Bronchial stent implantation in patient with bronchial obstruction caused by pulmonary mucormycosis: a case report.

IF 0.7 Q3 MEDICINE, GENERAL & INTERNAL
AME Case Reports Pub Date : 2025-05-07 eCollection Date: 2025-01-01 DOI:10.21037/acr-24-277
Dongrun Xin, Chuanyong Mu
{"title":"Bronchial stent implantation in patient with bronchial obstruction caused by pulmonary mucormycosis: a case report.","authors":"Dongrun Xin, Chuanyong Mu","doi":"10.21037/acr-24-277","DOIUrl":null,"url":null,"abstract":"<p><strong>Background: </strong>Pulmonary mucormycosis (PM) is an acute suppurative lung disease caused by any fungus in the order Mucorales. PM is characterized by its propensity for vascular invasion, rapid progression, and destructiveness, leading to a high mortality rate.</p><p><strong>Case description: </strong>A 39-year-old male patient was diagnosed with PM and complicated by bronchial obstruction. Although surgical debridement of mucormycosis and antifungal therapy are generally preferred treatment, our patient presented with a high burden of invasive disease and was deemed ineligible for surgery. We therefore had to compromise and palliate his bronchial obstruction with a bronchial stent while continuing intravenous, nebulized, and bronchoscopically applied antifungals. The intervention markedly alleviated the patient's symptoms of chest tightness and dyspnea. However, given the advanced stage at presentation, the prognosis was already poor. Despite these measures, the aggressive underlying infection continued to progress, ultimately leading to erosion into a major vessel and catastrophic hemoptysis.</p><p><strong>Conclusions: </strong>The implantation of bronchial stents in patients with PM can effectively alleviate severe bronchial obstruction caused by mucormycosis infection, improve pus drainage, and promote infection resolution. However, as a complete surgical resection of the lesion was not performed, the patient remains at risk of potentially catastrophic hemoptysis due to the possibility of pulmonary vascular invasion by mucormycosis. The potential increase in hemoptysis risk associated with stent implantation warrants further investigation.</p>","PeriodicalId":29752,"journal":{"name":"AME Case Reports","volume":"9 ","pages":"74"},"PeriodicalIF":0.7000,"publicationDate":"2025-05-07","publicationTypes":"Journal Article","fieldsOfStudy":null,"isOpenAccess":false,"openAccessPdf":"https://www.ncbi.nlm.nih.gov/pmc/articles/PMC12319607/pdf/","citationCount":"0","resultStr":null,"platform":"Semanticscholar","paperid":null,"PeriodicalName":"AME Case Reports","FirstCategoryId":"1085","ListUrlMain":"https://doi.org/10.21037/acr-24-277","RegionNum":0,"RegionCategory":null,"ArticlePicture":[],"TitleCN":null,"AbstractTextCN":null,"PMCID":null,"EPubDate":"2025/1/1 0:00:00","PubModel":"eCollection","JCR":"Q3","JCRName":"MEDICINE, GENERAL & INTERNAL","Score":null,"Total":0}
引用次数: 0

Abstract

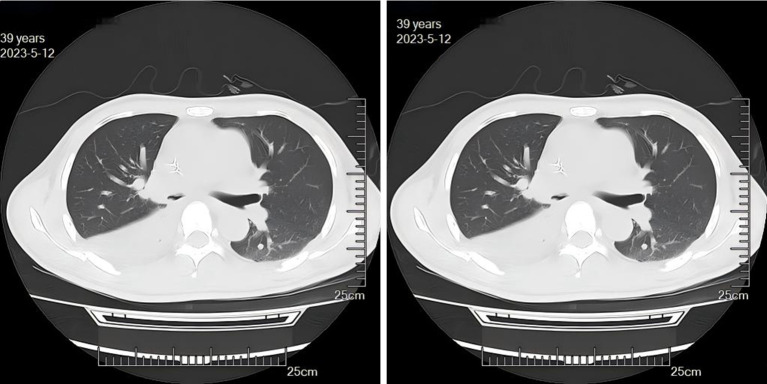
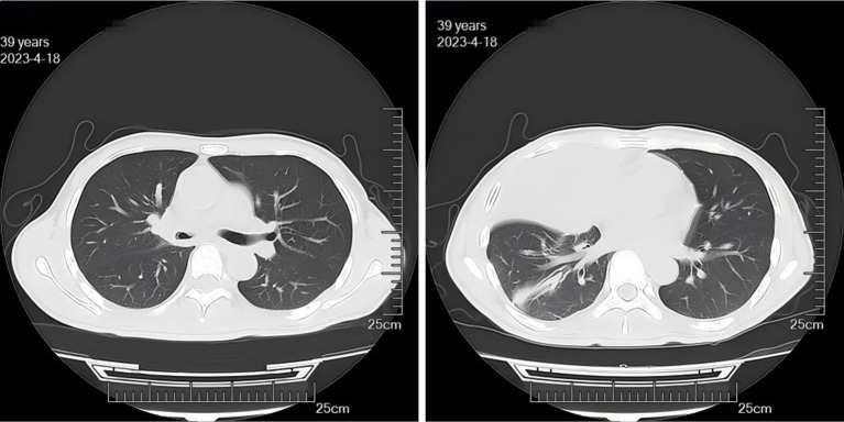
Background: Pulmonary mucormycosis (PM) is an acute suppurative lung disease caused by any fungus in the order Mucorales. PM is characterized by its propensity for vascular invasion, rapid progression, and destructiveness, leading to a high mortality rate.

