Could carotid artery calcifications and pulp stones be an alarm sign for diabetes mellitus? A retrospective observational study.

IF 3.3 3区 医学 Q3 ENDOCRINOLOGY & METABOLISM
Motahare Baghestani, Mohadese Faregh, Seyed Hossein Razavi, Fatemeh Owlia
{"title":"Could carotid artery calcifications and pulp stones be an alarm sign for diabetes mellitus? A retrospective observational study.","authors":"Motahare Baghestani, Mohadese Faregh, Seyed Hossein Razavi, Fatemeh Owlia","doi":"10.1186/s12902-025-02005-z","DOIUrl":null,"url":null,"abstract":"<p><strong>Background: </strong>Carotid artery calcifications and pulpal stones are radiopaque findings that may be found accidentally in panoramic views. The risk of affliction with atherosclerotic events in diabetic patients with dystrophic calcification is questionable. This study aimed to investigate the relative frequency of carotid calcifications and pulp stones in panoramic radiographs of diabetic patients.</p><p><strong>Methods: </strong>This retrospective observational study employed a convenience sampling method involving 107 diabetic patients. For comparison, 300 panoramic views from individuals estimated to be healthy in the community were included. The samples were randomly selected from the statistical population using a random numbers table. Data analysis was conducted using descriptive statistics, including mean and standard deviation, as well as analytical tests such as the chi-square test, all performed with SPSS 17 software (Chicago, USA).</p><p><strong>Results: </strong>In this study, panoramic radiographs of 107 diabetic patients (67 women and 40 men) and 300 healthy individuals (196 women and 104 men) were evaluated. The age range was 25 to 64 years, with a mean age of 49.7. The frequency of carotid artery calcification was 42 (14%) in healthy individuals and 44 (41.1%) in diabetic patients. Furthermore, the relative frequency of unilateral and bilateral carotid artery calcification in diabetic patients was significantly higher than in healthy subjects (P < 0.05). The Relative Risk (RR) of pulp stones in the diabetic patient group compared to healthy individuals was 1.8. With a 95% confidence interval, the relative risk ranged from 1.3 to 2.48, which was statistically significant (P < 0.05).</p><p><strong>Conclusions: </strong>Based on the findings, the frequency of carotid artery calcification and pulp stones was higher in diabetic patients. Panoramic radiographic screening in diabetic patients is useful for early detection of carotid artery calcification and timely referral of patients to endocrinologists to prevent adverse sequelae.</p>","PeriodicalId":9152,"journal":{"name":"BMC Endocrine Disorders","volume":"25 1","pages":"191"},"PeriodicalIF":3.3000,"publicationDate":"2025-08-04","publicationTypes":"Journal Article","fieldsOfStudy":null,"isOpenAccess":false,"openAccessPdf":"https://www.ncbi.nlm.nih.gov/pmc/articles/PMC12323078/pdf/","citationCount":"0","resultStr":null,"platform":"Semanticscholar","paperid":null,"PeriodicalName":"BMC Endocrine Disorders","FirstCategoryId":"3","ListUrlMain":"https://doi.org/10.1186/s12902-025-02005-z","RegionNum":3,"RegionCategory":"医学","ArticlePicture":[],"TitleCN":null,"AbstractTextCN":null,"PMCID":null,"EPubDate":"","PubModel":"","JCR":"Q3","JCRName":"ENDOCRINOLOGY & METABOLISM","Score":null,"Total":0}
引用次数: 0

Abstract

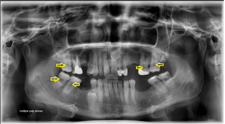
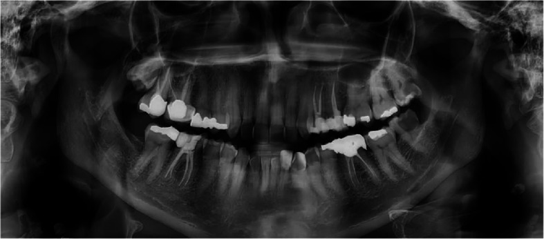
Background: Carotid artery calcifications and pulpal stones are radiopaque findings that may be found accidentally in panoramic views. The risk of affliction with atherosclerotic events in diabetic patients with dystrophic calcification is questionable. This study aimed to investigate the relative frequency of carotid calcifications and pulp stones in panoramic radiographs of diabetic patients.

