Inhibiting Rac1 signaling alleviates DSS-induced colitis by improving inflammatory response and intestinal permeability.

IF 4.2 3区 医学 Q2 GASTROENTEROLOGY & HEPATOLOGY
Gastroenterology Report Pub Date : 2025-07-28 eCollection Date: 2025-01-01 DOI:10.1093/gastro/goaf073
Mei-Hong Lin, Can-Hua Luo, Miao-Miao Ma, Le-Shi Liang, Xing-Feng Deng, Chang-Hui Yu
{"title":"Inhibiting Rac1 signaling alleviates DSS-induced colitis by improving inflammatory response and intestinal permeability.","authors":"Mei-Hong Lin, Can-Hua Luo, Miao-Miao Ma, Le-Shi Liang, Xing-Feng Deng, Chang-Hui Yu","doi":"10.1093/gastro/goaf073","DOIUrl":null,"url":null,"abstract":"<p><strong>Background: </strong>This study aimed to explore the regulation of Ras-related C3 botulinum toxin substrate1 (Rac1) on the intestinal barrier function in colitis and explore its molecular mechanism of regulation on tight junctions.</p><p><strong>Methods: </strong>A dextran sulfate sodium (DSS)-induced colitis mouse model was used. The diseases activity index (DAI) was calculated daily. Epithelial permeability was measured. Colon sections were stained with hematoxylin and eosin, and the histological severity was analysed. Reverse transcription polymerase chain reaction (RT-PCR) was used to analyse the messenger ribonucleic acid (mRNA) level of Rac1, nicotinamide adenine dinucleotide phosphate oxidase 1 (NOX1), and occludin in the colon. Western blot was used to detect occludin protein expression.</p><p><strong>Results: </strong>Colitis mice showed increased DAI and histological scores, reduced colon length, and impaired epithelial permeability, which were significantly alleviated by the administration of Rac1 inhibitor NSC23766. The level of inflammatory genes including interleukin 6 (IL-6), myeloperoxidase and NOX1 in the colon tissue were elevated in colitis mice, while the administration of NSC23766 remarkably reduced the expression of these genes. Western blot analysis showed that the occludin protein level was suppressed by DSS, while NSC23766 treatment restored the expression of occludin in DSS mice.</p><p><strong>Conclusions: </strong>Rac1 inhibitor NSC23766 attenuates symptoms, colonic inflammation, and intestinal permeability in a DSS-induced colitis model. These effects may be attributed to the suppression of inflammatory responses and DSS-induced damage of intestinal integrity.</p>","PeriodicalId":54275,"journal":{"name":"Gastroenterology Report","volume":"13 ","pages":"goaf073"},"PeriodicalIF":4.2000,"publicationDate":"2025-07-28","publicationTypes":"Journal Article","fieldsOfStudy":null,"isOpenAccess":false,"openAccessPdf":"https://www.ncbi.nlm.nih.gov/pmc/articles/PMC12304515/pdf/","citationCount":"0","resultStr":null,"platform":"Semanticscholar","paperid":null,"PeriodicalName":"Gastroenterology Report","FirstCategoryId":"3","ListUrlMain":"https://doi.org/10.1093/gastro/goaf073","RegionNum":3,"RegionCategory":"医学","ArticlePicture":[],"TitleCN":null,"AbstractTextCN":null,"PMCID":null,"EPubDate":"2025/1/1 0:00:00","PubModel":"eCollection","JCR":"Q2","JCRName":"GASTROENTEROLOGY & HEPATOLOGY","Score":null,"Total":0}
引用次数: 0

Abstract

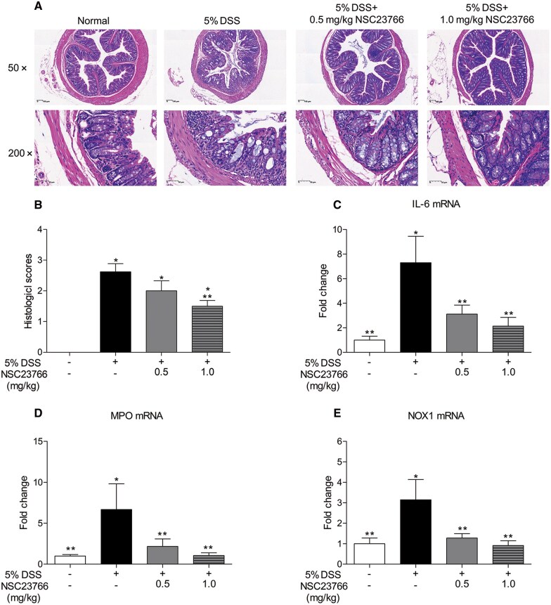
Background: This study aimed to explore the regulation of Ras-related C3 botulinum toxin substrate1 (Rac1) on the intestinal barrier function in colitis and explore its molecular mechanism of regulation on tight junctions.

