PeriodicalId":16236,"journal":{"name":"Journal of Medical Case Reports","volume":"19 1","pages":"387"},"PeriodicalIF":0.8000,"publicationDate":"2025-08-05","publicationTypes":"Journal Article","fieldsOfStudy":null,"isOpenAccess":false,"openAccessPdf":"https://www.ncbi.nlm.nih.gov/pmc/articles/PMC12323034/pdf/","citationCount":"0","resultStr":null,"platform":"Semanticscholar","paperid":null,"PeriodicalName":"Journal of Medical Case Reports","FirstCategoryId":"1085","ListUrlMain":"https://doi.org/10.1186/s13256-025-05439-0","RegionNum":0,"RegionCategory":null,"ArticlePicture":[],"TitleCN":null,"AbstractTextCN":null,"PMCID":null,"EPubDate":"","PubModel":"","JCR":"Q3","JCRName":"MEDICINE, GENERAL & INTERNAL","Score":null,"Total":0}
引用次数: 0

Abstract

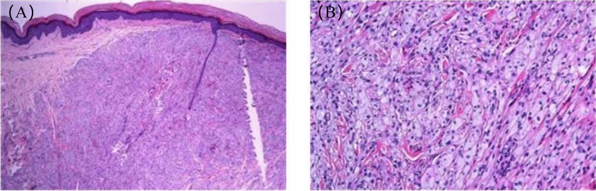
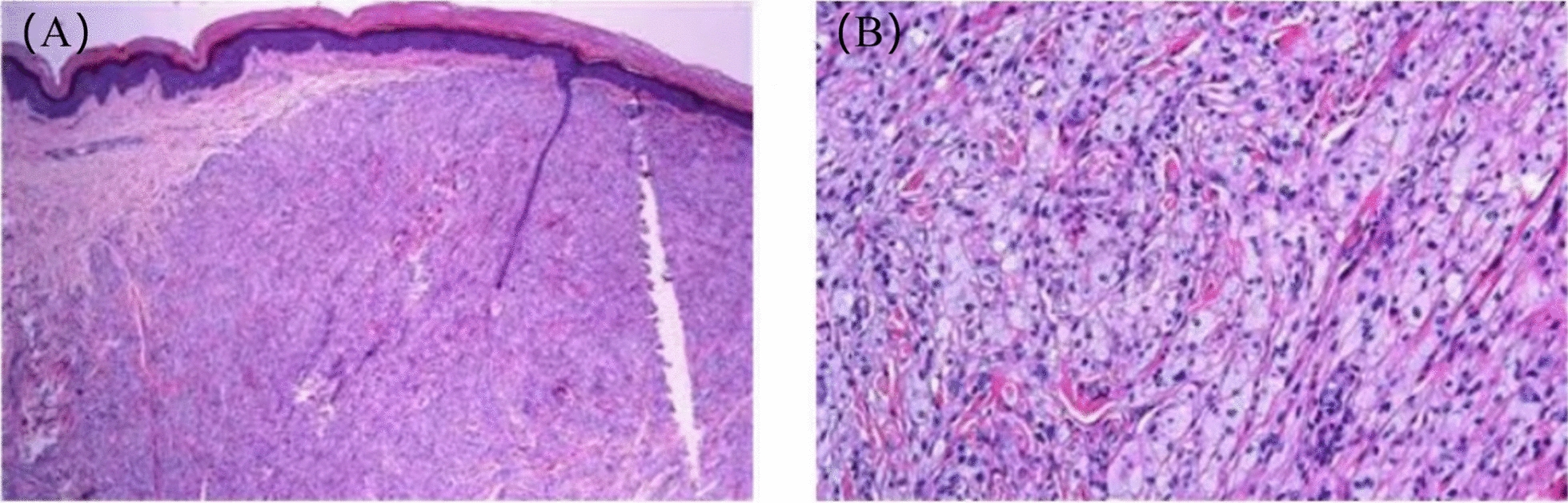
Background: Mutations in the ABCG5 gene can cause sitosterolemia, which is a rare lipid metabolism disorder characterized by impaired regulation of phytosterols, leading to their excessive accumulation in tissues and organs, which triggers various complications. If left untreated, it may cause serious issues, often presenting first as xanthomas on the skin and other tissues.

