Salmonella enterica ser Saintpaul Colitis Mimicking Crohn's Disease.

IF 0.5 Q4 GASTROENTEROLOGY & HEPATOLOGY
Case Reports in Gastrointestinal Medicine Pub Date : 2025-07-26 eCollection Date: 2025-01-01 DOI:10.1155/crgm/1627615
Benjamin Gow-Lee, Phillip Bennett, Jessicia Schmitt, Amir Kashani
{"title":"<i>Salmonella enterica</i> ser Saintpaul Colitis Mimicking Crohn's Disease.","authors":"Benjamin Gow-Lee, Phillip Bennett, Jessicia Schmitt, Amir Kashani","doi":"10.1155/crgm/1627615","DOIUrl":null,"url":null,"abstract":"<p><p>Diagnosing inflammatory bowel disease (IBD) can be challenging in the presence of mimicking conditions, such as infectious colitis. An accurate diagnosis is important to avoid unnecessary treatment. Nontyphoidal <i>Salmonella</i> species are an important cause of infectious colitis that at times can mimic IBD. <i>Salmonella enterica</i> serotype Saintpaul has caused numerous fatal foodborne gastroenteritis outbreaks worldwide. It has also been known to cause other infections, such as bacteremia, splenic abscesses, and meningitis, but has only rarely been known to cause colitis. Worryingly, antibiotic resistance rates of S. Saintpaul are rising. This case report presents a woman with S. Saintpaul colitis mimicking Crohn's disease. Despite an initial plan to start biologic therapy, long-term follow-up while off immunosuppressant therapy confirmed S. Saintpaul as the underlying cause of colitis, sparing our patient long-term immunosuppression. This case highlights the importance of ruling out infectious colitis before beginning long-term immunosuppressive therapy and the challenges of mimicking conditions as well as the novelty of the Saintpaul serotype causing colitis.</p>","PeriodicalId":45645,"journal":{"name":"Case Reports in Gastrointestinal Medicine","volume":"2025 ","pages":"1627615"},"PeriodicalIF":0.5000,"publicationDate":"2025-07-26","publicationTypes":"Journal Article","fieldsOfStudy":null,"isOpenAccess":false,"openAccessPdf":"https://www.ncbi.nlm.nih.gov/pmc/articles/PMC12317810/pdf/","citationCount":"0","resultStr":null,"platform":"Semanticscholar","paperid":null,"PeriodicalName":"Case Reports in Gastrointestinal Medicine","FirstCategoryId":"1085","ListUrlMain":"https://doi.org/10.1155/crgm/1627615","RegionNum":0,"RegionCategory":null,"ArticlePicture":[],"TitleCN":null,"AbstractTextCN":null,"PMCID":null,"EPubDate":"2025/1/1 0:00:00","PubModel":"eCollection","JCR":"Q4","JCRName":"GASTROENTEROLOGY & HEPATOLOGY","Score":null,"Total":0}
引用次数: 0

Abstract

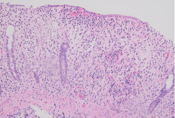
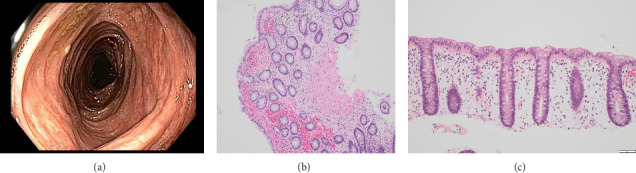
Diagnosing inflammatory bowel disease (IBD) can be challenging in the presence of mimicking conditions, such as infectious colitis. An accurate diagnosis is important to avoid unnecessary treatment. Nontyphoidal Salmonella species are an important cause of infectious colitis that at times can mimic IBD. Salmonella enterica serotype Saintpaul has caused numerous fatal foodborne gastroenteritis outbreaks worldwide. It has also been known to cause other infections, such as bacteremia, splenic abscesses, and meningitis, but has only rarely been known to cause colitis. Worryingly, antibiotic resistance rates of S. Saintpaul are rising. This case report presents a woman with S. Saintpaul colitis mimicking Crohn's disease. Despite an initial plan to start biologic therapy, long-term follow-up while off immunosuppressant therapy confirmed S. Saintpaul as the underlying cause of colitis, sparing our patient long-term immunosuppression. This case highlights the importance of ruling out infectious colitis before beginning long-term immunosuppressive therapy and the challenges of mimicking conditions as well as the novelty of the Saintpaul serotype causing colitis.

Abstract Image

Abstract Image

Abstract Image

肠沙门氏菌感染圣保罗结肠炎模拟克罗恩病。
诊断炎症性肠病(IBD)可能是具有挑战性的模拟条件的存在,如感染性结肠炎。准确的诊断对于避免不必要的治疗非常重要。非伤寒沙门氏菌种是传染性结肠炎的一个重要原因,有时可以模仿IBD。大肠沙门氏菌血清型圣保罗在世界范围内引起了许多致命的食源性肠胃炎暴发。已知它也会引起其他感染,如菌血症、脾脓肿和脑膜炎,但很少引起结肠炎。令人担忧的是,圣保罗的抗生素耐药率正在上升。本病例报告提出了一个妇女与模仿克罗恩病的圣保罗结肠炎。尽管最初计划开始生物治疗,但在停止免疫抑制治疗期间的长期随访证实S. Saintpaul是结肠炎的潜在原因,使患者免于长期免疫抑制。该病例强调了在开始长期免疫抑制治疗之前排除感染性结肠炎的重要性,以及模拟条件的挑战以及引起结肠炎的圣保罗血清型的新颖性。
本文章由计算机程序翻译,如有差异,请以英文原文为准。
求助全文
约1分钟内获得全文 求助全文
来源期刊
Case Reports in Gastrointestinal Medicine
Case Reports in Gastrointestinal Medicine GASTROENTEROLOGY & HEPATOLOGY-
自引率
0.00%
发文量
33
审稿时长
14 weeks
×
引用
GB/T 7714-2015
复制
MLA
复制
APA
复制
导出至
BibTeX EndNote RefMan NoteFirst NoteExpress
×
提示
您的信息不完整,为了账户安全,请先补充。
现在去补充
×
提示
您因"违规操作"
具体请查看互助需知
我知道了
×
提示
确定
请完成安全验证×
copy
已复制链接
快去分享给好友吧!
我知道了
右上角分享
点击右上角分享
0
联系我们:info@booksci.cn Book学术提供免费学术资源搜索服务,方便国内外学者检索中英文文献。致力于提供最便捷和优质的服务体验。 Copyright © 2023 布克学术 All rights reserved.
京ICP备2023020795号-1
ghs 京公网安备 11010802042870号
Book学术文献互助
Book学术文献互助群
群 号:604180095
Book学术官方微信