Pancreatic hepatoid carcinoma: a case report.

IF 0.7 Q3 MEDICINE, GENERAL & INTERNAL
AME Case Reports Pub Date : 2025-05-13 eCollection Date: 2025-01-01 DOI:10.21037/acr-24-195
Fenfang Wang, Xiaoyuan Han, Qihuan Wu
{"title":"Pancreatic hepatoid carcinoma: a case report.","authors":"Fenfang Wang, Xiaoyuan Han, Qihuan Wu","doi":"10.21037/acr-24-195","DOIUrl":null,"url":null,"abstract":"<p><strong>Background: </strong>Pancreatic hepatoid carcinoma (PHC) is an extremely uncommon neoplasm of pancreas that resembles hepatocellular carcinoma (HCC). The morphological and immunohistochemical features of PHC are similar to those of HCC. The lack of specificity on clinical features of PHC makes it easy to be ignored in clinical diagnosis. And there is currently no standardized treatment for PHC.</p><p><strong>Case description: </strong>We presented a case of PHC with specific clinical examinations and treatments. The patient reported that he suffered from a history of chronic viral hepatitis B, laboratory tests showed elevated serum alpha-fetoprotein (AFP) levels. No significant liver mass was found on imaging, the contrast-enhanced abdominal computed tomography revealed a slightly nodular low-density shadow in the head of the pancreas. The patient received neoadjuvant chemotherapy combined with programmed cell death protein 1 (PD-1) antibody and he underwent radical resection of pancreatic cancer. The post-operative histopathological examination of the resection specimen revealed a diagnosis of poorly differentiated PHC. Half a month after the surgery, this patient's serum AFP dropped to within the normal range. The patient recovered without complications, and regular reexaminations showed no signs of tumor recurrence and metastasis.</p><p><strong>Conclusions: </strong>We analyzed the previous PHC-related literature to enhance the understanding of PHC and persistently improve PHC treatment strategies for clinicians.</p>","PeriodicalId":29752,"journal":{"name":"AME Case Reports","volume":"9 ","pages":"75"},"PeriodicalIF":0.7000,"publicationDate":"2025-05-13","publicationTypes":"Journal Article","fieldsOfStudy":null,"isOpenAccess":false,"openAccessPdf":"https://www.ncbi.nlm.nih.gov/pmc/articles/PMC12319601/pdf/","citationCount":"0","resultStr":null,"platform":"Semanticscholar","paperid":null,"PeriodicalName":"AME Case Reports","FirstCategoryId":"1085","ListUrlMain":"https://doi.org/10.21037/acr-24-195","RegionNum":0,"RegionCategory":null,"ArticlePicture":[],"TitleCN":null,"AbstractTextCN":null,"PMCID":null,"EPubDate":"2025/1/1 0:00:00","PubModel":"eCollection","JCR":"Q3","JCRName":"MEDICINE, GENERAL & INTERNAL","Score":null,"Total":0}
引用次数: 0

Abstract

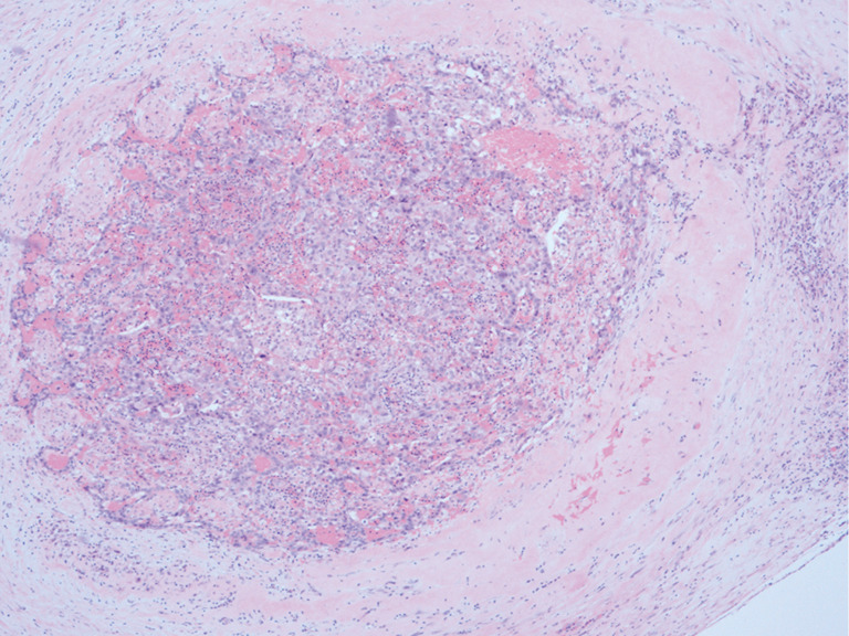
Background: Pancreatic hepatoid carcinoma (PHC) is an extremely uncommon neoplasm of pancreas that resembles hepatocellular carcinoma (HCC). The morphological and immunohistochemical features of PHC are similar to those of HCC. The lack of specificity on clinical features of PHC makes it easy to be ignored in clinical diagnosis. And there is currently no standardized treatment for PHC.

