Heterozygous Mutations of PTEN in Macrocephaly Patient With Epilepsy: A Case Report.

IF 0.7 Q3 MEDICINE, GENERAL & INTERNAL
Case Reports in Medicine Pub Date : 2025-07-25 eCollection Date: 2025-01-01 DOI:10.1155/carm/5190615
Lan Wang, Yilin Su, Mingshu Mo
{"title":"Heterozygous Mutations of PTEN in Macrocephaly Patient With Epilepsy: A Case Report.","authors":"Lan Wang, Yilin Su, Mingshu Mo","doi":"10.1155/carm/5190615","DOIUrl":null,"url":null,"abstract":"<p><p>Phosphatase and tensin homolog (PTEN), a tumor suppressor gene, is also associated with neurological phenotypes, including macrocephaly, Cowden syndrome, and autism spectrum disorder. We present a 34-year-old Chinese male who complained of recurrent seizures within one year. His occipital frontal circumference was 62.8 cm. Whole-exon sequencing revealed that he carried a heterozygous missense mutation of NM_000314.4:c.4375C > T (p.Met35Val) in PTEN gene. Therefore, heterozygous mutations of c.103A > G in PTEN may increase the risk of macrocephaly with epilepsy.</p>","PeriodicalId":9627,"journal":{"name":"Case Reports in Medicine","volume":"2025 ","pages":"5190615"},"PeriodicalIF":0.7000,"publicationDate":"2025-07-25","publicationTypes":"Journal Article","fieldsOfStudy":null,"isOpenAccess":false,"openAccessPdf":"https://www.ncbi.nlm.nih.gov/pmc/articles/PMC12316507/pdf/","citationCount":"0","resultStr":null,"platform":"Semanticscholar","paperid":null,"PeriodicalName":"Case Reports in Medicine","FirstCategoryId":"1085","ListUrlMain":"https://doi.org/10.1155/carm/5190615","RegionNum":0,"RegionCategory":null,"ArticlePicture":[],"TitleCN":null,"AbstractTextCN":null,"PMCID":null,"EPubDate":"2025/1/1 0:00:00","PubModel":"eCollection","JCR":"Q3","JCRName":"MEDICINE, GENERAL & INTERNAL","Score":null,"Total":0}
引用次数: 0

Abstract

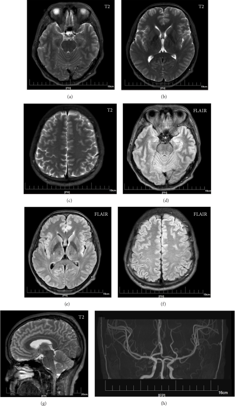
Phosphatase and tensin homolog (PTEN), a tumor suppressor gene, is also associated with neurological phenotypes, including macrocephaly, Cowden syndrome, and autism spectrum disorder. We present a 34-year-old Chinese male who complained of recurrent seizures within one year. His occipital frontal circumference was 62.8 cm. Whole-exon sequencing revealed that he carried a heterozygous missense mutation of NM_000314.4:c.4375C > T (p.Met35Val) in PTEN gene. Therefore, heterozygous mutations of c.103A > G in PTEN may increase the risk of macrocephaly with epilepsy.

Abstract Image

Abstract Image

巨头畸形伴癫痫患者PTEN杂合突变1例。
磷酸酶和紧张素同源物(PTEN)是一种肿瘤抑制基因,也与神经系统表型相关,包括大头畸形、考登综合征和自闭症谱系障碍。我们报告一位34岁的中国男性,在一年内自诉反复发作。枕额围62.8 cm。全外显子测序结果显示,他携带一个杂合错义突变NM_000314.4:c。PTEN基因中的4375C > T (p.Met35Val)。因此,PTEN中c.103A > G的杂合突变可能会增加癫痫大头畸形的风险。
本文章由计算机程序翻译,如有差异,请以英文原文为准。
求助全文
约1分钟内获得全文 求助全文
来源期刊
Case Reports in Medicine
Case Reports in Medicine MEDICINE, GENERAL & INTERNAL-
CiteScore
1.70
自引率
0.00%
发文量
53
审稿时长
13 weeks
×
引用
GB/T 7714-2015
复制
MLA
复制
APA
复制
导出至
BibTeX EndNote RefMan NoteFirst NoteExpress
×
提示
您的信息不完整,为了账户安全,请先补充。
现在去补充
×
提示
您因"违规操作"
具体请查看互助需知
我知道了
×
提示
确定
请完成安全验证×
copy
已复制链接
快去分享给好友吧!
我知道了
右上角分享
点击右上角分享
0
联系我们:info@booksci.cn Book学术提供免费学术资源搜索服务,方便国内外学者检索中英文文献。致力于提供最便捷和优质的服务体验。 Copyright © 2023 布克学术 All rights reserved.
京ICP备2023020795号-1
ghs 京公网安备 11010802042870号
Book学术文献互助
Book学术文献互助群
群 号:604180095
Book学术官方微信