Acute respiratory distress and hemoptysis: a case report of drug-induced lung injury aka "crack lung".

IF 0.7 Q3 MEDICINE, GENERAL & INTERNAL
AME Case Reports Pub Date : 2025-07-02 eCollection Date: 2025-01-01 DOI:10.21037/acr-24-283
Manuel Reichert, Tobias Holtz
{"title":"Acute respiratory distress and hemoptysis: a case report of drug-induced lung injury aka \"crack lung\".","authors":"Manuel Reichert, Tobias Holtz","doi":"10.21037/acr-24-283","DOIUrl":null,"url":null,"abstract":"<p><strong>Background: </strong>With the increasing use of inhaled drugs such as cocaine and amphetamines, drug-induced lung injury has become a relevant condition in emergency settings. \"Crack lung\" is a well-documented, acute pulmonary syndrome associated with inhalation of cocaine, characterized by respiratory distress, hemoptysis, and various radiographic findings. While the syndrome is more common among younger individuals, it can present in older patients, often triggered by the acute use of inhalative drugs.</p><p><strong>Case description: </strong>A 60-year-old obese male with no significant history of lung or cardiac disease presented to the emergency department with sudden-onset dyspnea, severe hemoptysis, palpitations, and tachycardia. Vital signs indicated hypertension (180/110 mmHg) and hypoxia [peripheral capillary oxygen saturation (SpO<sub>2</sub>) of 80% on room air]. The electrocardiogram (ECG) revealed sinus tachycardia but no right bundle branch block (RBBB). Laboratory tests were mostly unremarkable, and a computed tomography (CT) scan ruled out pulmonary embolism but showed diffuse bronchial wall thickening consistent with bronchitis or atypical pneumonia. During the clinical interview, the patient admitted to recent use of inhaled cocaine and amphetamines, leading to the diagnosis of early-stage \"crack lung\". After stabilization by administration of oxygen, bronchodilatators and prednisolone, the patient was discharged with follow-up care focusing on cessation of drug use and monitoring for potential lung damage. Bronchoscopically, there was no evidence of another cause of hemorrhage such as tumor growth.</p><p><strong>Conclusions: </strong>This case highlights the importance of recognizing drug-induced lung injury in patients presenting with acute respiratory distress and hemoptysis. As the use of inhaled drugs such as cocaine continues to rise in Germany, awareness of conditions like \"crack lung\" is essential for timely diagnosis and management. Steroids may play a role in reducing inflammation, but further research is needed to establish standardized treatment protocols for this condition.</p>","PeriodicalId":29752,"journal":{"name":"AME Case Reports","volume":"9 ","pages":"81"},"PeriodicalIF":0.7000,"publicationDate":"2025-07-02","publicationTypes":"Journal Article","fieldsOfStudy":null,"isOpenAccess":false,"openAccessPdf":"https://www.ncbi.nlm.nih.gov/pmc/articles/PMC12319608/pdf/","citationCount":"0","resultStr":null,"platform":"Semanticscholar","paperid":null,"PeriodicalName":"AME Case Reports","FirstCategoryId":"1085","ListUrlMain":"https://doi.org/10.21037/acr-24-283","RegionNum":0,"RegionCategory":null,"ArticlePicture":[],"TitleCN":null,"AbstractTextCN":null,"PMCID":null,"EPubDate":"2025/1/1 0:00:00","PubModel":"eCollection","JCR":"Q3","JCRName":"MEDICINE, GENERAL & INTERNAL","Score":null,"Total":0}
引用次数: 0

Abstract

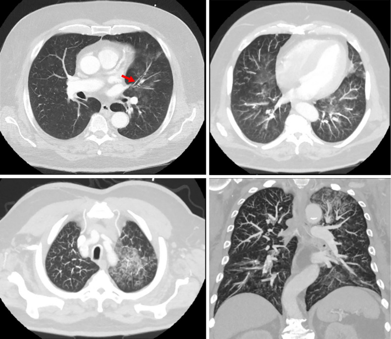
Background: With the increasing use of inhaled drugs such as cocaine and amphetamines, drug-induced lung injury has become a relevant condition in emergency settings. "Crack lung" is a well-documented, acute pulmonary syndrome associated with inhalation of cocaine, characterized by respiratory distress, hemoptysis, and various radiographic findings. While the syndrome is more common among younger individuals, it can present in older patients, often triggered by the acute use of inhalative drugs.

