“Phenotypic and genotypic insights, counseling strategies, and follow-up in 24 individuals with filamin a deficiency: findings from a retrospective cohort study”

IF 2.1 4区 医学 Q3 CLINICAL NEUROLOGY
Ellen Rijckmans, Lars De Strooper, Kathelijn Keymolen, Jessica Rosenblum, Bart Loeys, Marije Meuwissen, Anna C. Jansen, Katrien Stouffs
{"title":"“Phenotypic and genotypic insights, counseling strategies, and follow-up in 24 individuals with filamin a deficiency: findings from a retrospective cohort study”","authors":"Ellen Rijckmans,&nbsp;Lars De Strooper,&nbsp;Kathelijn Keymolen,&nbsp;Jessica Rosenblum,&nbsp;Bart Loeys,&nbsp;Marije Meuwissen,&nbsp;Anna C. Jansen,&nbsp;Katrien Stouffs","doi":"10.1007/s13760-025-02858-0","DOIUrl":null,"url":null,"abstract":"<div><h3>Background</h3><p>Filamin A (FLNA) is an actin-binding protein involved in cytoskeleton organization and cell migration. Loss-of-function (LOF) variants give rise to a wide variety of symptoms with periventricular nodular heterotopia (PVNH) and epilepsy as the most common features. FLNA deficiency manifests as a multisystemic disorder with abnormalities of connective tissue and involvement of the cardiovascular, pulmonary, gastrointestinal and hematological system. Affected individuals need a multidisciplinary follow-up, but guidelines are lacking. Here, we present findings from a monocentric cross-sectional cohort study as a basis for improving clinical practices and surveillance for individuals with FLNA deficiency.</p><h3>Results</h3><p>24 index patients with FLNA deficiency were identified. In the cohort, 23 patients exhibited clinical features of PVNH, while one individual presented with congenital pulmonary airway malformation (CPAM). The incidence of clinical features such as epilepsy (84%) and cardiovascular involvement (56%) align with previously published cohorts. Systematic multidisciplinary follow-up, particularly regular cardiological screening, was lacking in a significant number of individuals. Additionally, lesser-known symptoms such as constipation and thrombocytopenia were underreported, highlighting the need for comprehensive phenotypic assessment in FLNA deficiency.</p><h3>Conclusion</h3><p>The incidence of clinical features in this tertiary cohort aligns with existing literature. The absence of uniform and multidisciplinary guidelines hampers effective surveillance and management. Implementation of regular cardiological screening and increased awareness of less overt symptoms could improve medical outcomes for individuals with pathogenic <i>FLNA</i> variants.</p></div>","PeriodicalId":7042,"journal":{"name":"Acta neurologica Belgica","volume":"125 5","pages":"1347 - 1356"},"PeriodicalIF":2.1000,"publicationDate":"2025-08-04","publicationTypes":"Journal Article","fieldsOfStudy":null,"isOpenAccess":false,"openAccessPdf":"","citationCount":"0","resultStr":null,"platform":"Semanticscholar","paperid":null,"PeriodicalName":"Acta neurologica Belgica","FirstCategoryId":"3","ListUrlMain":"https://link.springer.com/article/10.1007/s13760-025-02858-0","RegionNum":4,"RegionCategory":"医学","ArticlePicture":[],"TitleCN":null,"AbstractTextCN":null,"PMCID":null,"EPubDate":"","PubModel":"","JCR":"Q3","JCRName":"CLINICAL NEUROLOGY","Score":null,"Total":0}
引用次数: 0

Abstract

Background

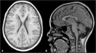
Filamin A (FLNA) is an actin-binding protein involved in cytoskeleton organization and cell migration. Loss-of-function (LOF) variants give rise to a wide variety of symptoms with periventricular nodular heterotopia (PVNH) and epilepsy as the most common features. FLNA deficiency manifests as a multisystemic disorder with abnormalities of connective tissue and involvement of the cardiovascular, pulmonary, gastrointestinal and hematological system. Affected individuals need a multidisciplinary follow-up, but guidelines are lacking. Here, we present findings from a monocentric cross-sectional cohort study as a basis for improving clinical practices and surveillance for individuals with FLNA deficiency.

