Neonatal sevoflurane anesthesia can also affect rat medulla spinalis.

IF 0.9 4区 医学 Q4 MEDICINE, RESEARCH & EXPERIMENTAL
Asian Biomedicine Pub Date : 2025-07-28 eCollection Date: 2025-06-01 DOI:10.2478/abm-2025-0017
Elvan Ocmen, Hale Aksu Erdost, Osman Yilmaz, Alper Bagriyanik, Muge Kiray, Necati Gokmen
{"title":"Neonatal sevoflurane anesthesia can also affect rat medulla spinalis.","authors":"Elvan Ocmen, Hale Aksu Erdost, Osman Yilmaz, Alper Bagriyanik, Muge Kiray, Necati Gokmen","doi":"10.2478/abm-2025-0017","DOIUrl":null,"url":null,"abstract":"<p><strong>Background: </strong>Anesthesia has been linked to neuroapoptosis and prolonged neurocognitive disorders in the neonatal rat brain, but the full extent of damage induced by anesthesia on the central nervous system is still unknown.</p><p><strong>Objectives: </strong>We aim to investigate whether sevoflurane anesthesia affects the spinal cord.</p><p><strong>Methods: </strong>After the approval of the ethics committee, 24 Wistar albino rat pups, weighing between 9 g and 11 g, on the postnatal 7th day were included in the study. In the sevoflurane groups, rats breathed 2.5% sevoflurane in oxygen. The tail flick tests were performed on postnatal 8th, 15th, and 30th days to evaluate motor functions. At the end of the experiments, rats were sacrificed by decapitation, and their spinal cords were taken for histopathological evaluation.</p><p><strong>Results: </strong>There was a significant difference between the tail pulling times on the 8th and 30th days in both groups (<i>P</i> = 0.036). No significant difference was found between the control and sevoflurane groups (<i>P</i> = 0.053). In histopathological assessments, the chronic sevoflurane group showed a significant increase in apoptotic cell count (<i>P</i> < 0.001).</p><p><strong>Conclusions: </strong>This study showed that although there was a significant increase in apoptotic cells in the chronic sevoflurane group, motor function of the spinal cord was not affected. Further studies can be conducted to investigate the possible mechanisms.</p>","PeriodicalId":8501,"journal":{"name":"Asian Biomedicine","volume":"19 3","pages":"141-146"},"PeriodicalIF":0.9000,"publicationDate":"2025-07-28","publicationTypes":"Journal Article","fieldsOfStudy":null,"isOpenAccess":false,"openAccessPdf":"https://www.ncbi.nlm.nih.gov/pmc/articles/PMC12303590/pdf/","citationCount":"0","resultStr":null,"platform":"Semanticscholar","paperid":null,"PeriodicalName":"Asian Biomedicine","FirstCategoryId":"3","ListUrlMain":"https://doi.org/10.2478/abm-2025-0017","RegionNum":4,"RegionCategory":"医学","ArticlePicture":[],"TitleCN":null,"AbstractTextCN":null,"PMCID":null,"EPubDate":"2025/6/1 0:00:00","PubModel":"eCollection","JCR":"Q4","JCRName":"MEDICINE, RESEARCH & EXPERIMENTAL","Score":null,"Total":0}
引用次数: 0

Abstract

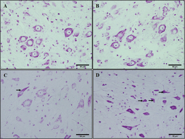
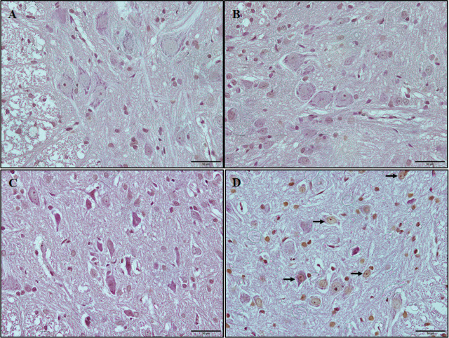
Background: Anesthesia has been linked to neuroapoptosis and prolonged neurocognitive disorders in the neonatal rat brain, but the full extent of damage induced by anesthesia on the central nervous system is still unknown.

Objectives: We aim to investigate whether sevoflurane anesthesia affects the spinal cord.

