Autoimmune enteropathy in adults: a case report and literature review.

IF 0.7 Q3 MEDICINE, GENERAL & INTERNAL
AME Case Reports Pub Date : 2025-07-15 eCollection Date: 2025-01-01 DOI:10.21037/acr-25-24
Saifei Xu, Xiaotan Dou, Lei Wang, Chenggong Yu
{"title":"Autoimmune enteropathy in adults: a case report and literature review.","authors":"Saifei Xu, Xiaotan Dou, Lei Wang, Chenggong Yu","doi":"10.21037/acr-25-24","DOIUrl":null,"url":null,"abstract":"<p><strong>Background: </strong>Autoimmune enteropathy (AIE) is a rare autoimmune disorder characterized primarily by villous atrophy of the small intestinal mucosa. This article presents a case of adult-onset AIE featuring intractable diarrhea and severe malnutrition, along with a review of the existing literature to summarize its clinical characteristics, aiming to provide insights for the diagnosis and management of AIE.</p><p><strong>Case description: </strong>A 60-year-old male was admitted due to intermittent abdominal pain, diarrhea, and weight loss. Laboratory tests revealed gliadin immunoglobulin A (IgA) (+) and immunoglobulin G (IgG) (+), but tissue transglutaminase IgA (-) and IgG (-). Endoscopy revealed that the mucous membrane of the small intestine was congested and edematous, the villi were atrophied and prone to bleeding after biopsy, and some of the villi exhibited a white mossy appearance. Pathologically, the villi of many segments of the small intestine presented diffuse and obvious atrophy, and there was lymphocytic infiltration in the intestinal glands. After exclusionary diagnosis, the patient was considered to have AIE. After effective initial treatment with corticosteroid, the patient exhibited recurrent symptoms and poor nutritional status, and eventually died of sepsis.</p><p><strong>Conclusions: </strong>For patients with refractory diarrhea and intestinal villous atrophy, a comprehensive diagnosis should be made based on medication history, epidemiological factors, gluten dietary response, serological markers, and histopathological findings. Early intervention with corticosteroids combined with nutritional support is critical, while vigilance against severe adverse events such as life-threatening infections is essential.</p>","PeriodicalId":29752,"journal":{"name":"AME Case Reports","volume":"9 ","pages":"99"},"PeriodicalIF":0.7000,"publicationDate":"2025-07-15","publicationTypes":"Journal Article","fieldsOfStudy":null,"isOpenAccess":false,"openAccessPdf":"https://www.ncbi.nlm.nih.gov/pmc/articles/PMC12319618/pdf/","citationCount":"0","resultStr":null,"platform":"Semanticscholar","paperid":null,"PeriodicalName":"AME Case Reports","FirstCategoryId":"1085","ListUrlMain":"https://doi.org/10.21037/acr-25-24","RegionNum":0,"RegionCategory":null,"ArticlePicture":[],"TitleCN":null,"AbstractTextCN":null,"PMCID":null,"EPubDate":"2025/1/1 0:00:00","PubModel":"eCollection","JCR":"Q3","JCRName":"MEDICINE, GENERAL & INTERNAL","Score":null,"Total":0}
引用次数: 0

Abstract

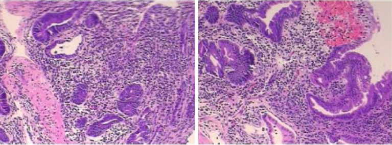
Background: Autoimmune enteropathy (AIE) is a rare autoimmune disorder characterized primarily by villous atrophy of the small intestinal mucosa. This article presents a case of adult-onset AIE featuring intractable diarrhea and severe malnutrition, along with a review of the existing literature to summarize its clinical characteristics, aiming to provide insights for the diagnosis and management of AIE.

Case description: A 60-year-old male was admitted due to intermittent abdominal pain, diarrhea, and weight loss. Laboratory tests revealed gliadin immunoglobulin A (IgA) (+) and immunoglobulin G (IgG) (+), but tissue transglutaminase IgA (-) and IgG (-). Endoscopy revealed that the mucous membrane of the small intestine was congested and edematous, the villi were atrophied and prone to bleeding after biopsy, and some of the villi exhibited a white mossy appearance. Pathologically, the villi of many segments of the small intestine presented diffuse and obvious atrophy, and there was lymphocytic infiltration in the intestinal glands. After exclusionary diagnosis, the patient was considered to have AIE. After effective initial treatment with corticosteroid, the patient exhibited recurrent symptoms and poor nutritional status, and eventually died of sepsis.

Conclusions: For patients with refractory diarrhea and intestinal villous atrophy, a comprehensive diagnosis should be made based on medication history, epidemiological factors, gluten dietary response, serological markers, and histopathological findings. Early intervention with corticosteroids combined with nutritional support is critical, while vigilance against severe adverse events such as life-threatening infections is essential.

Abstract Image

Abstract Image

Abstract Image

成人自身免疫性肠病1例报告及文献复习
背景:自身免疫性肠病(AIE)是一种罕见的自身免疫性疾病,主要表现为小肠黏膜绒毛萎缩。本文报道1例以顽固性腹泻和严重营养不良为主要表现的成人AIE,并通过对已有文献的梳理,总结其临床特点,以期为AIE的诊断和治疗提供参考。病例描述:一名60岁男性因间歇性腹痛、腹泻和体重减轻而入院。实验室检测显示麦胶蛋白免疫球蛋白A (IgA)(+)和免疫球蛋白G (IgG)(+),但组织转谷氨酰胺酶IgA(-)和IgG(-)。内镜检查示小肠粘膜充血水肿,活检后绒毛萎缩易出血,部分绒毛呈白色苔藓样。病理上小肠多节段绒毛呈弥漫性明显萎缩,肠腺内可见淋巴细胞浸润。经排除性诊断,认为患者患有AIE。在初始有效的皮质类固醇治疗后,患者出现症状复发和营养状况不佳,最终死于败血症。结论:对于难治性腹泻合并肠绒毛萎缩患者,应结合用药史、流行病学因素、麸质饮食反应、血清学指标及组织病理学结果综合诊断。皮质类固醇结合营养支持的早期干预至关重要,同时对严重不良事件(如危及生命的感染)保持警惕也至关重要。
本文章由计算机程序翻译,如有差异,请以英文原文为准。
求助全文
约1分钟内获得全文 求助全文
来源期刊
自引率
0.00%
发文量
0
×
引用
GB/T 7714-2015
复制
MLA
复制
APA
复制
导出至
BibTeX EndNote RefMan NoteFirst NoteExpress
×
提示
您的信息不完整,为了账户安全,请先补充。
现在去补充
×
提示
您因"违规操作"
具体请查看互助需知
我知道了
×
提示
确定
请完成安全验证×
copy
已复制链接
快去分享给好友吧!
我知道了
右上角分享
点击右上角分享
0
联系我们:info@booksci.cn Book学术提供免费学术资源搜索服务,方便国内外学者检索中英文文献。致力于提供最便捷和优质的服务体验。 Copyright © 2023 布克学术 All rights reserved.
京ICP备2023020795号-1
ghs 京公网安备 11010802042870号
Book学术文献互助
Book学术文献互助群
群 号:604180095
Book学术官方微信