Fetal Bradycardia in Last Trimester Imposed as Fetal Distress: Case Report.

IF 0.7 Q3 MEDICINE, GENERAL & INTERNAL
International Medical Case Reports Journal Pub Date : 2025-07-26 eCollection Date: 2025-01-01 DOI:10.2147/IMCRJ.S514045
Aisyah Shofiatun Nisa, Luthfi Rahman, Johanna Sharon Carolina, Adhi Pribadi, Alce Everdien, Ruswana Anwar
{"title":"Fetal Bradycardia in Last Trimester Imposed as Fetal Distress: Case Report.","authors":"Aisyah Shofiatun Nisa, Luthfi Rahman, Johanna Sharon Carolina, Adhi Pribadi, Alce Everdien, Ruswana Anwar","doi":"10.2147/IMCRJ.S514045","DOIUrl":null,"url":null,"abstract":"<p><strong>Objective: </strong>Atrioventricular block (AVB) is one of the most common causes of fetal bradyarrhythmia. This case highlights a misdiagnosis of fetal bradyarrhythmia as fetal distress and underscores the importance of accurately distinguishing fetal bradycardia from fetal distress through precise prenatal evaluation.</p><p><strong>Case report: </strong>A 33-year-old pregnant woman was referred to a tertiary care center after an initial diagnosis of suspected fetal distress at a local hospital. Due to limited resources and qualified clinicians to perform accurate diagnosis, further evaluation at the primary facility was not possible. Upon arrival at the tertiary center, one week later, fetal echocardiography was performed. The fetal heart rate was found to be persistently low at 60-70 beats per minute. Fetal echocardiography confirmed the presence of congenital heart disease along with a diagnosis of fetal bradyarrhythmia, most likely due to atrioventricular block.</p><p><strong>Conclusion: </strong>Fetal bradycardia may indicate the presence of congenital heart disease or conduction abnormalities such as AV block. Accurate diagnosis using fetal echocardiography is essential to distinguish true bradyarrhythmia from non-specific signs of fetal distress and guide appropriate management.</p>","PeriodicalId":14337,"journal":{"name":"International Medical Case Reports Journal","volume":"18 ","pages":"925-930"},"PeriodicalIF":0.7000,"publicationDate":"2025-07-26","publicationTypes":"Journal Article","fieldsOfStudy":null,"isOpenAccess":false,"openAccessPdf":"https://www.ncbi.nlm.nih.gov/pmc/articles/PMC12311231/pdf/","citationCount":"0","resultStr":null,"platform":"Semanticscholar","paperid":null,"PeriodicalName":"International Medical Case Reports Journal","FirstCategoryId":"1085","ListUrlMain":"https://doi.org/10.2147/IMCRJ.S514045","RegionNum":0,"RegionCategory":null,"ArticlePicture":[],"TitleCN":null,"AbstractTextCN":null,"PMCID":null,"EPubDate":"2025/1/1 0:00:00","PubModel":"eCollection","JCR":"Q3","JCRName":"MEDICINE, GENERAL & INTERNAL","Score":null,"Total":0}
引用次数: 0

Abstract

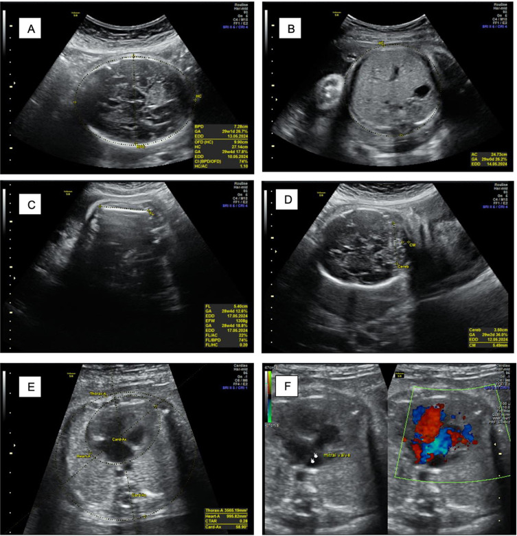
Objective: Atrioventricular block (AVB) is one of the most common causes of fetal bradyarrhythmia. This case highlights a misdiagnosis of fetal bradyarrhythmia as fetal distress and underscores the importance of accurately distinguishing fetal bradycardia from fetal distress through precise prenatal evaluation.

