Outcomes in Open Reduction and Internal Fixation of Tarsometatarsal (Lisfranc) Injuries: A Contemporary Review of Fixation Constructs.

Foot & Ankle Orthopaedics Pub Date : 2025-07-28 eCollection Date: 2025-07-01 DOI:10.1177/24730114251352519
Adrian J Talia, Sasha Roshan-Zamir, David W Shepherd
{"title":"Outcomes in Open Reduction and Internal Fixation of Tarsometatarsal (Lisfranc) Injuries: A Contemporary Review of Fixation Constructs.","authors":"Adrian J Talia, Sasha Roshan-Zamir, David W Shepherd","doi":"10.1177/24730114251352519","DOIUrl":null,"url":null,"abstract":"<p><p>Visual AbstractThis is a visual representation of the abstract.</p>","PeriodicalId":12429,"journal":{"name":"Foot & Ankle Orthopaedics","volume":"10 3","pages":"24730114251352519"},"PeriodicalIF":0.0000,"publicationDate":"2025-07-28","publicationTypes":"Journal Article","fieldsOfStudy":null,"isOpenAccess":false,"openAccessPdf":"https://www.ncbi.nlm.nih.gov/pmc/articles/PMC12314232/pdf/","citationCount":"0","resultStr":null,"platform":"Semanticscholar","paperid":null,"PeriodicalName":"Foot & Ankle Orthopaedics","FirstCategoryId":"1085","ListUrlMain":"https://doi.org/10.1177/24730114251352519","RegionNum":0,"RegionCategory":null,"ArticlePicture":[],"TitleCN":null,"AbstractTextCN":null,"PMCID":null,"EPubDate":"2025/7/1 0:00:00","PubModel":"eCollection","JCR":"","JCRName":"","Score":null,"Total":0}
引用次数: 0

Abstract

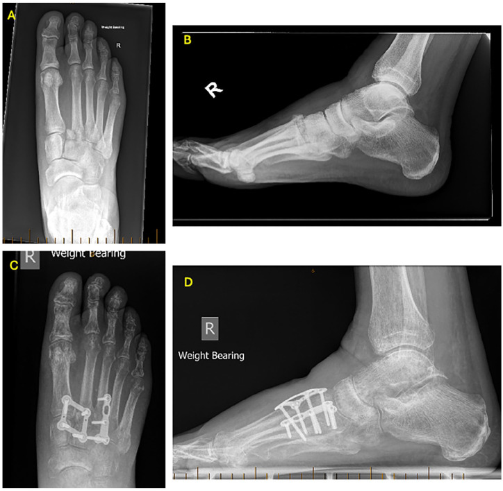
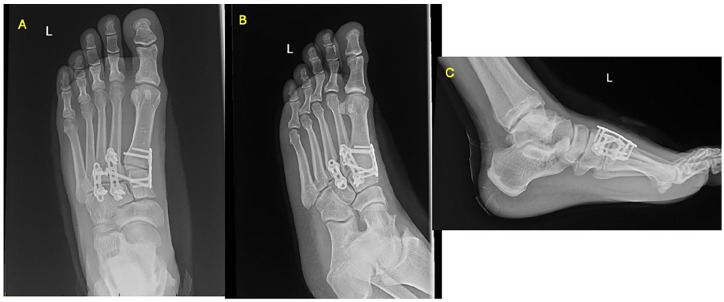
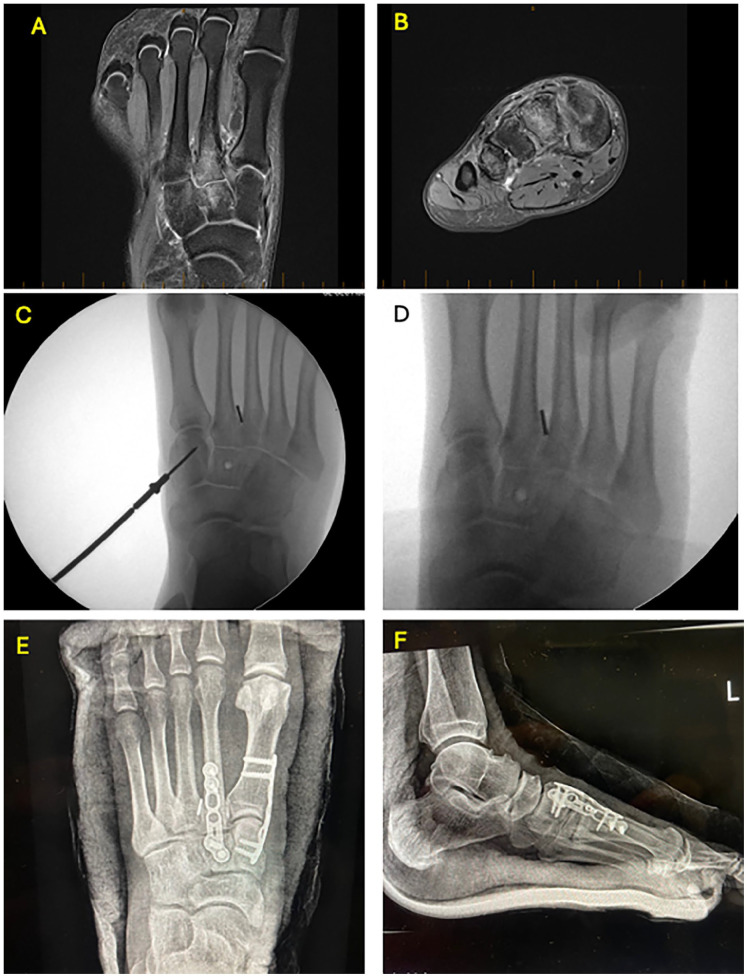
Visual AbstractThis is a visual representation of the abstract.

Abstract Image

Abstract Image

Abstract Image

跗跖骨(Lisfranc)损伤的切开复位和内固定的结果:固定结构的当代回顾。
视觉抽象这是抽象的视觉表示。
本文章由计算机程序翻译,如有差异,请以英文原文为准。
求助全文
约1分钟内获得全文 求助全文
来源期刊
Foot & Ankle Orthopaedics
Foot & Ankle Orthopaedics Medicine-Orthopedics and Sports Medicine
CiteScore
1.20
自引率
0.00%
发文量
1152
×
引用
GB/T 7714-2015
复制
MLA
复制
APA
复制
导出至
BibTeX EndNote RefMan NoteFirst NoteExpress
×
提示
您的信息不完整,为了账户安全,请先补充。
现在去补充
×
提示
您因"违规操作"
具体请查看互助需知
我知道了
×
提示
确定
请完成安全验证×
copy
已复制链接
快去分享给好友吧!
我知道了
右上角分享
点击右上角分享
0
联系我们:info@booksci.cn Book学术提供免费学术资源搜索服务,方便国内外学者检索中英文文献。致力于提供最便捷和优质的服务体验。 Copyright © 2023 布克学术 All rights reserved.
京ICP备2023020795号-1
ghs 京公网安备 11010802042870号
Book学术文献互助
Book学术文献互助群
群 号:604180095
Book学术官方微信