Hypopharyngeal Rupture Following Indirect Neck Trauma due to a Car Accident in a 64-Year-Old Patient: A Case Report.

IF 0.7 Q3 MEDICINE, GENERAL & INTERNAL
Case Reports in Medicine Pub Date : 2025-07-26 eCollection Date: 2025-01-01 DOI:10.1155/carm/9933178
Kiana Babaei, Ali Movahedi, Amirsadegh Alimardani
{"title":"Hypopharyngeal Rupture Following Indirect Neck Trauma due to a Car Accident in a 64-Year-Old Patient: A Case Report.","authors":"Kiana Babaei, Ali Movahedi, Amirsadegh Alimardani","doi":"10.1155/carm/9933178","DOIUrl":null,"url":null,"abstract":"<p><p><b>Introduction:</b> Hypopharyngeal rupture caused by indirect neck trauma is a rare but potentially life-threatening injury. Delayed diagnosis can lead to severe complications, highlighting the importance of clinical suspicion and appropriate imaging. <b>Case Presentation:</b> A 64-year-old male patient sustained indirect neck trauma following a car accident. He was initially transferred to the hospital with mild symptoms and was discharged. However, a few hours later, he returned to the emergency department with neck pain, odynophagia, and dysphagia. CT imaging revealed evidence of hypopharyngeal rupture accompanied by retropharyngeal emphysema. The patient was managed conservatively with Nil Per Os (NPO), intravenous antibiotics, and the placement of a nasogastric (NG) tube. He achieved full recovery without complications. <b>Conclusion:</b> This case emphasizes the importance of thoroughly evaluating the relationship between clinical complaints and the mechanism of injury in patients with indirect neck trauma. High clinical suspicion, detailed history-taking, and appropriate imaging modalities are crucial for early diagnosis and effective management.</p>","PeriodicalId":9627,"journal":{"name":"Case Reports in Medicine","volume":"2025 ","pages":"9933178"},"PeriodicalIF":0.7000,"publicationDate":"2025-07-26","publicationTypes":"Journal Article","fieldsOfStudy":null,"isOpenAccess":false,"openAccessPdf":"https://www.ncbi.nlm.nih.gov/pmc/articles/PMC12317808/pdf/","citationCount":"0","resultStr":null,"platform":"Semanticscholar","paperid":null,"PeriodicalName":"Case Reports in Medicine","FirstCategoryId":"1085","ListUrlMain":"https://doi.org/10.1155/carm/9933178","RegionNum":0,"RegionCategory":null,"ArticlePicture":[],"TitleCN":null,"AbstractTextCN":null,"PMCID":null,"EPubDate":"2025/1/1 0:00:00","PubModel":"eCollection","JCR":"Q3","JCRName":"MEDICINE, GENERAL & INTERNAL","Score":null,"Total":0}
引用次数: 0

Abstract

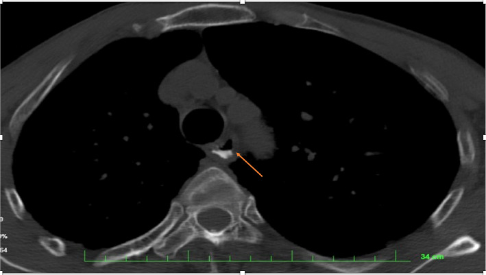
Introduction: Hypopharyngeal rupture caused by indirect neck trauma is a rare but potentially life-threatening injury. Delayed diagnosis can lead to severe complications, highlighting the importance of clinical suspicion and appropriate imaging. Case Presentation: A 64-year-old male patient sustained indirect neck trauma following a car accident. He was initially transferred to the hospital with mild symptoms and was discharged. However, a few hours later, he returned to the emergency department with neck pain, odynophagia, and dysphagia. CT imaging revealed evidence of hypopharyngeal rupture accompanied by retropharyngeal emphysema. The patient was managed conservatively with Nil Per Os (NPO), intravenous antibiotics, and the placement of a nasogastric (NG) tube. He achieved full recovery without complications. Conclusion: This case emphasizes the importance of thoroughly evaluating the relationship between clinical complaints and the mechanism of injury in patients with indirect neck trauma. High clinical suspicion, detailed history-taking, and appropriate imaging modalities are crucial for early diagnosis and effective management.

Abstract Image

Abstract Image

64岁车祸致颈部间接创伤后下咽破裂1例。
简介:间接颈部外伤引起的下咽破裂是一种罕见但可能危及生命的损伤。延迟诊断可导致严重的并发症,强调临床怀疑和适当影像学的重要性。病例介绍:一名64岁男性患者在车祸后遭受间接颈部创伤。他最初因症状轻微被转移到医院,并已出院。然而,几小时后,他因颈部疼痛、吞咽困难和吞咽困难而回到急诊室。CT表现为下咽破裂伴咽后肺气肿。对患者进行保守治疗,给予无氧氧离子(NPO),静脉注射抗生素,并放置鼻胃管(NG)。他完全康复,没有并发症。结论:本病例强调了全面评估颈部间接创伤患者临床主诉与损伤机制之间关系的重要性。高度的临床怀疑、详细的病史记录和适当的成像方式是早期诊断和有效管理的关键。
本文章由计算机程序翻译,如有差异,请以英文原文为准。
求助全文
约1分钟内获得全文 求助全文
来源期刊
Case Reports in Medicine
Case Reports in Medicine MEDICINE, GENERAL & INTERNAL-
CiteScore
1.70
自引率
0.00%
发文量
53
审稿时长
13 weeks
×
引用
GB/T 7714-2015
复制
MLA
复制
APA
复制
导出至
BibTeX EndNote RefMan NoteFirst NoteExpress
×
提示
您的信息不完整,为了账户安全,请先补充。
现在去补充
×
提示
您因"违规操作"
具体请查看互助需知
我知道了
×
提示
确定
请完成安全验证×
copy
已复制链接
快去分享给好友吧!
我知道了
右上角分享
点击右上角分享
0
联系我们:info@booksci.cn Book学术提供免费学术资源搜索服务,方便国内外学者检索中英文文献。致力于提供最便捷和优质的服务体验。 Copyright © 2023 布克学术 All rights reserved.
京ICP备2023020795号-1
ghs 京公网安备 11010802042870号
Book学术文献互助
Book学术文献互助群
群 号:604180095
Book学术官方微信