Case description: We presented a case of PHC with specific clinical examinations and treatments. The patient reported that he suffered from a history of chronic viral hepatitis B, laboratory tests showed elevated serum alpha-fetoprotein (AFP) levels. No significant liver mass was found on imaging, the contrast-enhanced abdominal computed tomography revealed a slightly nodular low-density shadow in the head of the pancreas. The patient received neoadjuvant chemotherapy combined with programmed cell death protein 1 (PD-1) antibody and he underwent radical resection of pancreatic cancer. The post-operative histopathological examination of the resection specimen revealed a diagnosis of poorly differentiated PHC. Half a month after the surgery, this patient's serum AFP dropped to within the normal range. The patient recovered without complications, and regular reexaminations showed no signs of tumor recurrence and metastasis.

Conclusions: We analyzed the previous PHC-related literature to enhance the understanding of PHC and persistently improve PHC treatment strategies for clinicians.

Abstract Image

Abstract Image

胰样肝癌1例。
背景:胰腺类肝癌(PHC)是一种极为罕见的胰腺肿瘤,类似于肝细胞癌(HCC)。PHC的形态学和免疫组织化学特征与HCC相似。PHC的临床特征缺乏特异性,在临床诊断中容易被忽视。目前还没有针对初级保健的标准化治疗方法。病例描述:我们报告了一例PHC的具体临床检查和治疗。患者报告有慢性乙型病毒性肝炎病史,实验室检查显示血清甲胎蛋白(AFP)水平升高。影像学未见明显肝脏肿块,腹部增强ct显示胰腺头部轻度结节性低密度影。患者接受新辅助化疗联合程序性细胞死亡蛋白1 (PD-1)抗体,并行胰腺癌根治性切除术。切除标本的术后组织病理学检查显示诊断为低分化PHC。术后半个月,患者血清AFP降至正常范围。患者康复后无并发症,定期复查未见肿瘤复发和转移迹象。结论:我们分析了以往的PHC相关文献,以提高对PHC的认识,并不断改进临床医生的PHC治疗策略。
本文章由计算机程序翻译,如有差异,请以英文原文为准。
求助全文
约1分钟内获得全文 求助全文
来源期刊
自引率
0.00%
发文量
0
×
引用
GB/T 7714-2015
复制
MLA
复制
APA
复制
导出至
BibTeX EndNote RefMan NoteFirst NoteExpress
×
提示
您的信息不完整,为了账户安全,请先补充。
现在去补充
×
提示
您因"违规操作"
具体请查看互助需知
我知道了
×
提示
确定
请完成安全验证×
copy
已复制链接
快去分享给好友吧!
我知道了
右上角分享
点击右上角分享
0
联系我们:info@booksci.cn Book学术提供免费学术资源搜索服务,方便国内外学者检索中英文文献。致力于提供最便捷和优质的服务体验。 Copyright © 2023 布克学术 All rights reserved.
京ICP备2023020795号-1
ghs 京公网安备 11010802042870号
Book学术文献互助
Book学术文献互助群
群 号:604180095
Book学术官方微信