Co-occurrence of Wilson’s Disease and Spinocerebellar Ataxia Type 3 in a Chinese Patient

IF 2.1 4区 医学 Q3 CLINICAL NEUROLOGY
Lei Xu, Zhi-feng Hou, Yan-xin Wang, Ming-zhu Ni, Chuan-feng Zhang
{"title":"Co-occurrence of Wilson’s Disease and Spinocerebellar Ataxia Type 3 in a Chinese Patient","authors":"Lei Xu, Zhi-feng Hou, Yan-xin Wang, Ming-zhu Ni, Chuan-feng Zhang","doi":"10.1007/s13760-025-02852-6","DOIUrl":null,"url":null,"abstract":"","PeriodicalId":7042,"journal":{"name":"Acta neurologica Belgica","volume":"125 5","pages":"1455 - 1459"},"PeriodicalIF":2.1000,"publicationDate":"2025-08-04","publicationTypes":"Journal Article","fieldsOfStudy":null,"isOpenAccess":false,"openAccessPdf":"","citationCount":"0","resultStr":null,"platform":"Semanticscholar","paperid":null,"PeriodicalName":"Acta neurologica Belgica","FirstCategoryId":"3","ListUrlMain":"https://link.springer.com/article/10.1007/s13760-025-02852-6","RegionNum":4,"RegionCategory":"医学","ArticlePicture":[],"TitleCN":null,"AbstractTextCN":null,"PMCID":null,"EPubDate":"","PubModel":"","JCR":"Q3","JCRName":"CLINICAL NEUROLOGY","Score":null,"Total":0}
引用次数: 0

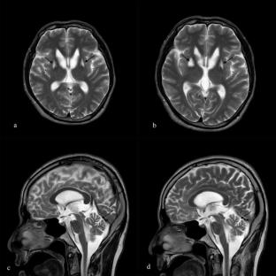
Abstract Image

肝豆状核变性与脊髓小脑性共济失调3型共发1例。
本文章由计算机程序翻译,如有差异,请以英文原文为准。
求助全文
约1分钟内获得全文 求助全文
来源期刊
Acta neurologica Belgica
Acta neurologica Belgica 医学-临床神经学
CiteScore
4.20
自引率
3.70%
发文量
300
审稿时长
6-12 weeks
期刊介绍: Peer-reviewed and published quarterly, Acta Neurologica Belgicapresents original articles in the clinical and basic neurosciences, and also reports the proceedings and the abstracts of the scientific meetings of the different partner societies. The contents include commentaries, editorials, review articles, case reports, neuro-images of interest, book reviews and letters to the editor. Acta Neurologica Belgica is the official journal of the following national societies: Belgian Neurological Society Belgian Society for Neuroscience Belgian Society of Clinical Neurophysiology Belgian Pediatric Neurology Society Belgian Study Group of Multiple Sclerosis Belgian Stroke Council Belgian Headache Society Belgian Study Group of Neuropathology
×
引用
GB/T 7714-2015
复制
MLA
复制
APA
复制
导出至
BibTeX EndNote RefMan NoteFirst NoteExpress
×
提示
您的信息不完整,为了账户安全,请先补充。
现在去补充
×
提示
您因"违规操作"
具体请查看互助需知
我知道了
×
提示
确定
请完成安全验证×
copy
已复制链接
快去分享给好友吧!
我知道了
右上角分享
点击右上角分享
0
联系我们:info@booksci.cn Book学术提供免费学术资源搜索服务,方便国内外学者检索中英文文献。致力于提供最便捷和优质的服务体验。 Copyright © 2023 布克学术 All rights reserved.
京ICP备2023020795号-1
ghs 京公网安备 11010802042870号
Book学术文献互助
Book学术文献互助群
群 号:604180095
Book学术官方微信