The Role of Bone Scintigraphy in Detection of Disseminated Coccidioides Fungemia.

IF 1.1 Q4 RADIOLOGY, NUCLEAR MEDICINE & MEDICAL IMAGING
Turgut Bora Cengiz, Caroline Diane Wilson
{"title":"The Role of Bone Scintigraphy in Detection of Disseminated Coccidioides Fungemia.","authors":"Turgut Bora Cengiz, Caroline Diane Wilson","doi":"10.4274/mirt.galenos.2025.65471","DOIUrl":null,"url":null,"abstract":"<p><p>Although extrapulmonary Coccidioides infection is rare, it has been shown to disseminate to the skin and musculoskeletal system, with a strong affinity for bone. We present a case of disseminated Coccidioides infection with bone scintigraphy indicating diffuse fungemia despite equivocal serum assay, leading to appropriate antifungal therapy and a full recovery.</p>","PeriodicalId":44681,"journal":{"name":"Molecular Imaging and Radionuclide Therapy","volume":" ","pages":"228-230"},"PeriodicalIF":1.1000,"publicationDate":"2025-10-08","publicationTypes":"Journal Article","fieldsOfStudy":null,"isOpenAccess":false,"openAccessPdf":"https://www.ncbi.nlm.nih.gov/pmc/articles/PMC12505207/pdf/","citationCount":"0","resultStr":null,"platform":"Semanticscholar","paperid":null,"PeriodicalName":"Molecular Imaging and Radionuclide Therapy","FirstCategoryId":"1085","ListUrlMain":"https://doi.org/10.4274/mirt.galenos.2025.65471","RegionNum":0,"RegionCategory":null,"ArticlePicture":[],"TitleCN":null,"AbstractTextCN":null,"PMCID":null,"EPubDate":"2025/8/1 0:00:00","PubModel":"Epub","JCR":"Q4","JCRName":"RADIOLOGY, NUCLEAR MEDICINE & MEDICAL IMAGING","Score":null,"Total":0}
引用次数: 0

Abstract

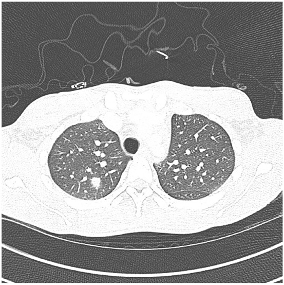
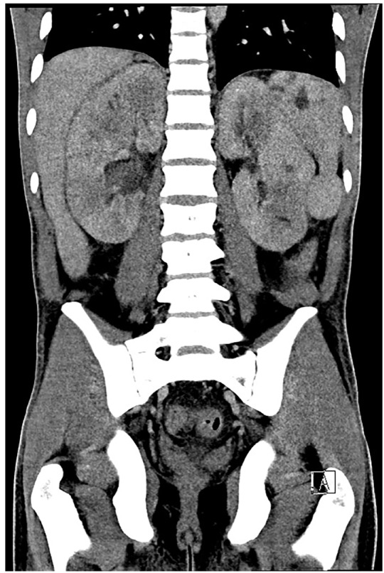
Although extrapulmonary Coccidioides infection is rare, it has been shown to disseminate to the skin and musculoskeletal system, with a strong affinity for bone. We present a case of disseminated Coccidioides infection with bone scintigraphy indicating diffuse fungemia despite equivocal serum assay, leading to appropriate antifungal therapy and a full recovery.

Abstract Image

Abstract Image

Abstract Image

骨显像在弥散性球虫真菌病检测中的作用。
虽然肺外球虫感染是罕见的,但它已被证明可以传播到皮肤和肌肉骨骼系统,对骨骼有很强的亲和力。我们提出一个播散性球虫感染的病例,骨显像显示弥漫性真菌血症,尽管模棱两可的血清测定,导致适当的抗真菌治疗和完全恢复。
本文章由计算机程序翻译,如有差异,请以英文原文为准。
求助全文
约1分钟内获得全文 求助全文
来源期刊
Molecular Imaging and Radionuclide Therapy
Molecular Imaging and Radionuclide Therapy RADIOLOGY, NUCLEAR MEDICINE & MEDICAL IMAGING-
CiteScore
1.30
自引率
0.00%
发文量
50
期刊介绍: Molecular Imaging and Radionuclide Therapy (Mol Imaging Radionucl Ther, MIRT) is publishes original research articles, invited reviews, editorials, short communications, letters, consensus statements, guidelines and case reports with a literature review on the topic, in the field of molecular imaging, multimodality imaging, nuclear medicine, radionuclide therapy, radiopharmacy, medical physics, dosimetry and radiobiology.
×
引用
GB/T 7714-2015
复制
MLA
复制
APA
复制
导出至
BibTeX EndNote RefMan NoteFirst NoteExpress
×
提示
您的信息不完整,为了账户安全,请先补充。
现在去补充
×
提示
您因"违规操作"
具体请查看互助需知
我知道了
×
提示
确定
请完成安全验证×
copy
已复制链接
快去分享给好友吧!
我知道了
右上角分享
点击右上角分享
0
联系我们:info@booksci.cn Book学术提供免费学术资源搜索服务,方便国内外学者检索中英文文献。致力于提供最便捷和优质的服务体验。 Copyright © 2023 布克学术 All rights reserved.
京ICP备2023020795号-1
ghs 京公网安备 11010802042870号
Book学术文献互助
Book学术文献互助群
群 号:604180095
Book学术官方微信