Rhombencephalitis associated with varicella-zoster virus masquerading as Guillain-Barré syndrome.

IF 2.2 3区 医学 Q3 CLINICAL NEUROLOGY
Khaloud Al Shaaibi, Vorakamol Phoophiboon, Karen E A Burns
{"title":"Rhombencephalitis associated with varicella-zoster virus masquerading as Guillain-Barré syndrome.","authors":"Khaloud Al Shaaibi, Vorakamol Phoophiboon, Karen E A Burns","doi":"10.1186/s12883-025-04245-x","DOIUrl":null,"url":null,"abstract":"<p><strong>Background: </strong>Although rare, rhombencephalitis or inflammation of the brainstem and cerebellum has significantly associated morbidity and mortality.</p><p><strong>Clinical features: </strong>We describe the case of a 64-year-old previously healthy, immunocompetent man who presented with acute bulbar symptoms (difficulty swallowing, change in phonation, and drooling). His symptoms progressed in severity and he ultimately required intubation due to declining lung function and inability to manage his secretions. Clinical examination revealed bulbar dysfunction without involvement of other cranial nerves. A lumbar puncture revealed albuminocytological dissociation: elevated protein (9.8 g/L), nonerythroid cell count (13 cells/µL) with predominantly lymphocytic count. He received a five-day course of intravenous immunoglobulin for presumed Guillain-Barré syndrome. Initial magnetic resonance imaging (MRI) showed mild microangiopathic changes in the brain with no parenchymal, leptomeningeal, or cranial nerve enhancement. Cerebrospinal fluid (CSF) analysis was positive for varicella zoster virus (VZV). He was treated with intravenous Acyclovir 10 mg/kg three times daily for 14 days with no initial improvement and underwent a tracheostomy. Subsequent MRI was consistent with rhombencephalitis.</p><p><strong>Conclusions: </strong>VZV rhombencephalitis with cranial neuropathies represents a rare and potentially fatal condition. Early recognition and investigation with lumbar puncture and imaging are critical for establishing the diagnosis and initiating treatment.</p>","PeriodicalId":9170,"journal":{"name":"BMC Neurology","volume":"25 1","pages":"324"},"PeriodicalIF":2.2000,"publicationDate":"2025-08-05","publicationTypes":"Journal Article","fieldsOfStudy":null,"isOpenAccess":false,"openAccessPdf":"https://www.ncbi.nlm.nih.gov/pmc/articles/PMC12323041/pdf/","citationCount":"0","resultStr":null,"platform":"Semanticscholar","paperid":null,"PeriodicalName":"BMC Neurology","FirstCategoryId":"3","ListUrlMain":"https://doi.org/10.1186/s12883-025-04245-x","RegionNum":3,"RegionCategory":"医学","ArticlePicture":[],"TitleCN":null,"AbstractTextCN":null,"PMCID":null,"EPubDate":"","PubModel":"","JCR":"Q3","JCRName":"CLINICAL NEUROLOGY","Score":null,"Total":0}
引用次数: 0