Case description: A 39-year-old male patient was diagnosed with PM and complicated by bronchial obstruction. Although surgical debridement of mucormycosis and antifungal therapy are generally preferred treatment, our patient presented with a high burden of invasive disease and was deemed ineligible for surgery. We therefore had to compromise and palliate his bronchial obstruction with a bronchial stent while continuing intravenous, nebulized, and bronchoscopically applied antifungals. The intervention markedly alleviated the patient's symptoms of chest tightness and dyspnea. However, given the advanced stage at presentation, the prognosis was already poor. Despite these measures, the aggressive underlying infection continued to progress, ultimately leading to erosion into a major vessel and catastrophic hemoptysis.

Conclusions: The implantation of bronchial stents in patients with PM can effectively alleviate severe bronchial obstruction caused by mucormycosis infection, improve pus drainage, and promote infection resolution. However, as a complete surgical resection of the lesion was not performed, the patient remains at risk of potentially catastrophic hemoptysis due to the possibility of pulmonary vascular invasion by mucormycosis. The potential increase in hemoptysis risk associated with stent implantation warrants further investigation.

Abstract Image

Abstract Image

Abstract Image

支气管支架置入术治疗肺毛霉病所致支气管梗阻1例。
背景:肺粘膜真菌病(PM)是由任何一种真菌引起的急性化脓性肺部疾病。PM的特点是其倾向于血管侵入,快速进展和破坏性,导致高死亡率。病例描述:一名39岁男性患者被诊断为PM并合并支气管阻塞。虽然毛霉菌病的手术清创和抗真菌治疗通常是首选的治疗方法,但我们的患者呈现出侵袭性疾病的高负担,被认为不适合手术。因此,我们不得不妥协和缓解他的支气管阻塞,支气管支架,同时继续静脉注射,雾化和支气管镜下应用抗真菌药物。干预后患者胸闷、呼吸困难症状明显缓解。然而,考虑到出现时的晚期,预后已经很差了。尽管采取了这些措施,侵略性的潜在感染继续发展,最终导致主要血管糜烂和灾难性的咯血。结论:PM患者行支气管支架植入术可有效缓解毛霉菌感染引起的严重支气管阻塞,改善脓液引流,促进感染消退。然而,由于没有对病变进行完全的手术切除,由于毛霉病可能侵入肺血管,患者仍然存在潜在的灾难性咯血风险。与支架植入相关的咯血风险的潜在增加值得进一步调查。
本文章由计算机程序翻译,如有差异,请以英文原文为准。
求助全文
约1分钟内获得全文 求助全文
来源期刊
自引率
0.00%
发文量
0
×
引用
GB/T 7714-2015
复制
MLA
复制
APA
复制
导出至
BibTeX EndNote RefMan NoteFirst NoteExpress
×
提示
您的信息不完整,为了账户安全,请先补充。
现在去补充
×
提示
您因"违规操作"
具体请查看互助需知
我知道了
×
提示
确定
请完成安全验证×
copy
已复制链接
快去分享给好友吧!
我知道了
右上角分享
点击右上角分享
0
联系我们:info@booksci.cn Book学术提供免费学术资源搜索服务,方便国内外学者检索中英文文献。致力于提供最便捷和优质的服务体验。 Copyright © 2023 布克学术 All rights reserved.
京ICP备2023020795号-1
ghs 京公网安备 11010802042870号
Book学术文献互助
Book学术文献互助群
群 号:604180095
Book学术官方微信