No difference in failure between static, articulating, and prosthetic low-friction spacers for periprosthetic joint infection of total knee arthroplasty.

IF 2.8 Q3 INFECTIOUS DISEASES
Journal of Bone and Joint Infection Pub Date : 2025-07-30 eCollection Date: 2025-01-01 DOI:10.5194/jbji-10-243-2025
Michael F Shannon, Timothy Edwards, Timothy Maurer, Andrew J Frear, Victoria R Wong, Shaan Sadhwani, Clair Smith, Anthony Kamson, Brian Omslaer, Christian Cisneros, Andrew Gordon, Akeem Williams, Neel B Shah, Kenneth L Urish
{"title":"No difference in failure between static, articulating, and prosthetic low-friction spacers for periprosthetic joint infection of total knee arthroplasty.","authors":"Michael F Shannon, Timothy Edwards, Timothy Maurer, Andrew J Frear, Victoria R Wong, Shaan Sadhwani, Clair Smith, Anthony Kamson, Brian Omslaer, Christian Cisneros, Andrew Gordon, Akeem Williams, Neel B Shah, Kenneth L Urish","doi":"10.5194/jbji-10-243-2025","DOIUrl":null,"url":null,"abstract":"<p><p><b>Introduction</b>: Two-stage revision with an antibiotic spacer is the gold-standard treatment of prosthetic joint infection (PJI) for total knee arthroplasty (TKA). Multiple spacer designs exist, including static, articulated, and prosthetic low-friction (PALF) spacers. However, current literature is limited on variant superiority for infection eradication. This study aimed to compare outcomes of two-stage exchange for TKA PJI between patients with static cement, articulated cement, and PALF spacers. <b>Methods</b>: This retrospective study included 93 patients who underwent two-stage revision for PJI following primary TKA and received a static ( <math><mrow><mi>n</mi> <mo>=</mo> <mn>17</mn></mrow> </math> ), articulating ( <math><mrow><mi>n</mi> <mo>=</mo> <mn>54</mn></mrow> </math> ), or low-friction ( <math><mrow><mi>n</mi> <mo>=</mo> <mn>22</mn></mrow> </math> ) spacer. The primary outcome was failure at 2 years, defined as spacer retention, reoperation, or death. Secondary outcomes included reimplantation and discontinued antibiotics by 1 year, time to failure, duration of hospital stay, functional measures, and adverse events. Outcomes were compared between groups using hypothesis testing for continuous or categorical measures. <b>Results</b>: At 2 years, no significant difference in failure was seen for static (58.82 %), articulating (35.19 %), and PALF (22.73 %) spacers ( <math><mrow><mi>p</mi> <mo>=</mo> <mn>0.064</mn></mrow> </math> ). Articulating spacers demonstrated greater range of motion than static spacers at the final follow-up ( <math><mrow><mi>p</mi> <mo>=</mo> <mn>0.0</mn></mrow> </math> 3). Static spacers were associated with a higher adverse-event frequency ( <math><mrow><mi>p</mi> <mo>=</mo> <mn>0.03</mn></mrow> </math> ). No other significant differences in outcomes were observed (all <math><mrow><mi>p</mi> <mo>></mo> <mn>0.05</mn></mrow> </math> ). <b>Conclusions</b>: The three spacer variants demonstrated similar failure rates for two-stage revision of TKA PJI at 2 years. Static spacers may lead to adverse events more frequently compared to other designs, and a longer interstage duration for prosthetic spacers may reflect greater functionality.</p>","PeriodicalId":15271,"journal":{"name":"Journal of Bone and Joint Infection","volume":"10 4","pages":"243-253"},"PeriodicalIF":2.8000,"publicationDate":"2025-07-30","publicationTypes":"Journal Article","fieldsOfStudy":null,"isOpenAccess":false,"openAccessPdf":"https://www.ncbi.nlm.nih.gov/pmc/articles/PMC12311390/pdf/","citationCount":"0","resultStr":null,"platform":"Semanticscholar","paperid":null,"PeriodicalName":"Journal of Bone and Joint Infection","FirstCategoryId":"1085","ListUrlMain":"https://doi.org/10.5194/jbji-10-243-2025","RegionNum":0,"RegionCategory":null,"ArticlePicture":[],"TitleCN":null,"AbstractTextCN":null,"PMCID":null,"EPubDate":"2025/1/1 0:00:00","PubModel":"eCollection","JCR":"Q3","JCRName":"INFECTIOUS DISEASES","Score":null,"Total":0}
引用次数: 0

