Impact of epiretinal membrane peeling on steroid dependency in uveitic eyes: a retrospective analysis.

IF 2.4 Q2 OPHTHALMOLOGY
Verena Schöneberger, Julia Schirrwagen, Claudia Brockmann, Thomas A Fuchsluger, Friederike Schaub
{"title":"Impact of epiretinal membrane peeling on steroid dependency in uveitic eyes: a retrospective analysis.","authors":"Verena Schöneberger, Julia Schirrwagen, Claudia Brockmann, Thomas A Fuchsluger, Friederike Schaub","doi":"10.1186/s40942-025-00712-2","DOIUrl":null,"url":null,"abstract":"<p><strong>Background: </strong>Secondary epiretinal membranes (sERM) are common in uveitis and often associated with cystoid macular edema (CME), which increases the need for anti-inflammatory treatment. While surgical removal can improve anatomical and visual outcomes, its effect on intraocular inflammation and steroid requirement remains unclear. This study evaluates whether vitrectomy with ERM peeling can reduce the need for postoperative steroid therapy in uveitic eyes.</p><p><strong>Methods: </strong>This retrospective single-center study reviewed 67 eyes of 67 patients with history of uveitis who underwent sERM peeling between 11/2002 and 04/2023. Demographic data, uveitis classification (SUN), spectral domain optical coherence tomography (SD-OCT) findings, and pre-/postoperative steroid requirements were analyzed. Statistical significance testing was performed using a paired two-tailed t-test.</p><p><strong>Results: </strong>Of the 67 eyes, 50.7% were right eyes, and 65.7% of patients were female. Mean age at timepoint of surgery was 63.1 ± 13.6 years, with 53.7% phakic eyes. Uveitis was classified as anterior (17.9%), intermediate (44.8%), posterior (31.3%), and panuveitis (6.0%). Steroid therapy was reduced in 28.4% of patients, remained unchanged in 56.7%, and increased in 14.9%. Preoperatively, cystoid macular edema (CME) was present in 41.4% of the 58 available SD-OCT scans. Postoperatively, retinal thickness, macular volume, and total retinal volume decreased significantly (p < 0.001). Postoperative CME was found in 31.3% in first postoperative SD-OCT and was newly observed in 6.0%, while 62.7% showed no CME.</p><p><strong>Conclusions: </strong>ERM peeling in uveitic eyes does not guarantee functional improvement or a consistent reduction in steroid dependency. While approximately one-third of patients benefited from reduced steroid use-particularly those with preoperative CME-the majority showed no change, and a subset required intensified therapy due to postoperative inflammation or CME recurrence. Careful patient selection remains essential.</p>","PeriodicalId":14289,"journal":{"name":"International Journal of Retina and Vitreous","volume":"11 1","pages":"86"},"PeriodicalIF":2.4000,"publicationDate":"2025-07-29","publicationTypes":"Journal Article","fieldsOfStudy":null,"isOpenAccess":false,"openAccessPdf":"https://www.ncbi.nlm.nih.gov/pmc/articles/PMC12306005/pdf/","citationCount":"0","resultStr":null,"platform":"Semanticscholar","paperid":null,"PeriodicalName":"International Journal of Retina and Vitreous","FirstCategoryId":"1085","ListUrlMain":"https://doi.org/10.1186/s40942-025-00712-2","RegionNum":0,"RegionCategory":null,"ArticlePicture":[],"TitleCN":null,"AbstractTextCN":null,"PMCID":null,"EPubDate":"","PubModel":"","JCR":"Q2","JCRName":"OPHTHALMOLOGY","Score":null,"Total":0}
引用次数: 0

Abstract

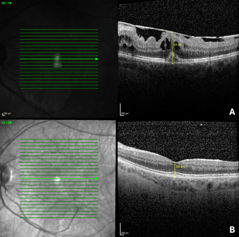
Background: Secondary epiretinal membranes (sERM) are common in uveitis and often associated with cystoid macular edema (CME), which increases the need for anti-inflammatory treatment. While surgical removal can improve anatomical and visual outcomes, its effect on intraocular inflammation and steroid requirement remains unclear. This study evaluates whether vitrectomy with ERM peeling can reduce the need for postoperative steroid therapy in uveitic eyes.

Methods: This retrospective single-center study reviewed 67 eyes of 67 patients with history of uveitis who underwent sERM peeling between 11/2002 and 04/2023. Demographic data, uveitis classification (SUN), spectral domain optical coherence tomography (SD-OCT) findings, and pre-/postoperative steroid requirements were analyzed. Statistical significance testing was performed using a paired two-tailed t-test.

