Primary secretory carcinoma of thyroid with unusual features mimicking metastasis?

IF 2.3 3区 医学 Q2 PATHOLOGY
Joseph Teague, Allison Ciolino, Mirabelle Sajisevi
{"title":"Primary secretory carcinoma of thyroid with unusual features mimicking metastasis?","authors":"Joseph Teague, Allison Ciolino, Mirabelle Sajisevi","doi":"10.1186/s13000-025-01693-4","DOIUrl":null,"url":null,"abstract":"<p><strong>Introduction: </strong>Secretory Carcinoma (SC) of the thyroid is a relatively new and often misdiagnosed cancer. Like SC of the breast and salivary gland, it is characteristically diffusely positive for S100 and Mammaglobin by immunohistochemical (IHC) staining.</p><p><strong>Methods: </strong>Case report.</p><p><strong>Results: </strong>A 63-year-old female presented with neck swelling and difficulty breathing. CT scan showed a large thyroid mass. Tracheal compression and deviation required stent placement and urgent radiation. Microscopic analysis showed neoplastic cells with frequent intracytoplasmic globules, including signet-ring cells. IHC stains were inconclusive to tumor type and metastasis from an occult primary was considered. However, PET-CT scan, mammography, and upper endoscopy were negative. Next-generation sequencing was performed revealing an ETV6-NTRK3 fusion favoring SC of the thyroid.</p><p><strong>Conclusions: </strong>SC of the thyroid with unusual histomorphology and IHC staining may be overlooked and can mimic a metastasis. Given that a correct diagnosis critically affects prognosis and treatment, pitfalls can be avoided by utilizing molecular testing in complicated cases.</p>","PeriodicalId":11237,"journal":{"name":"Diagnostic Pathology","volume":"20 1","pages":"90"},"PeriodicalIF":2.3000,"publicationDate":"2025-07-30","publicationTypes":"Journal Article","fieldsOfStudy":null,"isOpenAccess":false,"openAccessPdf":"https://www.ncbi.nlm.nih.gov/pmc/articles/PMC12312264/pdf/","citationCount":"0","resultStr":null,"platform":"Semanticscholar","paperid":null,"PeriodicalName":"Diagnostic Pathology","FirstCategoryId":"3","ListUrlMain":"https://doi.org/10.1186/s13000-025-01693-4","RegionNum":3,"RegionCategory":"医学","ArticlePicture":[],"TitleCN":null,"AbstractTextCN":null,"PMCID":null,"EPubDate":"","PubModel":"","JCR":"Q2","JCRName":"PATHOLOGY","Score":null,"Total":0}
引用次数: 0

Abstract

Introduction: Secretory Carcinoma (SC) of the thyroid is a relatively new and often misdiagnosed cancer. Like SC of the breast and salivary gland, it is characteristically diffusely positive for S100 and Mammaglobin by immunohistochemical (IHC) staining.

Methods: Case report.

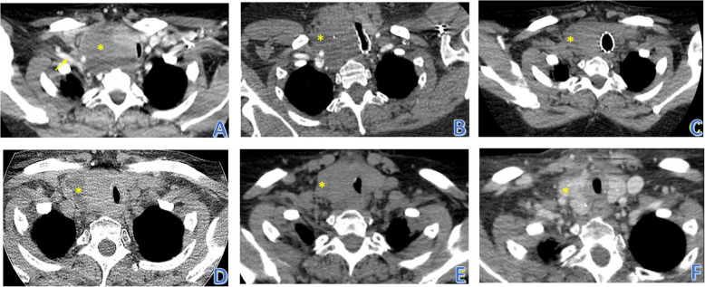
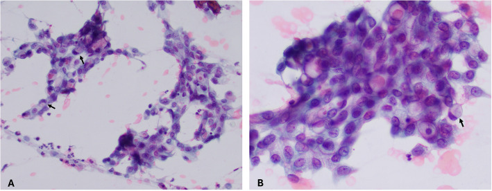
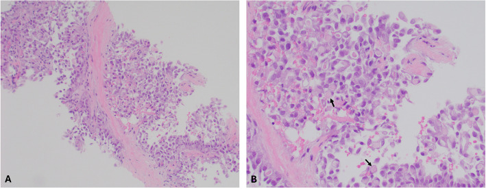
Results: A 63-year-old female presented with neck swelling and difficulty breathing. CT scan showed a large thyroid mass. Tracheal compression and deviation required stent placement and urgent radiation. Microscopic analysis showed neoplastic cells with frequent intracytoplasmic globules, including signet-ring cells. IHC stains were inconclusive to tumor type and metastasis from an occult primary was considered. However, PET-CT scan, mammography, and upper endoscopy were negative. Next-generation sequencing was performed revealing an ETV6-NTRK3 fusion favoring SC of the thyroid.