Abstract

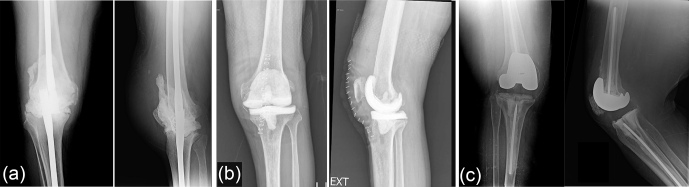
Introduction: Two-stage revision with an antibiotic spacer is the gold-standard treatment of prosthetic joint infection (PJI) for total knee arthroplasty (TKA). Multiple spacer designs exist, including static, articulated, and prosthetic low-friction (PALF) spacers. However, current literature is limited on variant superiority for infection eradication. This study aimed to compare outcomes of two-stage exchange for TKA PJI between patients with static cement, articulated cement, and PALF spacers. Methods: This retrospective study included 93 patients who underwent two-stage revision for PJI following primary TKA and received a static ( n = 17 ), articulating ( n = 54 ), or low-friction ( n = 22 ) spacer. The primary outcome was failure at 2 years, defined as spacer retention, reoperation, or death. Secondary outcomes included reimplantation and discontinued antibiotics by 1 year, time to failure, duration of hospital stay, functional measures, and adverse events. Outcomes were compared between groups using hypothesis testing for continuous or categorical measures. Results: At 2 years, no significant difference in failure was seen for static (58.82 %), articulating (35.19 %), and PALF (22.73 %) spacers ( p = 0.064 ). Articulating spacers demonstrated greater range of motion than static spacers at the final follow-up ( p = 0.0 3). Static spacers were associated with a higher adverse-event frequency ( p = 0.03 ). No other significant differences in outcomes were observed (all p > 0.05 ). Conclusions: The three spacer variants demonstrated similar failure rates for two-stage revision of TKA PJI at 2 years. Static spacers may lead to adverse events more frequently compared to other designs, and a longer interstage duration for prosthetic spacers may reflect greater functionality.

Abstract Image

Abstract Image

全膝关节置换术后假体周围关节感染的静态、关节和假体低摩擦垫片失败无差异。
前言:抗生素间隔剂的两阶段翻修是全膝关节置换术(TKA)假体关节感染(PJI)的金标准治疗。目前存在多种隔离器设计,包括静态、铰接式和假体低摩擦(PALF)隔离器。然而,目前的文献有限的变异优势的感染根除。本研究旨在比较采用静态骨水泥、关节骨水泥和PALF间隔剂进行TKA PJI两阶段交换的结果。方法:这项回顾性研究包括93例患者,他们在原发性TKA后接受了两期PJI翻修,并接受了静态(n = 17)、关节(n = 54)或低摩擦(n = 22)垫片。主要结局是2年失败,定义为垫片保留、再手术或死亡。次要结局包括重新植入和停用抗生素1年、失效时间、住院时间、功能测量和不良事件。使用连续或分类测量的假设检验比较各组之间的结果。结果:2年后,静态间隔器(58.82%)、关节间隔器(35.19%)和PALF间隔器(22.73%)的失败率无显著差异(p = 0.064)。在最后的随访中,关节垫片显示出比静态垫片更大的活动范围(p = 0.0 3)。静态间隔剂与较高的不良事件发生频率相关(p = 0.03)。其他结果无显著差异(均p < 0.05)。结论:三种间隔器变体在2年的TKA PJI两阶段翻修中表现出相似的失败率。与其他设计相比,静态隔离器可能更频繁地导致不良事件,并且假体隔离器的较长间隔时间可能反映出更大的功能。
本文章由计算机程序翻译,如有差异,请以英文原文为准。
求助全文
约1分钟内获得全文 求助全文
来源期刊
CiteScore
3.70
自引率
0.00%
发文量
29
审稿时长
12 weeks
×
引用
GB/T 7714-2015
复制
MLA
复制
APA
复制
导出至
BibTeX EndNote RefMan NoteFirst NoteExpress
×
提示
您的信息不完整,为了账户安全,请先补充。
现在去补充
×
提示
您因"违规操作"
具体请查看互助需知
我知道了
×
提示
确定
请完成安全验证×
copy
已复制链接
快去分享给好友吧!
我知道了
右上角分享
点击右上角分享
0
联系我们:info@booksci.cn Book学术提供免费学术资源搜索服务,方便国内外学者检索中英文文献。致力于提供最便捷和优质的服务体验。 Copyright © 2023 布克学术 All rights reserved.
京ICP备2023020795号-1
ghs 京公网安备 11010802042870号
Book学术文献互助
Book学术文献互助群
群 号:604180095
Book学术官方微信