Methods: After the approval of the ethics committee, 24 Wistar albino rat pups, weighing between 9 g and 11 g, on the postnatal 7th day were included in the study. In the sevoflurane groups, rats breathed 2.5% sevoflurane in oxygen. The tail flick tests were performed on postnatal 8th, 15th, and 30th days to evaluate motor functions. At the end of the experiments, rats were sacrificed by decapitation, and their spinal cords were taken for histopathological evaluation.

Results: There was a significant difference between the tail pulling times on the 8th and 30th days in both groups (P = 0.036). No significant difference was found between the control and sevoflurane groups (P = 0.053). In histopathological assessments, the chronic sevoflurane group showed a significant increase in apoptotic cell count (P < 0.001).

Conclusions: This study showed that although there was a significant increase in apoptotic cells in the chronic sevoflurane group, motor function of the spinal cord was not affected. Further studies can be conducted to investigate the possible mechanisms.

Abstract Image

Abstract Image

新生儿七氟醚麻醉对大鼠脊髓也有影响。
背景:麻醉与新生大鼠脑神经细胞凋亡和延长的神经认知障碍有关,但麻醉对中枢神经系统的损伤程度尚不清楚。目的:探讨七氟醚麻醉对脊髓的影响。方法:经伦理委员会批准,选取24只出生后第7天体重9 ~ 11 g的Wistar白化大鼠幼鼠加入研究。在七氟醚组中,大鼠吸入含2.5%七氟醚的氧气。于出生后第8天、第15天和第30天进行甩尾试验以评估运动功能。实验结束时,采用断头处死大鼠,取脊髓进行组织病理学检查。结果:两组第8天、第30天拔尾次数比较,差异有统计学意义(P = 0.036)。对照组与七氟醚组间无显著差异(P = 0.053)。在组织病理学评估中,慢性七氟醚组凋亡细胞计数明显增加(P < 0.001)。结论:本研究显示,虽然慢性七氟醚组大鼠脊髓的凋亡细胞明显增加,但脊髓的运动功能未受影响。可以进行进一步的研究来调查可能的机制。
本文章由计算机程序翻译,如有差异,请以英文原文为准。
求助全文
约1分钟内获得全文 求助全文
来源期刊
Asian Biomedicine
Asian Biomedicine 医学-医学:研究与实验
CiteScore
1.20
自引率
0.00%
发文量
24
审稿时长
6-12 weeks
期刊介绍: Asian Biomedicine: Research, Reviews and News (ISSN 1905-7415 print; 1875-855X online) is published in one volume (of 6 bimonthly issues) a year since 2007. [...]Asian Biomedicine is an international, general medical and biomedical journal that aims to publish original peer-reviewed contributions dealing with various topics in the biomedical and health sciences from basic experimental to clinical aspects. The work and authorship must be strongly affiliated with a country in Asia, or with specific importance and relevance to the Asian region. The Journal will publish reviews, original experimental studies, observational studies, technical and clinical (case) reports, practice guidelines, historical perspectives of Asian biomedicine, clinicopathological conferences, and commentaries Asian biomedicine is intended for a broad and international audience, primarily those in the health professions including researchers, physician practitioners, basic medical scientists, dentists, educators, administrators, those in the assistive professions, such as nurses, and the many types of allied health professionals in research and health care delivery systems including those in training.
×
引用
GB/T 7714-2015
复制
MLA
复制
APA
复制
导出至
BibTeX EndNote RefMan NoteFirst NoteExpress
×
提示
您的信息不完整,为了账户安全,请先补充。
现在去补充
×
提示
您因"违规操作"
具体请查看互助需知
我知道了
×
提示
确定
请完成安全验证×
copy
已复制链接
快去分享给好友吧!
我知道了
右上角分享
点击右上角分享
0
联系我们:info@booksci.cn Book学术提供免费学术资源搜索服务,方便国内外学者检索中英文文献。致力于提供最便捷和优质的服务体验。 Copyright © 2023 布克学术 All rights reserved.
京ICP备2023020795号-1
ghs 京公网安备 11010802042870号
Book学术文献互助
Book学术文献互助群
群 号:604180095
Book学术官方微信