Perforated Rectal Cancer Presenting With Symptoms of Sciatic Nerve Compression: A Case Report.

IF 0.5 Q4 SURGERY
Case Reports in Surgery Pub Date : 2025-07-22 eCollection Date: 2025-01-01 DOI:10.1155/cris/8680616
J L O'Sullivan, L Vu, P Tan
{"title":"Perforated Rectal Cancer Presenting With Symptoms of Sciatic Nerve Compression: A Case Report.","authors":"J L O'Sullivan, L Vu, P Tan","doi":"10.1155/cris/8680616","DOIUrl":null,"url":null,"abstract":"<p><p>In this paper, we discuss the case of a late presentation, locally advanced rectal cancer that has perforated into the greater sciatic notch, presenting with symptoms of lower limb pain and recurrent falls. In this case, we discuss the complexities of diagnosing and managing atypical presentations of colorectal cancer.</p>","PeriodicalId":9600,"journal":{"name":"Case Reports in Surgery","volume":"2025 ","pages":"8680616"},"PeriodicalIF":0.5000,"publicationDate":"2025-07-22","publicationTypes":"Journal Article","fieldsOfStudy":null,"isOpenAccess":false,"openAccessPdf":"https://www.ncbi.nlm.nih.gov/pmc/articles/PMC12307074/pdf/","citationCount":"0","resultStr":null,"platform":"Semanticscholar","paperid":null,"PeriodicalName":"Case Reports in Surgery","FirstCategoryId":"1085","ListUrlMain":"https://doi.org/10.1155/cris/8680616","RegionNum":0,"RegionCategory":null,"ArticlePicture":[],"TitleCN":null,"AbstractTextCN":null,"PMCID":null,"EPubDate":"2025/1/1 0:00:00","PubModel":"eCollection","JCR":"Q4","JCRName":"SURGERY","Score":null,"Total":0}
引用次数: 0

Abstract

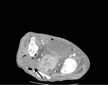
In this paper, we discuss the case of a late presentation, locally advanced rectal cancer that has perforated into the greater sciatic notch, presenting with symptoms of lower limb pain and recurrent falls. In this case, we discuss the complexities of diagnosing and managing atypical presentations of colorectal cancer.

Abstract Image

Abstract Image

Abstract Image

以坐骨神经压迫为症状的直肠癌穿孔1例报告。
在本文中,我们讨论了一个晚期的病例,局部晚期直肠癌已经穿孔到坐骨大切迹,表现为下肢疼痛和反复跌倒的症状。在这种情况下,我们讨论的复杂性诊断和管理的非典型表现的结直肠癌。
本文章由计算机程序翻译,如有差异,请以英文原文为准。
求助全文
约1分钟内获得全文 求助全文
来源期刊
自引率
0.00%
发文量
60
审稿时长
13 weeks
×
引用
GB/T 7714-2015
复制
MLA
复制
APA
复制
导出至
BibTeX EndNote RefMan NoteFirst NoteExpress
×
提示
您的信息不完整,为了账户安全,请先补充。
现在去补充
×
提示
您因"违规操作"
具体请查看互助需知
我知道了
×
提示
确定
请完成安全验证×
copy
已复制链接
快去分享给好友吧!
我知道了
右上角分享
点击右上角分享
0
联系我们:info@booksci.cn Book学术提供免费学术资源搜索服务,方便国内外学者检索中英文文献。致力于提供最便捷和优质的服务体验。 Copyright © 2023 布克学术 All rights reserved.
京ICP备2023020795号-1
ghs 京公网安备 11010802042870号
Book学术文献互助
Book学术文献互助群
群 号:604180095
Book学术官方微信