Infective endocarditis mimicking antineutrophil-cytoplasmic-antibody-associated vasculitis with glomerulonephritis: a case report.

IF 0.8 Q3 MEDICINE, GENERAL & INTERNAL
Ahmad Matarneh, Sundus Sardar, Abdelrauof Akkari, Omar Salameh, Naman Trivedi, Muhammad Abdulbasit, Navin Verma, Ronald Miller, Nasrollah Ghahramani
{"title":"Infective endocarditis mimicking antineutrophil-cytoplasmic-antibody-associated vasculitis with glomerulonephritis: a case report.","authors":"Ahmad Matarneh, Sundus Sardar, Abdelrauof Akkari, Omar Salameh, Naman Trivedi, Muhammad Abdulbasit, Navin Verma, Ronald Miller, Nasrollah Ghahramani","doi":"10.1186/s13256-025-05470-1","DOIUrl":null,"url":null,"abstract":"<p><strong>Background: </strong>Infective endocarditis occasionally presents with antineutrophil cytoplasmic antibody positivity, leading to diagnostic challenges and confusion, as it can be mislabeled antineutrophil-cytoplasmic-antibody-associated vasculitis. Distinguishing between these two factors is crucial for appropriate management.</p><p><strong>Case presentation: </strong>In this case report, we describe a 77-year-old White non-Hispanic male patient who initially presented with features suggestive of antineutrophil-cytoplasmic-antibody-associated vasculitis but was ultimately diagnosed with infective endocarditis.</p><p><strong>Conclusion: </strong>Our findings emphasize the need to rule out infective endocarditis in patients with suspected antineutrophil-cytoplasmic-antibody-associated vasculitis, as it can be the same, and management relies on different lines of therapy. Immunosuppression therapy can lead to devastating effects in patients with infective endocarditis.</p>","PeriodicalId":16236,"journal":{"name":"Journal of Medical Case Reports","volume":"19 1","pages":"385"},"PeriodicalIF":0.8000,"publicationDate":"2025-08-04","publicationTypes":"Journal Article","fieldsOfStudy":null,"isOpenAccess":false,"openAccessPdf":"https://www.ncbi.nlm.nih.gov/pmc/articles/PMC12323207/pdf/","citationCount":"0","resultStr":null,"platform":"Semanticscholar","paperid":null,"PeriodicalName":"Journal of Medical Case Reports","FirstCategoryId":"1085","ListUrlMain":"https://doi.org/10.1186/s13256-025-05470-1","RegionNum":0,"RegionCategory":null,"ArticlePicture":[],"TitleCN":null,"AbstractTextCN":null,"PMCID":null,"EPubDate":"","PubModel":"","JCR":"Q3","JCRName":"MEDICINE, GENERAL & INTERNAL","Score":null,"Total":0}
引用次数: 0

Abstract

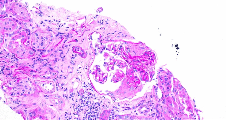
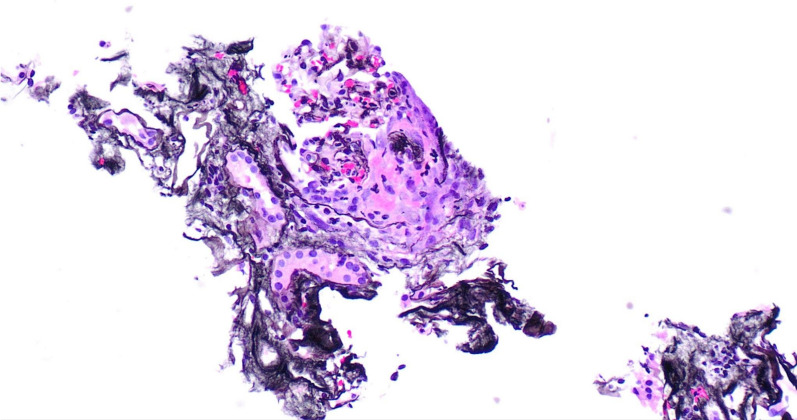
Background: Infective endocarditis occasionally presents with antineutrophil cytoplasmic antibody positivity, leading to diagnostic challenges and confusion, as it can be mislabeled antineutrophil-cytoplasmic-antibody-associated vasculitis. Distinguishing between these two factors is crucial for appropriate management.

Case presentation: In this case report, we describe a 77-year-old White non-Hispanic male patient who initially presented with features suggestive of antineutrophil-cytoplasmic-antibody-associated vasculitis but was ultimately diagnosed with infective endocarditis.

Conclusion: Our findings emphasize the need to rule out infective endocarditis in patients with suspected antineutrophil-cytoplasmic-antibody-associated vasculitis, as it can be the same, and management relies on different lines of therapy. Immunosuppression therapy can lead to devastating effects in patients with infective endocarditis.

Abstract Image

Abstract Image

Abstract Image

感染性心内膜炎模拟抗中性粒细胞-细胞质-抗体相关血管炎伴肾小球肾炎1例报告。
背景:感染性心内膜炎偶尔表现为抗中性粒细胞细胞质抗体阳性,导致诊断困难和混淆,因为它可能被错误地标记为抗中性粒细胞-细胞质-抗体相关血管炎。区分这两个因素对于适当的管理至关重要。病例介绍:在本病例报告中,我们描述了一位77岁的白人非西班牙裔男性患者,他最初表现为抗中性粒细胞-细胞质-抗体相关血管炎的特征,但最终被诊断为感染性心内膜炎。结论:我们的研究结果强调,在疑似抗中性粒细胞-细胞质-抗体相关血管炎的患者中,需要排除感染性心内膜炎,因为它们可能是相同的,治疗依赖于不同的治疗方法。免疫抑制治疗对感染性心内膜炎患者有毁灭性的影响。
本文章由计算机程序翻译,如有差异,请以英文原文为准。
求助全文
约1分钟内获得全文 求助全文
来源期刊
Journal of Medical Case Reports
Journal of Medical Case Reports Medicine-Medicine (all)
CiteScore
1.50
自引率
0.00%
发文量
436
期刊介绍: JMCR is an open access, peer-reviewed online journal that will consider any original case report that expands the field of general medical knowledge. Reports should show one of the following: 1. Unreported or unusual side effects or adverse interactions involving medications 2. Unexpected or unusual presentations of a disease 3. New associations or variations in disease processes 4. Presentations, diagnoses and/or management of new and emerging diseases 5. An unexpected association between diseases or symptoms 6. An unexpected event in the course of observing or treating a patient 7. Findings that shed new light on the possible pathogenesis of a disease or an adverse effect
×
引用
GB/T 7714-2015
复制
MLA
复制
APA
复制
导出至
BibTeX EndNote RefMan NoteFirst NoteExpress
×
提示
您的信息不完整,为了账户安全,请先补充。
现在去补充
×
提示
您因"违规操作"
具体请查看互助需知
我知道了
×
提示
确定
请完成安全验证×
copy
已复制链接
快去分享给好友吧!
我知道了
右上角分享
点击右上角分享
0
联系我们:info@booksci.cn Book学术提供免费学术资源搜索服务,方便国内外学者检索中英文文献。致力于提供最便捷和优质的服务体验。 Copyright © 2023 布克学术 All rights reserved.
京ICP备2023020795号-1
ghs 京公网安备 11010802042870号
Book学术文献互助
Book学术文献互助群
群 号:604180095
Book学术官方微信