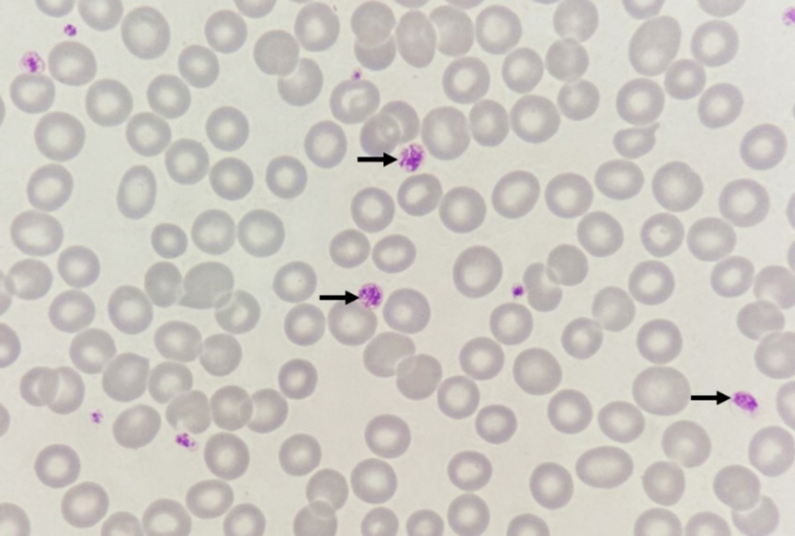
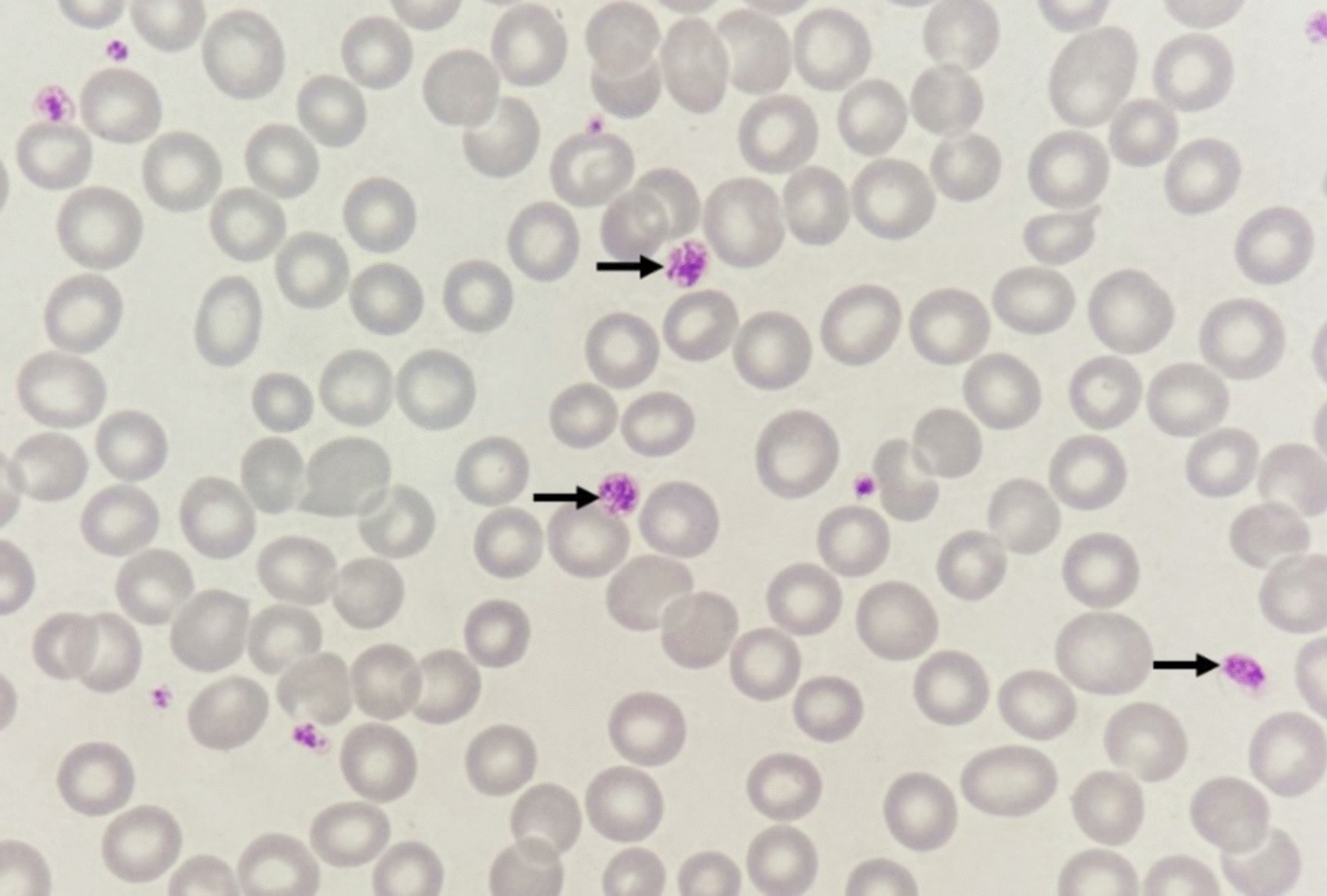
Case presentation: A 9-year-old female Chinese Zhuang patient developed her first xanthomas on her knees at the age of 4, which progressively spread across her body over the years. Initial blood tests revealed elevated plasma cholesterol and low-density lipoprotein, and she was misdiagnosed with familial hypercholesterolemia, leading to ineffective treatment. Despite visiting several hospitals, the underlying cause remained unidentified, and the patient was eventually admitted to our hospital for further evaluation. The complete blood count showed mild hypochromic microcytic anemia and blood smears showed microcytic hypochromic anemia and the presence of giant platelets in the peripheral blood. Plasma phytosterol profiling revealed significantly elevated phytosterol levels, and whole exome sequencing detected a homozygous mutation in the ABCG5 gene (c.751C > T, p.Q251*). On the basis of these findings, the patient was diagnosed with sitosterolemia. Her parents and younger brother were found to carry the heterozygous mutation but exhibited no clinical symptoms. In addition, iron metabolism tests and DNA copy number multidetection technology, along with single nucleotide polymorphism typing, revealed that the patient also had a silent alpha-thalassemia trait (genotype: HBA, -α3.7/αα).

