Successful Use of Corticosteroids to Accelerate Recovery in Severe Autoimmune-like Hepatitis From Isoniazid.

IF 0.5 Q4 GASTROENTEROLOGY & HEPATOLOGY
Amir Sultan Seid, Oyedele Adeyi, Mary Thomson
{"title":"Successful Use of Corticosteroids to Accelerate Recovery in Severe Autoimmune-like Hepatitis From Isoniazid.","authors":"Amir Sultan Seid, Oyedele Adeyi, Mary Thomson","doi":"10.14309/crj.0000000000001777","DOIUrl":null,"url":null,"abstract":"<p><p>Drug-induced autoimmune-like hepatitis represents a distinct phenotype of drug-induced liver injury characterized by clinical, biochemical, and/or histological features resembling autoimmune hepatitis. We present a case of severe Isoniazid (INH) -induced drug-induced autoimmune-like hepatitis in a 62-year-old man with a dramatic response to corticosteroid therapy after INH discontinuation alone proved insufficient. Initial laboratory tests showed markedly elevated transaminases and profound hyperbilirubinemia. Despite INH discontinuation, his clinical condition did not improve. Liver biopsy revealed severe acute hepatitis with interface hepatitis, lymphoplasmacytic infiltration, and multiple foci of lobular confluent necrosis. Prednisone therapy led to rapid clinical improvement and normalization of liver biochemistries over 3 months.</p>","PeriodicalId":7394,"journal":{"name":"ACG Case Reports Journal","volume":"12 8","pages":"e01777"},"PeriodicalIF":0.5000,"publicationDate":"2025-08-01","publicationTypes":"Journal Article","fieldsOfStudy":null,"isOpenAccess":false,"openAccessPdf":"https://www.ncbi.nlm.nih.gov/pmc/articles/PMC12316346/pdf/","citationCount":"0","resultStr":null,"platform":"Semanticscholar","paperid":null,"PeriodicalName":"ACG Case Reports Journal","FirstCategoryId":"1085","ListUrlMain":"https://doi.org/10.14309/crj.0000000000001777","RegionNum":0,"RegionCategory":null,"ArticlePicture":[],"TitleCN":null,"AbstractTextCN":null,"PMCID":null,"EPubDate":"","PubModel":"","JCR":"Q4","JCRName":"GASTROENTEROLOGY & HEPATOLOGY","Score":null,"Total":0}
引用次数: 0

Abstract

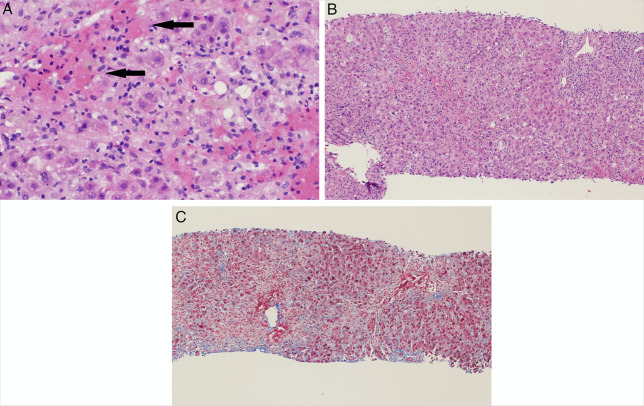
Drug-induced autoimmune-like hepatitis represents a distinct phenotype of drug-induced liver injury characterized by clinical, biochemical, and/or histological features resembling autoimmune hepatitis. We present a case of severe Isoniazid (INH) -induced drug-induced autoimmune-like hepatitis in a 62-year-old man with a dramatic response to corticosteroid therapy after INH discontinuation alone proved insufficient. Initial laboratory tests showed markedly elevated transaminases and profound hyperbilirubinemia. Despite INH discontinuation, his clinical condition did not improve. Liver biopsy revealed severe acute hepatitis with interface hepatitis, lymphoplasmacytic infiltration, and multiple foci of lobular confluent necrosis. Prednisone therapy led to rapid clinical improvement and normalization of liver biochemistries over 3 months.

Abstract Image

Abstract Image

成功使用皮质类固醇加速异烟肼引起的严重自身免疫性肝炎的恢复。
药物性自身免疫样肝炎是一种独特的药物性肝损伤表型,其临床、生化和/或组织学特征与自身免疫性肝炎相似。我们报告了一例严重的异烟肼(INH)诱导的药物诱导的自身免疫样肝炎,患者为62岁男性,在INH停止治疗后,皮质类固醇治疗的显著反应被证明是不够的。最初的实验室检查显示转氨酶明显升高和深度高胆红素血症。尽管停用INH,他的临床状况没有改善。肝活检显示严重急性肝炎伴界面肝炎,淋巴浆细胞浸润,小叶融合坏死多发灶。强的松治疗3个月后临床改善迅速,肝脏生化指标恢复正常。
本文章由计算机程序翻译,如有差异,请以英文原文为准。
求助全文
约1分钟内获得全文 求助全文
来源期刊
ACG Case Reports Journal
ACG Case Reports Journal GASTROENTEROLOGY & HEPATOLOGY-
自引率
14.30%
发文量
170
审稿时长
12 weeks
期刊介绍: ACG Case Reports Journal is a peer-reviewed, open-access publication that provides GI and hepatology fellows, private practice clinicians, and other healthcare providers an opportunity to share interesting case reports with their peers and with leaders in the field. ACG Case Reports Journal publishes case reports, images, videos and letters to the editor in all topics of gastroenterology and hepatology, including: Biliary Colon Endoscopy Esophagus Functional Bowel Disorders Inflammatory Bowel Disease Liver Nutrition and Obesity Pancreas Pathology Pediatric Small Bowel Stomach.
×
引用
GB/T 7714-2015
复制
MLA
复制
APA
复制
导出至
BibTeX EndNote RefMan NoteFirst NoteExpress
×
提示
您的信息不完整,为了账户安全,请先补充。
现在去补充
×
提示
您因"违规操作"
具体请查看互助需知
我知道了
×
提示
确定
请完成安全验证×
copy
已复制链接
快去分享给好友吧!
我知道了
右上角分享
点击右上角分享
0
联系我们:info@booksci.cn Book学术提供免费学术资源搜索服务,方便国内外学者检索中英文文献。致力于提供最便捷和优质的服务体验。 Copyright © 2023 布克学术 All rights reserved.
京ICP备2023020795号-1
ghs 京公网安备 11010802042870号
Book学术文献互助
Book学术文献互助群
群 号:604180095
Book学术官方微信