Strangulated cholecystitis with imaging findings similar to those of gallbladder torsion: A case report.

IF 1 Q4 RADIOLOGY, NUCLEAR MEDICINE & MEDICAL IMAGING
Acta radiologica open Pub Date : 2025-07-29 eCollection Date: 2025-07-01 DOI:10.1177/20584601251363696
Kazuya Okamura, Takuma Ito, Emi Ishibashi, Yoshiko Kanasaki, Koji Yuasa, Junji Iwasaki, Hideyuki Onuma
{"title":"Strangulated cholecystitis with imaging findings similar to those of gallbladder torsion: A case report.","authors":"Kazuya Okamura, Takuma Ito, Emi Ishibashi, Yoshiko Kanasaki, Koji Yuasa, Junji Iwasaki, Hideyuki Onuma","doi":"10.1177/20584601251363696","DOIUrl":null,"url":null,"abstract":"<p><p>Cholecystitis is a common disease, but the occurrence of gallbladder strangulation is extremely rare. Here, we report a case of an 88-year-old woman with strangulated cholecystitis caused by an intraperitoneal band. Computed tomography (CT) scan revealed a constriction of the gallbladder body and marked wall thickening at the fundus. Additionally, the finding suggested torsion at the constricted area, which we diagnosed as gallbladder torsion. Cholecystectomy was performed immediately, and the diagnosis was strangulated cholecystitis caused by a band. The imaging findings of strangulated cholecystitis are similar to gallbladder torsion, making it difficult to diagnose preoperatively. We will discuss the imaging findings of strangulated cholecystitis and gallbladder torsion.</p>","PeriodicalId":72063,"journal":{"name":"Acta radiologica open","volume":"14 7","pages":"20584601251363696"},"PeriodicalIF":1.0000,"publicationDate":"2025-07-29","publicationTypes":"Journal Article","fieldsOfStudy":null,"isOpenAccess":false,"openAccessPdf":"https://www.ncbi.nlm.nih.gov/pmc/articles/PMC12314225/pdf/","citationCount":"0","resultStr":null,"platform":"Semanticscholar","paperid":null,"PeriodicalName":"Acta radiologica open","FirstCategoryId":"1085","ListUrlMain":"https://doi.org/10.1177/20584601251363696","RegionNum":0,"RegionCategory":null,"ArticlePicture":[],"TitleCN":null,"AbstractTextCN":null,"PMCID":null,"EPubDate":"2025/7/1 0:00:00","PubModel":"eCollection","JCR":"Q4","JCRName":"RADIOLOGY, NUCLEAR MEDICINE & MEDICAL IMAGING","Score":null,"Total":0}
引用次数: 0

Abstract

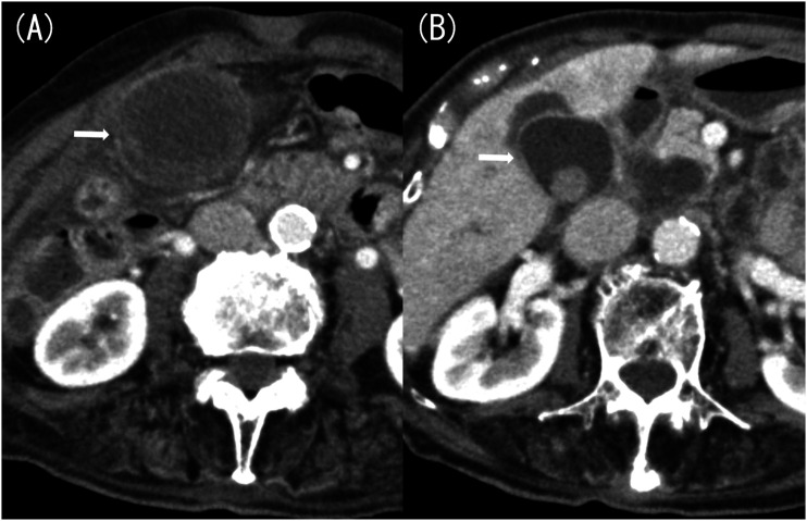
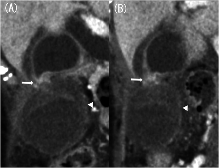
Cholecystitis is a common disease, but the occurrence of gallbladder strangulation is extremely rare. Here, we report a case of an 88-year-old woman with strangulated cholecystitis caused by an intraperitoneal band. Computed tomography (CT) scan revealed a constriction of the gallbladder body and marked wall thickening at the fundus. Additionally, the finding suggested torsion at the constricted area, which we diagnosed as gallbladder torsion. Cholecystectomy was performed immediately, and the diagnosis was strangulated cholecystitis caused by a band. The imaging findings of strangulated cholecystitis are similar to gallbladder torsion, making it difficult to diagnose preoperatively. We will discuss the imaging findings of strangulated cholecystitis and gallbladder torsion.

Abstract Image

Abstract Image

Abstract Image

影像学表现与胆囊扭转相似的绞窄性胆囊炎1例。
胆囊炎是一种常见病,但胆囊绞窄的发生极为罕见。在这里,我们报告一例88岁的妇女与绞杀胆囊炎引起的腹腔内束。计算机断层扫描(CT)显示胆囊体收缩和明显的底部壁增厚。此外,发现提示收缩区扭转,我们诊断为胆囊扭转。立即行胆囊切除术,诊断为绞窄性胆囊炎。绞窄性胆囊炎的影像学表现与胆囊扭转相似,术前诊断困难。我们将讨论绞窄性胆囊炎和胆囊扭转的影像学表现。
本文章由计算机程序翻译,如有差异,请以英文原文为准。
求助全文
约1分钟内获得全文 求助全文
来源期刊
自引率
0.00%
发文量
0
审稿时长
12 weeks
×
引用
GB/T 7714-2015
复制
MLA
复制
APA
复制
导出至
BibTeX EndNote RefMan NoteFirst NoteExpress
×
提示
您的信息不完整,为了账户安全,请先补充。
现在去补充
×
提示
您因"违规操作"
具体请查看互助需知
我知道了
×
提示
确定
请完成安全验证×
copy
已复制链接
快去分享给好友吧!
我知道了
右上角分享
点击右上角分享
0
联系我们:info@booksci.cn Book学术提供免费学术资源搜索服务,方便国内外学者检索中英文文献。致力于提供最便捷和优质的服务体验。 Copyright © 2023 布克学术 All rights reserved.
京ICP备2023020795号-1
ghs 京公网安备 11010802042870号
Book学术文献互助
Book学术文献互助群
群 号:604180095
Book学术官方微信