Conclusion: Sitosterolemia is a rare lipid metabolism disorder that should be considered in patients presenting with multiple xanthomas, severe hypercholesterolemia, or elevated low-density lipoprotein-cholesterol levels. Diagnosis can be confirmed through phytosterol detection and molecular testing. Early diagnosis allows for dietary recommendations-such as restricting cholesterol and phytosterol intake-and, if necessary, treatment with medications such as ezetimibe. As we know, alpha-thalassemia is able to cause microcytosis and phytosterolemia may cause stomatocytosis in peripheral blood. However, there are no reports of two gene mutations occurring simultaneously in the same individual, and no stomatocytosis was observed in our patient. Hence, this suggests that the mutual regulation of two diseases and the effects on red blood cell membranes may exist, and the underlying mechanisms of this phenomenon are valuable for further research.

Abstract Image

Abstract Image

Abstract Image

Abstract Image

Abstract Image

Abstract Image

携带ABCG5和HBA基因突变的谷固醇血症:一例报告和文献回顾。
背景:ABCG5基因突变可引起谷甾醇血症,这是一种罕见的脂质代谢紊乱,其特征是植物甾醇的调节受损,导致其在组织和器官中过度积累,从而引发各种并发症。如果不及时治疗,它可能会导致严重的问题,通常首先表现为皮肤和其他组织上的黄瘤。病例介绍:一名9岁的中国壮族女患者在4岁时出现了她的第一个膝盖黄瘤,随着时间的推移逐渐扩散到她的全身。最初的血液检查显示血浆胆固醇和低密度脂蛋白升高,她被误诊为家族性高胆固醇血症,导致治疗无效。尽管去了几家医院,但根本原因仍未确定,患者最终被送往我们医院进行进一步评估。全血细胞计数显示轻度低色性小细胞性贫血,血涂片显示小细胞性低色性贫血,外周血中存在巨血小板。血浆植物甾醇分析显示植物甾醇水平显著升高,全外显子组测序检测到ABCG5基因纯合突变(c.751C > T, p.Q251*)。根据这些发现,患者被诊断为谷固醇血症。她的父母和弟弟被发现携带杂合突变,但没有表现出临床症状。此外,铁代谢试验和DNA拷贝数多重检测技术以及单核苷酸多态性分型显示患者还具有沉默型α -地中海贫血特征(基因型:HBA, -α3.7/αα)。结论:谷甾醇血症是一种罕见的脂质代谢紊乱,在出现多发性黄瘤、严重高胆固醇血症或低密度脂蛋白-胆固醇水平升高的患者中应予以考虑。可通过植物甾醇检测和分子检测确诊。早期诊断可以提供饮食建议——比如限制胆固醇和植物固醇的摄入——如果有必要,还可以使用依折麦布等药物进行治疗。我们知道,地中海贫血可引起小细胞增多症,植物甾醇血症可引起外周血口细胞增多症。然而,没有两种基因突变在同一个体中同时发生的报道,并且在我们的患者中没有观察到口细胞增生。因此,这表明两种疾病可能存在相互调节和对红细胞膜的影响,其潜在机制值得进一步研究。
本文章由计算机程序翻译,如有差异,请以英文原文为准。
求助全文
约1分钟内获得全文 求助全文
来源期刊
Journal of Medical Case Reports
Journal of Medical Case Reports Medicine-Medicine (all)
CiteScore
1.50
自引率
0.00%
发文量
436
期刊介绍: JMCR is an open access, peer-reviewed online journal that will consider any original case report that expands the field of general medical knowledge. Reports should show one of the following: 1. Unreported or unusual side effects or adverse interactions involving medications 2. Unexpected or unusual presentations of a disease 3. New associations or variations in disease processes 4. Presentations, diagnoses and/or management of new and emerging diseases 5. An unexpected association between diseases or symptoms 6. An unexpected event in the course of observing or treating a patient 7. Findings that shed new light on the possible pathogenesis of a disease or an adverse effect
×
引用
GB/T 7714-2015
复制
MLA
复制
APA
复制
导出至
BibTeX EndNote RefMan NoteFirst NoteExpress
×
提示
您的信息不完整,为了账户安全,请先补充。
现在去补充
×
提示
您因"违规操作"
具体请查看互助需知
我知道了
×
提示
确定
请完成安全验证×
copy
已复制链接
快去分享给好友吧!
我知道了
右上角分享
点击右上角分享
0
联系我们:info@booksci.cn Book学术提供免费学术资源搜索服务,方便国内外学者检索中英文文献。致力于提供最便捷和优质的服务体验。 Copyright © 2023 布克学术 All rights reserved.
京ICP备2023020795号-1
ghs 京公网安备 11010802042870号
Book学术文献互助
Book学术文献互助群
群 号:604180095
Book学术官方微信