Abstract

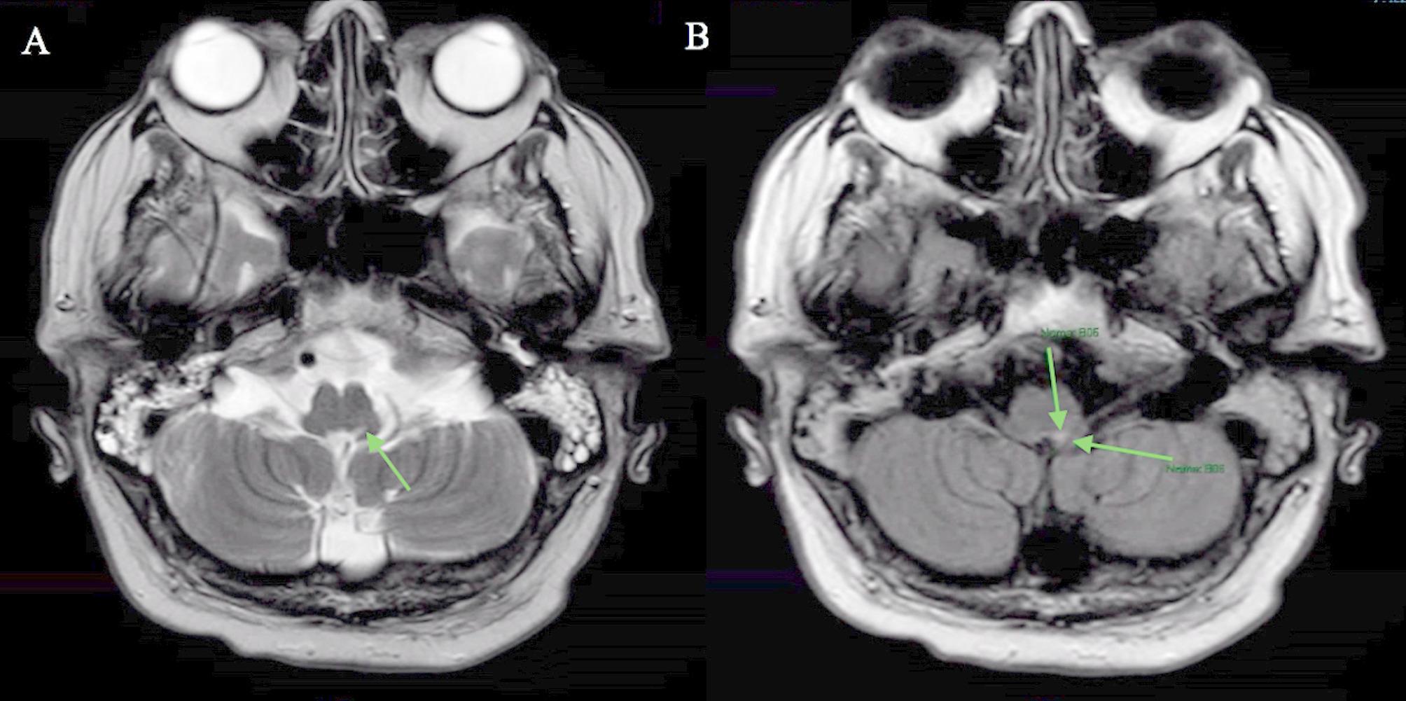
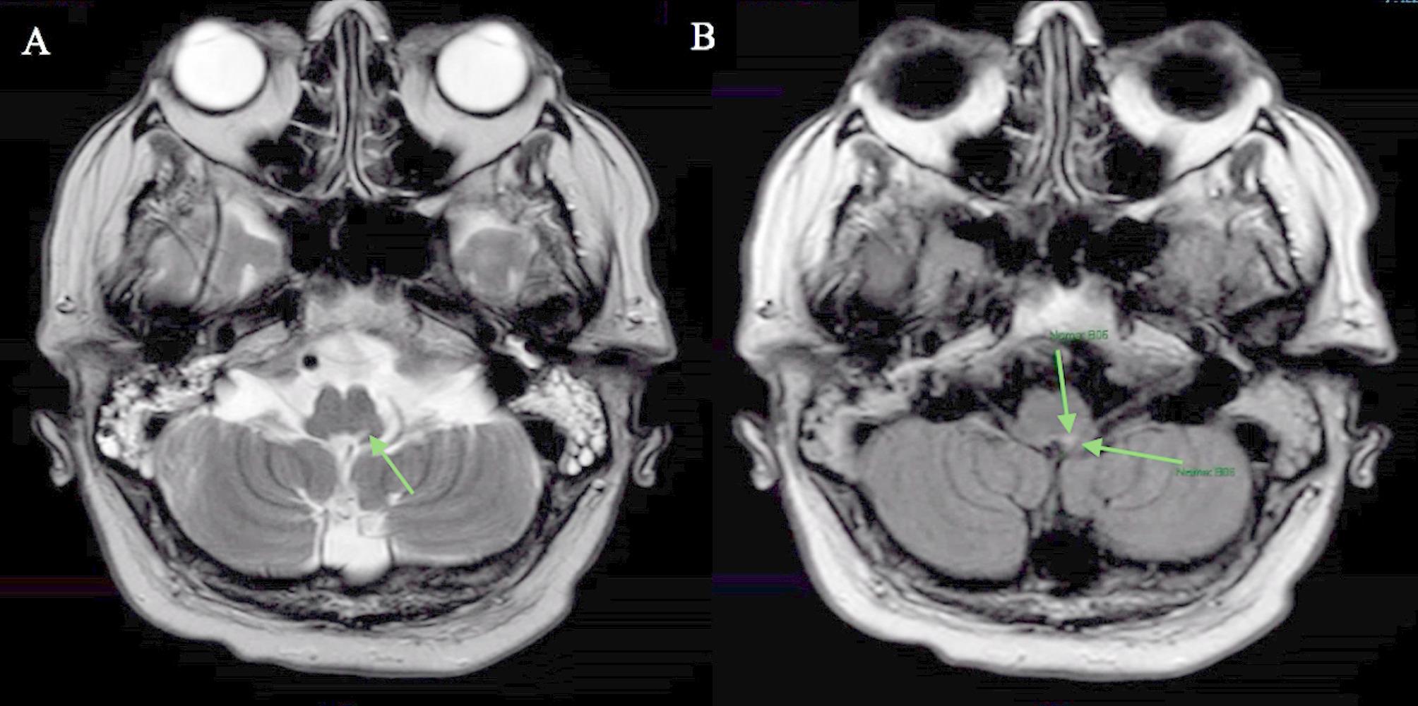
Background: Although rare, rhombencephalitis or inflammation of the brainstem and cerebellum has significantly associated morbidity and mortality.