Case description: A 60-year-old obese male with no significant history of lung or cardiac disease presented to the emergency department with sudden-onset dyspnea, severe hemoptysis, palpitations, and tachycardia. Vital signs indicated hypertension (180/110 mmHg) and hypoxia [peripheral capillary oxygen saturation (SpO2) of 80% on room air]. The electrocardiogram (ECG) revealed sinus tachycardia but no right bundle branch block (RBBB). Laboratory tests were mostly unremarkable, and a computed tomography (CT) scan ruled out pulmonary embolism but showed diffuse bronchial wall thickening consistent with bronchitis or atypical pneumonia. During the clinical interview, the patient admitted to recent use of inhaled cocaine and amphetamines, leading to the diagnosis of early-stage "crack lung". After stabilization by administration of oxygen, bronchodilatators and prednisolone, the patient was discharged with follow-up care focusing on cessation of drug use and monitoring for potential lung damage. Bronchoscopically, there was no evidence of another cause of hemorrhage such as tumor growth.

Conclusions: This case highlights the importance of recognizing drug-induced lung injury in patients presenting with acute respiratory distress and hemoptysis. As the use of inhaled drugs such as cocaine continues to rise in Germany, awareness of conditions like "crack lung" is essential for timely diagnosis and management. Steroids may play a role in reducing inflammation, but further research is needed to establish standardized treatment protocols for this condition.

Abstract Image

Abstract Image

Abstract Image

急性呼吸窘迫伴咯血:药物性肺损伤“裂肺”1例。
背景:随着可卡因和安非他明等吸入性药物使用的增加,药物性肺损伤已成为紧急情况下的相关情况。“裂肺”是一种有充分文献记载的与吸入可卡因有关的急性肺综合征,其特征是呼吸窘迫、咯血和各种影像学表现。虽然这种综合征在年轻人中更为常见,但它也可能出现在老年患者身上,通常是由急性使用吸入性药物引发的。病例描述:一名60岁肥胖男性,无明显肺或心脏病史,因突发性呼吸困难、严重咯血、心悸和心动过速就诊于急诊科。生命体征显示高血压(180/110 mmHg)和缺氧[室内空气外周毛细血管氧饱和度(SpO2)为80%]。心电图显示窦性心动过速,未见右束支传导阻滞。实验室检查大多不明显,计算机断层扫描(CT)排除肺栓塞,但显示弥漫性支气管壁增厚与支气管炎或非典型肺炎一致。在临床访谈中,患者承认近期曾吸入可卡因和安非他明,诊断为早期“裂肺”。在给予氧气、支气管扩张剂和强的松龙稳定后,患者出院,并接受了以停止用药和监测潜在肺损伤为重点的随访护理。支气管镜检查,没有证据表明出血的其他原因,如肿瘤生长。结论:本病例强调了在急性呼吸窘迫和咯血患者中识别药物性肺损伤的重要性。随着可卡因等吸入性药物在德国的使用持续上升,对“裂肺”等疾病的认识对于及时诊断和管理至关重要。类固醇可能在减轻炎症方面发挥作用,但需要进一步的研究来建立这种情况的标准化治疗方案。
本文章由计算机程序翻译,如有差异,请以英文原文为准。
求助全文
约1分钟内获得全文 求助全文
来源期刊
自引率
0.00%
发文量
0
×
引用
GB/T 7714-2015
复制
MLA
复制
APA
复制
导出至
BibTeX EndNote RefMan NoteFirst NoteExpress
×
提示
您的信息不完整,为了账户安全,请先补充。
现在去补充
×
提示
您因"违规操作"
具体请查看互助需知
我知道了
×
提示
确定
请完成安全验证×
copy
已复制链接
快去分享给好友吧!
我知道了
右上角分享
点击右上角分享
0
联系我们:info@booksci.cn Book学术提供免费学术资源搜索服务,方便国内外学者检索中英文文献。致力于提供最便捷和优质的服务体验。 Copyright © 2023 布克学术 All rights reserved.
京ICP备2023020795号-1
ghs 京公网安备 11010802042870号
Book学术文献互助
Book学术文献互助群
群 号:604180095
Book学术官方微信