A Rare Case of Primary Small Cell Carcinoma of the Esophagus.

IF 0.8 Q3 MEDICINE, GENERAL & INTERNAL
Jiya Mulayamkuzhiyil, Justeena Joseph, Anchita Agrawal, Tommy Ojukwu Perdomo, Sanjeev Jain
{"title":"A Rare Case of Primary Small Cell Carcinoma of the Esophagus.","authors":"Jiya Mulayamkuzhiyil, Justeena Joseph, Anchita Agrawal, Tommy Ojukwu Perdomo, Sanjeev Jain","doi":"10.1177/23247096251363010","DOIUrl":null,"url":null,"abstract":"<p><p>Small cell carcinoma of the esophagus is a rare and aggressive variant of esophageal cancer. We report a case of a 69-year-old female who presented with dysphagia to solid food for 6 months and underwent esophagogastroduodenoscopy, which revealed an ulcerated mass in the proximal esophagus. Biopsy findings were consistent with esophageal small cell cancer. The patient was found to have distant metastasis to the gastric lymph nodes on staging studies. She was treated with chemotherapy, resulting in initial disease resolution, but 4 years later, she presented with metastatic disease to the lungs and brain. This case underscores the need to establish treatment guidelines for this malignancy with a poor prognosis, given the paucity of randomized clinical trials.</p>","PeriodicalId":16198,"journal":{"name":"Journal of investigative medicine high impact case reports","volume":"13 ","pages":"23247096251363010"},"PeriodicalIF":0.8000,"publicationDate":"2025-01-01","publicationTypes":"Journal Article","fieldsOfStudy":null,"isOpenAccess":false,"openAccessPdf":"https://www.ncbi.nlm.nih.gov/pmc/articles/PMC12322346/pdf/","citationCount":"0","resultStr":null,"platform":"Semanticscholar","paperid":null,"PeriodicalName":"Journal of investigative medicine high impact case reports","FirstCategoryId":"1085","ListUrlMain":"https://doi.org/10.1177/23247096251363010","RegionNum":0,"RegionCategory":null,"ArticlePicture":[],"TitleCN":null,"AbstractTextCN":null,"PMCID":null,"EPubDate":"2025/8/4 0:00:00","PubModel":"Epub","JCR":"Q3","JCRName":"MEDICINE, GENERAL & INTERNAL","Score":null,"Total":0}
引用次数: 0

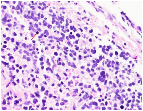
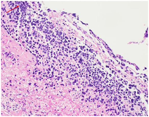
Abstract

Small cell carcinoma of the esophagus is a rare and aggressive variant of esophageal cancer. We report a case of a 69-year-old female who presented with dysphagia to solid food for 6 months and underwent esophagogastroduodenoscopy, which revealed an ulcerated mass in the proximal esophagus. Biopsy findings were consistent with esophageal small cell cancer. The patient was found to have distant metastasis to the gastric lymph nodes on staging studies. She was treated with chemotherapy, resulting in initial disease resolution, but 4 years later, she presented with metastatic disease to the lungs and brain. This case underscores the need to establish treatment guidelines for this malignancy with a poor prognosis, given the paucity of randomized clinical trials.

Abstract Image

Abstract Image

Abstract Image

原发性食道小细胞癌1例。
食管小细胞癌是一种罕见的侵袭性食管癌。我们报告一例69岁女性患者,因固体食物吞咽困难6个月,经食管胃十二指肠镜检查发现食管近端有溃疡肿块。活检结果与食管小细胞癌一致。在分期研究中发现患者有远端转移到胃淋巴结。她接受了化疗,最初的疾病得到了缓解,但4年后,她出现了肺部和脑部的转移性疾病。鉴于缺乏随机临床试验,该病例强调了为这种预后不良的恶性肿瘤制定治疗指南的必要性。
本文章由计算机程序翻译,如有差异,请以英文原文为准。
求助全文
约1分钟内获得全文 求助全文
来源期刊
CiteScore
1.90
自引率
0.00%
发文量
165
审稿时长
12 weeks
期刊介绍: The AFMR is committed to enhancing the training and career development of our members and to furthering its mission to facilitate the conduct of research to improve medical care. Case reports represent an important avenue for trainees (interns, residents, and fellows) and early-stage faculty to demonstrate productive, scholarly activity.
×
引用
GB/T 7714-2015
复制
MLA
复制
APA
复制
导出至
BibTeX EndNote RefMan NoteFirst NoteExpress
×
提示
您的信息不完整,为了账户安全,请先补充。
现在去补充
×
提示
您因"违规操作"
具体请查看互助需知
我知道了
×
提示
确定
请完成安全验证×
copy
已复制链接
快去分享给好友吧!
我知道了
右上角分享
点击右上角分享
0
联系我们:info@booksci.cn Book学术提供免费学术资源搜索服务,方便国内外学者检索中英文文献。致力于提供最便捷和优质的服务体验。 Copyright © 2023 布克学术 All rights reserved.
京ICP备2023020795号-1
ghs 京公网安备 11010802042870号
Book学术文献互助
Book学术文献互助群
群 号:604180095
Book学术官方微信