Case report: A 33-year-old pregnant woman was referred to a tertiary care center after an initial diagnosis of suspected fetal distress at a local hospital. Due to limited resources and qualified clinicians to perform accurate diagnosis, further evaluation at the primary facility was not possible. Upon arrival at the tertiary center, one week later, fetal echocardiography was performed. The fetal heart rate was found to be persistently low at 60-70 beats per minute. Fetal echocardiography confirmed the presence of congenital heart disease along with a diagnosis of fetal bradyarrhythmia, most likely due to atrioventricular block.

Conclusion: Fetal bradycardia may indicate the presence of congenital heart disease or conduction abnormalities such as AV block. Accurate diagnosis using fetal echocardiography is essential to distinguish true bradyarrhythmia from non-specific signs of fetal distress and guide appropriate management.

Abstract Image

最后三个月胎儿心动过缓造成胎儿窘迫:1例报告。
目的:房室传导阻滞(AVB)是胎儿慢速心律失常最常见的原因之一。本病例强调胎儿慢速心律失常误诊为胎儿窘迫,并强调通过精确的产前评估准确区分胎儿心动过缓和胎儿窘迫的重要性。病例报告:一名33岁的孕妇在当地医院初步诊断疑似胎儿窘迫后被转介到三级保健中心。由于有限的资源和合格的临床医生进行准确的诊断,无法在初级设施进行进一步的评估。到达三级中心一周后,进行胎儿超声心动图检查。发现胎儿心率持续低在每分钟60-70次。胎儿超声心动图证实了先天性心脏病的存在,同时诊断为胎儿慢速心律失常,很可能是由于房室传导阻滞。结论:胎儿心动过缓可能提示存在先天性心脏病或传导异常,如房室传导阻滞。使用胎儿超声心动图的准确诊断对于区分真正的慢性心律失常和非特异性胎儿窘迫体征并指导适当的处理至关重要。
本文章由计算机程序翻译,如有差异,请以英文原文为准。
求助全文
约1分钟内获得全文 求助全文
来源期刊
International Medical Case Reports Journal
International Medical Case Reports Journal MEDICINE, GENERAL & INTERNAL-
CiteScore
1.40
自引率
0.00%
发文量
135
审稿时长
16 weeks
期刊介绍: International Medical Case Reports Journal is an international, peer-reviewed, open access, online journal publishing original case reports from all medical specialties. Submissions should not normally exceed 3,000 words or 4 published pages including figures, diagrams and references. As of 1st April 2019, the International Medical Case Reports Journal will no longer consider meta-analyses for publication.
×
引用
GB/T 7714-2015
复制
MLA
复制
APA
复制
导出至
BibTeX EndNote RefMan NoteFirst NoteExpress
×
提示
您的信息不完整,为了账户安全,请先补充。
现在去补充
×
提示
您因"违规操作"
具体请查看互助需知
我知道了
×
提示
确定
请完成安全验证×
copy
已复制链接
快去分享给好友吧!
我知道了
右上角分享
点击右上角分享
0
联系我们:info@booksci.cn Book学术提供免费学术资源搜索服务,方便国内外学者检索中英文文献。致力于提供最便捷和优质的服务体验。 Copyright © 2023 布克学术 All rights reserved.
京ICP备2023020795号-1
ghs 京公网安备 11010802042870号
Book学术文献互助
Book学术文献互助群
群 号:604180095
Book学术官方微信