Methods: This retrospective observational study employed a convenience sampling method involving 107 diabetic patients. For comparison, 300 panoramic views from individuals estimated to be healthy in the community were included. The samples were randomly selected from the statistical population using a random numbers table. Data analysis was conducted using descriptive statistics, including mean and standard deviation, as well as analytical tests such as the chi-square test, all performed with SPSS 17 software (Chicago, USA).

Results: In this study, panoramic radiographs of 107 diabetic patients (67 women and 40 men) and 300 healthy individuals (196 women and 104 men) were evaluated. The age range was 25 to 64 years, with a mean age of 49.7. The frequency of carotid artery calcification was 42 (14%) in healthy individuals and 44 (41.1%) in diabetic patients. Furthermore, the relative frequency of unilateral and bilateral carotid artery calcification in diabetic patients was significantly higher than in healthy subjects (P < 0.05). The Relative Risk (RR) of pulp stones in the diabetic patient group compared to healthy individuals was 1.8. With a 95% confidence interval, the relative risk ranged from 1.3 to 2.48, which was statistically significant (P < 0.05).

Conclusions: Based on the findings, the frequency of carotid artery calcification and pulp stones was higher in diabetic patients. Panoramic radiographic screening in diabetic patients is useful for early detection of carotid artery calcification and timely referral of patients to endocrinologists to prevent adverse sequelae.

Abstract Image

Abstract Image

Abstract Image

颈动脉钙化和牙髓结石可能是糖尿病的警示信号吗?回顾性观察性研究。
背景:颈动脉钙化和牙髓结石是不透射线的表现,可能在全景照片中偶然发现。伴有营养不良钙化的糖尿病患者发生动脉粥样硬化事件的风险值得怀疑。本研究旨在探讨糖尿病患者颈动脉钙化和牙髓结石在全景x线片上的相对频率。方法:采用方便抽样的方法,对107例糖尿病患者进行回顾性观察研究。为了进行比较,纳入了300个来自社区中估计健康的个人的全景视图。使用随机数字表从统计总体中随机选择样本。数据分析采用描述性统计,包括均值和标准差,以及卡方检验等分析检验,均使用SPSS 17软件(芝加哥,美国)进行。结果:本研究对107例糖尿病患者(女性67例,男性40例)和300例健康人(女性196例,男性104例)的全景x线片进行了评价。年龄25 ~ 64岁,平均年龄49.7岁。健康人群颈动脉钙化发生率为42例(14%),糖尿病患者颈动脉钙化发生率为44例(41.1%)。糖尿病患者单侧和双侧颈动脉钙化的相对频率明显高于健康人群(P)。结论:糖尿病患者颈动脉钙化和牙髓结石的发生率高于健康人群。糖尿病患者的全景x线筛查有助于早期发现颈动脉钙化,及时将患者转诊给内分泌科医生,预防不良后遗症。
本文章由计算机程序翻译,如有差异,请以英文原文为准。
求助全文
约1分钟内获得全文 求助全文
来源期刊
BMC Endocrine Disorders
BMC Endocrine Disorders ENDOCRINOLOGY & METABOLISM-
CiteScore
4.40
自引率
0.00%
发文量
280
审稿时长
>12 weeks
期刊介绍: BMC Endocrine Disorders is an open access, peer-reviewed journal that considers articles on all aspects of the prevention, diagnosis and management of endocrine disorders, as well as related molecular genetics, pathophysiology, and epidemiology.
×
引用
GB/T 7714-2015
复制
MLA
复制
APA
复制
导出至
BibTeX EndNote RefMan NoteFirst NoteExpress
×
提示
您的信息不完整,为了账户安全,请先补充。
现在去补充
×
提示
您因"违规操作"
具体请查看互助需知
我知道了
×
提示
确定
请完成安全验证×
copy
已复制链接
快去分享给好友吧!
我知道了
右上角分享
点击右上角分享
0
联系我们:info@booksci.cn Book学术提供免费学术资源搜索服务,方便国内外学者检索中英文文献。致力于提供最便捷和优质的服务体验。 Copyright © 2023 布克学术 All rights reserved.
京ICP备2023020795号-1
ghs 京公网安备 11010802042870号
Book学术文献互助
Book学术文献互助群
群 号:604180095
Book学术官方微信