Results: Of the 67 eyes, 50.7% were right eyes, and 65.7% of patients were female. Mean age at timepoint of surgery was 63.1 ± 13.6 years, with 53.7% phakic eyes. Uveitis was classified as anterior (17.9%), intermediate (44.8%), posterior (31.3%), and panuveitis (6.0%). Steroid therapy was reduced in 28.4% of patients, remained unchanged in 56.7%, and increased in 14.9%. Preoperatively, cystoid macular edema (CME) was present in 41.4% of the 58 available SD-OCT scans. Postoperatively, retinal thickness, macular volume, and total retinal volume decreased significantly (p < 0.001). Postoperative CME was found in 31.3% in first postoperative SD-OCT and was newly observed in 6.0%, while 62.7% showed no CME.

Conclusions: ERM peeling in uveitic eyes does not guarantee functional improvement or a consistent reduction in steroid dependency. While approximately one-third of patients benefited from reduced steroid use-particularly those with preoperative CME-the majority showed no change, and a subset required intensified therapy due to postoperative inflammation or CME recurrence. Careful patient selection remains essential.

Abstract Image

Abstract Image

Abstract Image

视网膜前膜剥离对黄斑眼类固醇依赖的影响:回顾性分析。
背景:继发性视网膜前膜(sERM)在葡萄膜炎中很常见,通常与囊样黄斑水肿(CME)相关,这增加了对抗炎治疗的需求。虽然手术切除可以改善解剖和视觉结果,但其对眼内炎症和类固醇需求的影响尚不清楚。本研究评估玻璃体切除术合并ERM剥离是否可以减少术后对黄斑眼类固醇治疗的需求。方法:回顾性单中心研究回顾了2002年11月至2023年4月期间67例有葡萄膜炎病史的患者67只眼。分析了人口统计学数据、葡萄膜炎分类(SUN)、光谱域光学相干断层扫描(SD-OCT)结果和术前/术后类固醇需求。采用配对双尾t检验进行统计学显著性检验。结果:67只眼中,右眼占50.7%,女性占65.7%。手术时间点平均年龄63.1±13.6岁,有晶状眼53.7%。葡萄膜炎分为前部(17.9%)、中间(44.8%)、后部(31.3%)和全葡萄膜炎(6.0%)。28.4%的患者减少类固醇治疗,56.7%的患者保持不变,14.9%的患者增加类固醇治疗。术前,58张可用的SD-OCT扫描中有41.4%出现囊样黄斑水肿(CME)。术后,视网膜厚度、黄斑体积和视网膜总体积显著下降(p)。结论:视网膜黄斑眼ERM剥落并不能保证功能改善或类固醇依赖性的持续减少。虽然大约三分之一的患者受益于减少类固醇使用,特别是术前CME患者,但大多数患者没有变化,并且由于术后炎症或CME复发,一小部分患者需要加强治疗。仔细选择病人仍然是必要的。
本文章由计算机程序翻译,如有差异,请以英文原文为准。
求助全文
约1分钟内获得全文 求助全文
来源期刊
CiteScore
3.50
自引率
4.30%
发文量
81
审稿时长
19 weeks
期刊介绍: International Journal of Retina and Vitreous focuses on the ophthalmic subspecialty of vitreoretinal disorders. The journal presents original articles on new approaches to diagnosis, outcomes of clinical trials, innovations in pharmacological therapy and surgical techniques, as well as basic science advances that impact clinical practice. Topical areas include, but are not limited to: -Imaging of the retina, choroid and vitreous -Innovations in optical coherence tomography (OCT) -Small-gauge vitrectomy, retinal detachment, chromovitrectomy -Electroretinography (ERG), microperimetry, other functional tests -Intraocular tumors -Retinal pharmacotherapy & drug delivery -Diabetic retinopathy & other vascular diseases -Age-related macular degeneration (AMD) & other macular entities
×
引用
GB/T 7714-2015
复制
MLA
复制
APA
复制
导出至
BibTeX EndNote RefMan NoteFirst NoteExpress
×
提示
您的信息不完整,为了账户安全,请先补充。
现在去补充
×
提示
您因"违规操作"
具体请查看互助需知
我知道了
×
提示
确定
请完成安全验证×
copy
已复制链接
快去分享给好友吧!
我知道了
右上角分享
点击右上角分享
0
联系我们:info@booksci.cn Book学术提供免费学术资源搜索服务,方便国内外学者检索中英文文献。致力于提供最便捷和优质的服务体验。 Copyright © 2023 布克学术 All rights reserved.
京ICP备2023020795号-1
ghs 京公网安备 11010802042870号
Book学术文献互助
Book学术文献互助群
群 号:604180095
Book学术官方微信