Basal ganglia infarct secondary to moya moya disease in a child with traumatic head injury: a case report and review of literature.

IF 2.2 3区 医学 Q3 CLINICAL NEUROLOGY
Sagun Ghimire, Shikher Shrestha, Dinuj Shrestha, Kajan Ranabhat, Naresh Kharbuja, Sudarshan Awal
{"title":"Basal ganglia infarct secondary to moya moya disease in a child with traumatic head injury: a case report and review of literature.","authors":"Sagun Ghimire, Shikher Shrestha, Dinuj Shrestha, Kajan Ranabhat, Naresh Kharbuja, Sudarshan Awal","doi":"10.1186/s12883-025-04340-z","DOIUrl":null,"url":null,"abstract":"<p><strong>Background: </strong>Basal ganglia infarct following traumatic head injury is considered rare. Moreover moya moya disease resulting basal ganglia infarct in a child with traumatic head injury is much unusual. Though the line of management in such cases is straightforward along with good outcome following conservative management but early identification and diagnosis is mandatory to avoid grievous complications.</p><p><strong>Case presentation: </strong>A 3 years old male with recent history of traumatic head injury following road traffic accident presented with weakness of left upper and lower limbs. On diagnostic evaluation there was right sided basal ganglia acute infarct. On further investigations basal ganglia infarct was secondary to moya moya disease. Patient was managed conservatively with single low dose anti platelets therapy, anti epileptic and was discharged with good functional outcome.</p><p><strong>Conclusion: </strong>This case highlights that basal ganglia infarct can be secondary to moya moya disease in the background of traumatic head injury hence there is need for rigorous clinical correlation and timely diagnosis for the betterment of patients functional outcome.</p>","PeriodicalId":9170,"journal":{"name":"BMC Neurology","volume":"25 1","pages":"310"},"PeriodicalIF":2.2000,"publicationDate":"2025-07-30","publicationTypes":"Journal Article","fieldsOfStudy":null,"isOpenAccess":false,"openAccessPdf":"https://www.ncbi.nlm.nih.gov/pmc/articles/PMC12309185/pdf/","citationCount":"0","resultStr":null,"platform":"Semanticscholar","paperid":null,"PeriodicalName":"BMC Neurology","FirstCategoryId":"3","ListUrlMain":"https://doi.org/10.1186/s12883-025-04340-z","RegionNum":3,"RegionCategory":"医学","ArticlePicture":[],"TitleCN":null,"AbstractTextCN":null,"PMCID":null,"EPubDate":"","PubModel":"","JCR":"Q3","JCRName":"CLINICAL NEUROLOGY","Score":null,"Total":0}
引用次数: 0

Abstract

Background: Basal ganglia infarct following traumatic head injury is considered rare. Moreover moya moya disease resulting basal ganglia infarct in a child with traumatic head injury is much unusual. Though the line of management in such cases is straightforward along with good outcome following conservative management but early identification and diagnosis is mandatory to avoid grievous complications.

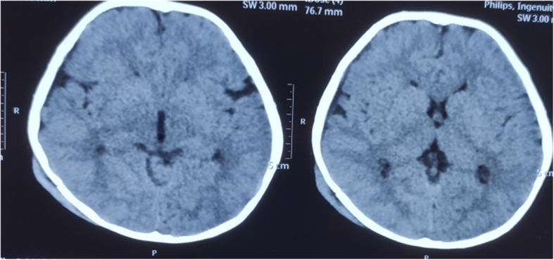
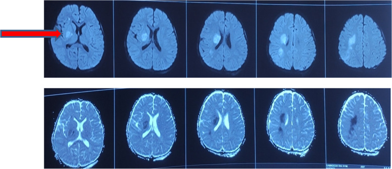
Case presentation: A 3 years old male with recent history of traumatic head injury following road traffic accident presented with weakness of left upper and lower limbs. On diagnostic evaluation there was right sided basal ganglia acute infarct. On further investigations basal ganglia infarct was secondary to moya moya disease. Patient was managed conservatively with single low dose anti platelets therapy, anti epileptic and was discharged with good functional outcome.

Conclusion: This case highlights that basal ganglia infarct can be secondary to moya moya disease in the background of traumatic head injury hence there is need for rigorous clinical correlation and timely diagnosis for the betterment of patients functional outcome.

Abstract Image

Abstract Image

Abstract Image

颅脑外伤儿童莫亚病继发基底神经节梗死1例报告及文献复习。
背景:颅脑外伤后基底神经节梗死被认为是罕见的。此外,莫亚莫亚病导致基底神经节梗死的儿童创伤性颅脑损伤是非常罕见的。虽然这类病例的治疗方法简单,保守治疗后效果良好,但早期识别和诊断是必要的,以避免严重的并发症。病例介绍:一名3岁男性,最近有道路交通事故后脑外伤史,表现为左上肢和下肢无力。诊断评价为右侧基底节区急性梗死。进一步调查发现,基底神经节梗死继发于莫亚莫亚病。患者保守治疗,单次低剂量抗血小板治疗,抗癫痫,出院时功能预后良好。结论:本病例提示颅脑外伤背景下基底神经节梗死可继发于moya moya病,需要严格的临床相关性和及时诊断,以改善患者的功能预后。
本文章由计算机程序翻译,如有差异,请以英文原文为准。
求助全文
约1分钟内获得全文 求助全文
来源期刊
BMC Neurology
BMC Neurology 医学-临床神经学
CiteScore
4.20
自引率
0.00%
发文量
428
审稿时长
3-8 weeks
期刊介绍: BMC Neurology is an open access, peer-reviewed journal that considers articles on all aspects of the prevention, diagnosis and management of neurological disorders, as well as related molecular genetics, pathophysiology, and epidemiology.
×
引用
GB/T 7714-2015
复制
MLA
复制
APA
复制
导出至
BibTeX EndNote RefMan NoteFirst NoteExpress
×
提示
您的信息不完整,为了账户安全,请先补充。
现在去补充
×
提示
您因"违规操作"
具体请查看互助需知
我知道了
×
提示
确定
请完成安全验证×
copy
已复制链接
快去分享给好友吧!
我知道了
右上角分享
点击右上角分享
0
联系我们:info@booksci.cn Book学术提供免费学术资源搜索服务,方便国内外学者检索中英文文献。致力于提供最便捷和优质的服务体验。 Copyright © 2023 布克学术 All rights reserved.
京ICP备2023020795号-1
ghs 京公网安备 11010802042870号
Book学术文献互助
Book学术文献互助群
群 号:604180095
Book学术官方微信