Results

24 index patients with FLNA deficiency were identified. In the cohort, 23 patients exhibited clinical features of PVNH, while one individual presented with congenital pulmonary airway malformation (CPAM). The incidence of clinical features such as epilepsy (84%) and cardiovascular involvement (56%) align with previously published cohorts. Systematic multidisciplinary follow-up, particularly regular cardiological screening, was lacking in a significant number of individuals. Additionally, lesser-known symptoms such as constipation and thrombocytopenia were underreported, highlighting the need for comprehensive phenotypic assessment in FLNA deficiency.

Conclusion

The incidence of clinical features in this tertiary cohort aligns with existing literature. The absence of uniform and multidisciplinary guidelines hampers effective surveillance and management. Implementation of regular cardiological screening and increased awareness of less overt symptoms could improve medical outcomes for individuals with pathogenic FLNA variants.

Abstract Image

“24例丝蛋白a缺乏症患者的表型和基因型观察、咨询策略和随访:来自回顾性队列研究的结果”。
背景:丝蛋白A (FLNA)是一种参与细胞骨架组织和细胞迁移的肌动蛋白结合蛋白。功能丧失(LOF)变异引起多种症状,心室周围结节性异位(PVNH)和癫痫是最常见的特征。FLNA缺乏表现为一种多系统疾病,伴有结缔组织异常,并累及心血管、肺、胃肠和血液系统。受影响的个体需要多学科随访,但缺乏指导方针。在这里,我们提出了一项单中心横断面队列研究的结果,作为改善FLNA缺乏个体的临床实践和监测的基础。结果:共发现24例FLNA缺乏症患者。在队列中,23例患者表现出PVNH的临床特征,1例患者表现为先天性肺气道畸形(CPAM)。癫痫(84%)和心血管受累(56%)等临床特征的发生率与先前发表的队列一致。系统的多学科随访,特别是定期的心脏病筛查,在相当数量的个体中缺乏。此外,鲜为人知的症状,如便秘和血小板减少被低估,强调需要对FLNA缺乏进行全面的表型评估。结论:该三级队列的临床特征发生率与现有文献相符。缺乏统一的多学科指导方针妨碍了有效的监督和管理。实施定期的心脏病筛查和提高对不太明显症状的认识可以改善具有致病性FLNA变异的个体的医疗结果。
本文章由计算机程序翻译,如有差异,请以英文原文为准。
求助全文
约1分钟内获得全文 求助全文
来源期刊
Acta neurologica Belgica
Acta neurologica Belgica 医学-临床神经学
CiteScore
4.20
自引率
3.70%
发文量
300
审稿时长
6-12 weeks
期刊介绍: Peer-reviewed and published quarterly, Acta Neurologica Belgicapresents original articles in the clinical and basic neurosciences, and also reports the proceedings and the abstracts of the scientific meetings of the different partner societies. The contents include commentaries, editorials, review articles, case reports, neuro-images of interest, book reviews and letters to the editor. Acta Neurologica Belgica is the official journal of the following national societies: Belgian Neurological Society Belgian Society for Neuroscience Belgian Society of Clinical Neurophysiology Belgian Pediatric Neurology Society Belgian Study Group of Multiple Sclerosis Belgian Stroke Council Belgian Headache Society Belgian Study Group of Neuropathology
×
引用
GB/T 7714-2015
复制
MLA
复制
APA
复制
导出至
BibTeX EndNote RefMan NoteFirst NoteExpress
×
提示
您的信息不完整,为了账户安全,请先补充。
现在去补充
×
提示
您因"违规操作"
具体请查看互助需知
我知道了
×
提示
确定
请完成安全验证×
copy
已复制链接
快去分享给好友吧!
我知道了
右上角分享
点击右上角分享
0
联系我们:info@booksci.cn Book学术提供免费学术资源搜索服务,方便国内外学者检索中英文文献。致力于提供最便捷和优质的服务体验。 Copyright © 2023 布克学术 All rights reserved.
京ICP备2023020795号-1
ghs 京公网安备 11010802042870号
Book学术文献互助
Book学术文献互助群
群 号:604180095
Book学术官方微信