Augmented Reality in Temporomandibular Joint Arthrocentesis - An Evaluative Clinical Study.

Q2 Dentistry
Annals of Maxillofacial Surgery Pub Date : 2025-01-01 Epub Date: 2025-04-29 DOI:10.4103/ams.ams_45_24
Jigna S Shah, Manish K Poojary
{"title":"Augmented Reality in Temporomandibular Joint Arthrocentesis - An Evaluative Clinical Study.","authors":"Jigna S Shah, Manish K Poojary","doi":"10.4103/ams.ams_45_24","DOIUrl":null,"url":null,"abstract":"<p><strong>Introduction: </strong>Augmented reality (AR) combines computer-generated images, audios and videos on a screen with real-life scenes. Arthrocentesis is the lavage of the temporomandibular joint (TMJ) using sterile needles and sterile irrigants which requires precise puncture by a needle to the upper joint compartment. The aim of the study was to develop an AR system to identify the puncture point for TMJ arthrocentesis with direct access to the upper compartment of the joint.</p><p><strong>Materials and methods: </strong>Two cases diagnosed with chronic recurrent dislocation of TMJ were selected for the study. A three-dimensional virtual model was reconstructed from cone-beam computed tomography (CBCT) images of a patient. The AR visualisation was created by developing an Android app which superimposed the virtual model and the TMJ in real time. The skin puncture point was marked on the skin, and the needle was guided to the upper compartment of the joint using this superimposed view to perform TMJ arthrocentesis.</p><p><strong>Results: </strong>Puncture with the AR method was successful in both the cases with direct access to the upper compartment of TMJ. Pain had reduced completely in both cases during 30- and 60-day follow-up periods; maximum mouth opening had reduced by an average of 4.33 mm after 60 days postoperatively, and clicking sound was completely absent after 14-day follow-up period.</p><p><strong>Discussion: </strong>AR could potentially enhance the accuracy and effectiveness of TMJ arthrocentesis by providing precise needle guidance and reducing the need for multiple punctures. However, the limitations must be addressed as well.</p>","PeriodicalId":7972,"journal":{"name":"Annals of Maxillofacial Surgery","volume":"15 1","pages":"78-82"},"PeriodicalIF":0.0000,"publicationDate":"2025-01-01","publicationTypes":"Journal Article","fieldsOfStudy":null,"isOpenAccess":false,"openAccessPdf":"https://www.ncbi.nlm.nih.gov/pmc/articles/PMC12321183/pdf/","citationCount":"0","resultStr":null,"platform":"Semanticscholar","paperid":null,"PeriodicalName":"Annals of Maxillofacial Surgery","FirstCategoryId":"1085","ListUrlMain":"https://doi.org/10.4103/ams.ams_45_24","RegionNum":0,"RegionCategory":null,"ArticlePicture":[],"TitleCN":null,"AbstractTextCN":null,"PMCID":null,"EPubDate":"2025/4/29 0:00:00","PubModel":"Epub","JCR":"Q2","JCRName":"Dentistry","Score":null,"Total":0}
引用次数: 0

Abstract

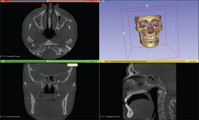
Introduction: Augmented reality (AR) combines computer-generated images, audios and videos on a screen with real-life scenes. Arthrocentesis is the lavage of the temporomandibular joint (TMJ) using sterile needles and sterile irrigants which requires precise puncture by a needle to the upper joint compartment. The aim of the study was to develop an AR system to identify the puncture point for TMJ arthrocentesis with direct access to the upper compartment of the joint.

Materials and methods: Two cases diagnosed with chronic recurrent dislocation of TMJ were selected for the study. A three-dimensional virtual model was reconstructed from cone-beam computed tomography (CBCT) images of a patient. The AR visualisation was created by developing an Android app which superimposed the virtual model and the TMJ in real time. The skin puncture point was marked on the skin, and the needle was guided to the upper compartment of the joint using this superimposed view to perform TMJ arthrocentesis.

Results: Puncture with the AR method was successful in both the cases with direct access to the upper compartment of TMJ. Pain had reduced completely in both cases during 30- and 60-day follow-up periods; maximum mouth opening had reduced by an average of 4.33 mm after 60 days postoperatively, and clicking sound was completely absent after 14-day follow-up period.

Discussion: AR could potentially enhance the accuracy and effectiveness of TMJ arthrocentesis by providing precise needle guidance and reducing the need for multiple punctures. However, the limitations must be addressed as well.

Abstract Image

Abstract Image

Abstract Image

增强现实在颞下颌关节置换术中的应用-一项评估性临床研究。
简介:增强现实(AR)将计算机生成的图像、音频和视频在屏幕上与现实场景相结合。关节穿刺是使用无菌针和无菌冲洗液对颞下颌关节(TMJ)进行灌洗,需要用针精确穿刺到关节上腔室。本研究的目的是开发一种AR系统,以确定直接进入关节上腔室的TMJ关节穿刺点。材料与方法:选择2例诊断为慢性复发性TMJ脱位的患者进行研究。利用锥束计算机断层扫描(CBCT)图像重建了一个三维虚拟模型。AR可视化是通过开发一个Android应用程序创建的,该应用程序实时叠加虚拟模型和TMJ。在皮肤上标记皮肤穿刺点,并使用此叠加视图将针头引导至关节上腔室进行TMJ关节穿刺。结果:直接进入TMJ上腔室的AR穿刺均成功。在30天和60天的随访期间,两例患者的疼痛均完全减轻;术后60 d最大开口平均缩小4.33 mm,随访14 d完全消失咔嗒声。讨论:AR可以通过提供精确的针头引导和减少多次穿刺的需要,潜在地提高TMJ关节穿刺的准确性和有效性。然而,也必须解决这些限制。
本文章由计算机程序翻译,如有差异,请以英文原文为准。
求助全文
约1分钟内获得全文 求助全文
来源期刊
CiteScore
1.20
自引率
0.00%
发文量
26
×
引用
GB/T 7714-2015
复制
MLA
复制
APA
复制
导出至
BibTeX EndNote RefMan NoteFirst NoteExpress
×
提示
您的信息不完整,为了账户安全,请先补充。
现在去补充
×
提示
您因"违规操作"
具体请查看互助需知
我知道了
×
提示
确定
请完成安全验证×
copy
已复制链接
快去分享给好友吧!
我知道了
右上角分享
点击右上角分享
0
联系我们:info@booksci.cn Book学术提供免费学术资源搜索服务,方便国内外学者检索中英文文献。致力于提供最便捷和优质的服务体验。 Copyright © 2023 布克学术 All rights reserved.
京ICP备2023020795号-1
ghs 京公网安备 11010802042870号
Book学术文献互助
Book学术文献互助群
群 号:604180095
Book学术官方微信