Methods: A dextran sulfate sodium (DSS)-induced colitis mouse model was used. The diseases activity index (DAI) was calculated daily. Epithelial permeability was measured. Colon sections were stained with hematoxylin and eosin, and the histological severity was analysed. Reverse transcription polymerase chain reaction (RT-PCR) was used to analyse the messenger ribonucleic acid (mRNA) level of Rac1, nicotinamide adenine dinucleotide phosphate oxidase 1 (NOX1), and occludin in the colon. Western blot was used to detect occludin protein expression.

Results: Colitis mice showed increased DAI and histological scores, reduced colon length, and impaired epithelial permeability, which were significantly alleviated by the administration of Rac1 inhibitor NSC23766. The level of inflammatory genes including interleukin 6 (IL-6), myeloperoxidase and NOX1 in the colon tissue were elevated in colitis mice, while the administration of NSC23766 remarkably reduced the expression of these genes. Western blot analysis showed that the occludin protein level was suppressed by DSS, while NSC23766 treatment restored the expression of occludin in DSS mice.

Conclusions: Rac1 inhibitor NSC23766 attenuates symptoms, colonic inflammation, and intestinal permeability in a DSS-induced colitis model. These effects may be attributed to the suppression of inflammatory responses and DSS-induced damage of intestinal integrity.

Abstract Image

Abstract Image

Abstract Image

抑制Rac1信号通过改善炎症反应和肠道通透性来缓解dss诱导的结肠炎。
背景:本研究旨在探讨ras相关C3肉毒毒素亚底物1 (Rac1)对结肠炎肠屏障功能的调控作用,并探讨其调控紧密连接的分子机制。方法:采用硫酸葡聚糖钠(DSS)诱导结肠炎小鼠模型。每日计算疾病活动指数(DAI)。测量上皮通透性。结肠切片苏木精和伊红染色,分析组织学严重程度。采用逆转录聚合酶链反应(RT-PCR)分析结肠内Rac1、烟酰胺腺嘌呤二核苷酸磷酸氧化酶1 (NOX1)和occludin的信使核糖核酸(mRNA)水平。Western blot检测occludin蛋白的表达。结果:结肠炎小鼠DAI和组织学评分升高,结肠长度缩短,上皮通透性受损,给予Rac1抑制剂NSC23766可显著缓解。结肠炎小鼠结肠组织中白细胞介素6 (IL-6)、髓过氧化物酶(myeloperoxidase)和NOX1等炎症基因水平升高,而NSC23766显著降低了这些基因的表达。Western blot分析显示,DSS抑制了occludin蛋白水平,而NSC23766处理恢复了DSS小鼠occludin的表达。结论:在dss诱导的结肠炎模型中,Rac1抑制剂NSC23766可减轻症状、结肠炎症和肠道通透性。这些作用可能归因于抑制炎症反应和dss诱导的肠道完整性损伤。
本文章由计算机程序翻译,如有差异,请以英文原文为准。
求助全文
约1分钟内获得全文 求助全文
来源期刊
Gastroenterology Report
Gastroenterology Report Medicine-Gastroenterology
CiteScore
4.60
自引率
2.80%
发文量
63
审稿时长
8 weeks
期刊介绍: Gastroenterology Report is an international fully open access (OA) online only journal, covering all areas related to gastrointestinal sciences, including studies of the alimentary tract, liver, biliary, pancreas, enteral nutrition and related fields. The journal aims to publish high quality research articles on both basic and clinical gastroenterology, authoritative reviews that bring together new advances in the field, as well as commentaries and highlight pieces that provide expert analysis of topical issues.
×
引用
GB/T 7714-2015
复制
MLA
复制
APA
复制
导出至
BibTeX EndNote RefMan NoteFirst NoteExpress
×
提示
您的信息不完整,为了账户安全,请先补充。
现在去补充
×
提示
您因"违规操作"
具体请查看互助需知
我知道了
×
提示
确定
请完成安全验证×
copy
已复制链接
快去分享给好友吧!
我知道了
右上角分享
点击右上角分享
0
联系我们:info@booksci.cn Book学术提供免费学术资源搜索服务,方便国内外学者检索中英文文献。致力于提供最便捷和优质的服务体验。 Copyright © 2023 布克学术 All rights reserved.
京ICP备2023020795号-1
ghs 京公网安备 11010802042870号
Book学术文献互助
Book学术文献互助群
群 号:604180095
Book学术官方微信