Conclusions: SC of the thyroid with unusual histomorphology and IHC staining may be overlooked and can mimic a metastasis. Given that a correct diagnosis critically affects prognosis and treatment, pitfalls can be avoided by utilizing molecular testing in complicated cases.

Abstract Image

Abstract Image

Abstract Image

原发性分泌性甲状腺癌伴异常特征模拟转移?
甲状腺分泌性癌(SC)是一种相对较新的且常被误诊的癌症。与乳腺和唾液腺SC一样,通过免疫组化(IHC)染色,S100和Mammaglobin呈弥漫性阳性。方法:病例报告。结果:女性,63岁,颈部肿胀,呼吸困难。CT扫描显示甲状腺大肿块。气管受压和偏曲需要支架置入和紧急放疗。显微镜分析显示肿瘤细胞中有胞浆内常见的小球体,包括印戒细胞。免疫组化染色对肿瘤类型不确定,并考虑转移自隐匿原发灶。然而,PET-CT扫描,乳房x光检查和上内镜检查均为阴性。下一代测序显示ETV6-NTRK3融合有利于甲状腺SC。结论:甲状腺SC具有不寻常的组织形态和免疫组化染色,可能被忽视,并可能模拟转移。鉴于正确的诊断对预后和治疗至关重要,在复杂病例中利用分子检测可以避免陷阱。
本文章由计算机程序翻译,如有差异,请以英文原文为准。
求助全文
约1分钟内获得全文 求助全文
来源期刊
Diagnostic Pathology
Diagnostic Pathology 医学-病理学
CiteScore
4.60
自引率
0.00%
发文量
93
审稿时长
1 months
期刊介绍: Diagnostic Pathology is an open access, peer-reviewed, online journal that considers research in surgical and clinical pathology, immunology, and biology, with a special focus on cutting-edge approaches in diagnostic pathology and tissue-based therapy. The journal covers all aspects of surgical pathology, including classic diagnostic pathology, prognosis-related diagnosis (tumor stages, prognosis markers, such as MIB-percentage, hormone receptors, etc.), and therapy-related findings. The journal also focuses on the technological aspects of pathology, including molecular biology techniques, morphometry aspects (stereology, DNA analysis, syntactic structure analysis), communication aspects (telecommunication, virtual microscopy, virtual pathology institutions, etc.), and electronic education and quality assurance (for example interactive publication, on-line references with automated updating, etc.).
×
引用
GB/T 7714-2015
复制
MLA
复制
APA
复制
导出至
BibTeX EndNote RefMan NoteFirst NoteExpress
×
提示
您的信息不完整,为了账户安全,请先补充。
现在去补充
×
提示
您因"违规操作"
具体请查看互助需知
我知道了
×
提示
确定
请完成安全验证×
copy
已复制链接
快去分享给好友吧!
我知道了
右上角分享
点击右上角分享
0
联系我们:info@booksci.cn Book学术提供免费学术资源搜索服务,方便国内外学者检索中英文文献。致力于提供最便捷和优质的服务体验。 Copyright © 2023 布克学术 All rights reserved.
京ICP备2023020795号-1
ghs 京公网安备 11010802042870号
Book学术文献互助
Book学术文献互助群
群 号:604180095
Book学术官方微信