Clinical features: We describe the case of a 64-year-old previously healthy, immunocompetent man who presented with acute bulbar symptoms (difficulty swallowing, change in phonation, and drooling). His symptoms progressed in severity and he ultimately required intubation due to declining lung function and inability to manage his secretions. Clinical examination revealed bulbar dysfunction without involvement of other cranial nerves. A lumbar puncture revealed albuminocytological dissociation: elevated protein (9.8 g/L), nonerythroid cell count (13 cells/µL) with predominantly lymphocytic count. He received a five-day course of intravenous immunoglobulin for presumed Guillain-Barré syndrome. Initial magnetic resonance imaging (MRI) showed mild microangiopathic changes in the brain with no parenchymal, leptomeningeal, or cranial nerve enhancement. Cerebrospinal fluid (CSF) analysis was positive for varicella zoster virus (VZV). He was treated with intravenous Acyclovir 10 mg/kg three times daily for 14 days with no initial improvement and underwent a tracheostomy. Subsequent MRI was consistent with rhombencephalitis.

Conclusions: VZV rhombencephalitis with cranial neuropathies represents a rare and potentially fatal condition. Early recognition and investigation with lumbar puncture and imaging are critical for establishing the diagnosis and initiating treatment.

Abstract Image

Abstract Image

菱形脑炎与伪装成格林-巴-罗综合征的水痘-带状疱疹病毒有关。
背景:脑干和小脑的菱形脑炎或炎症虽然罕见,但其发病率和死亡率显著相关。临床特征:我们描述了一个64岁的健康,免疫功能正常的男性,他表现出急性球症状(吞咽困难,发音改变和流口水)。他的症状越来越严重,由于肺功能下降和无法控制分泌物,他最终需要插管。临床检查显示球功能障碍,未累及其他脑神经。腰椎穿刺显示白蛋白细胞分离:蛋白升高(9.8 g/L),非红细胞计数(13个细胞/µL)以淋巴细胞计数为主。他接受了为期5天的静脉注射免疫球蛋白治疗,疑似为格林-巴-罗综合征。最初的磁共振成像(MRI)显示轻度微血管病变的大脑,没有实质,脑膜薄,或颅神经增强。脑脊液水痘带状疱疹病毒(VZV)检测呈阳性。患者接受静脉注射阿昔洛韦(10mg /kg,每日3次)治疗,持续14天,未见初步改善,并接受了气管切开术。随后的MRI显示为菱形脑炎。结论:VZV菱形脑炎伴颅脑神经病变是一种罕见且可能致命的疾病。通过腰椎穿刺和影像学的早期识别和调查对于确定诊断和开始治疗至关重要。
本文章由计算机程序翻译,如有差异,请以英文原文为准。
求助全文
约1分钟内获得全文 求助全文
来源期刊
BMC Neurology
BMC Neurology 医学-临床神经学
CiteScore
4.20
自引率
0.00%
发文量
428
审稿时长
3-8 weeks
期刊介绍: BMC Neurology is an open access, peer-reviewed journal that considers articles on all aspects of the prevention, diagnosis and management of neurological disorders, as well as related molecular genetics, pathophysiology, and epidemiology.
×
引用
GB/T 7714-2015
复制
MLA
复制
APA
复制
导出至
BibTeX EndNote RefMan NoteFirst NoteExpress
×
提示
您的信息不完整,为了账户安全,请先补充。
现在去补充
×
提示
您因"违规操作"
具体请查看互助需知
我知道了
×
提示
确定
请完成安全验证×
copy
已复制链接
快去分享给好友吧!
我知道了
右上角分享
点击右上角分享
0
联系我们:info@booksci.cn Book学术提供免费学术资源搜索服务,方便国内外学者检索中英文文献。致力于提供最便捷和优质的服务体验。 Copyright © 2023 布克学术 All rights reserved.
京ICP备2023020795号-1
ghs 京公网安备 11010802042870号
Book学术文献互助
Book学术文献互助群
群 号:604180095
Book学术官方微信