Elder abuse-related rib fractures: performance of chest computed tomography in two case reports.

IF 1.8 4区 医学 Q3 MEDICINE, LEGAL
Forensic Sciences Research Pub Date : 2025-07-04 eCollection Date: 2025-09-01 DOI:10.1093/fsr/owaf011
Zhilu Zhou, Peipei Zhuo, Jiemin Chen, Lei Wan, Xiaoying Yu, Maowen Wang, Dan Ran, Xiaoping Yang, Hongxia Hao, Wentao Xia, Qing Xia
{"title":"Elder abuse-related rib fractures: performance of chest computed tomography in two case reports.","authors":"Zhilu Zhou, Peipei Zhuo, Jiemin Chen, Lei Wan, Xiaoying Yu, Maowen Wang, Dan Ran, Xiaoping Yang, Hongxia Hao, Wentao Xia, Qing Xia","doi":"10.1093/fsr/owaf011","DOIUrl":null,"url":null,"abstract":"<p><p>Trauma in victims of abuse often exists in various ways, and the characters usually manifest as non-fatal injuries, repetitive occurrence, and the injured parts are relatively hidden. Forensic experts are optimally positioned to raise suspicion for abuse when comprehensively considering a forensic investigation, reviewing imaging, and other multiple factors of geriatric injury victims. However, few experts received formal or informal training in abuse identification. In this article, we discussed two cases of suspected victims of abuse with rib fractures and attempted to determine the location, timing, and directionality of these injuries to raise the index of suspicion for abuse. We present two cases to characterize the radiographic changes of rib fractures in various stages of healing and radiographic findings in elder abuse events. To improve the accuracy of the imaging diagnosis, we collected a series of computed tomography images of rib fractures and compared all computed tomography images of these two victims with these images. We found that the victims presented with repeated rib fractures and with different stages of healing. We strongly suspect these were abuse cases due to the radiographic findings and clinical recordings demonstrated by these cases. We aim to raise awareness of abuse in radiology and forensic medicine to help these victims and reduce such incidents.</p>","PeriodicalId":45852,"journal":{"name":"Forensic Sciences Research","volume":"10 3","pages":"owaf011"},"PeriodicalIF":1.8000,"publicationDate":"2025-07-04","publicationTypes":"Journal Article","fieldsOfStudy":null,"isOpenAccess":false,"openAccessPdf":"https://www.ncbi.nlm.nih.gov/pmc/articles/PMC12302708/pdf/","citationCount":"0","resultStr":null,"platform":"Semanticscholar","paperid":null,"PeriodicalName":"Forensic Sciences Research","FirstCategoryId":"3","ListUrlMain":"https://doi.org/10.1093/fsr/owaf011","RegionNum":4,"RegionCategory":"医学","ArticlePicture":[],"TitleCN":null,"AbstractTextCN":null,"PMCID":null,"EPubDate":"2025/9/1 0:00:00","PubModel":"eCollection","JCR":"Q3","JCRName":"MEDICINE, LEGAL","Score":null,"Total":0}
引用次数: 0

Abstract

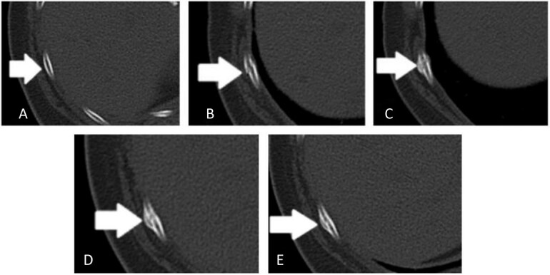
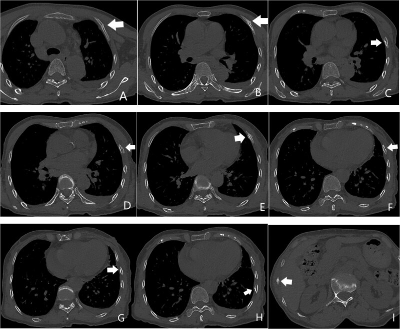
Trauma in victims of abuse often exists in various ways, and the characters usually manifest as non-fatal injuries, repetitive occurrence, and the injured parts are relatively hidden. Forensic experts are optimally positioned to raise suspicion for abuse when comprehensively considering a forensic investigation, reviewing imaging, and other multiple factors of geriatric injury victims. However, few experts received formal or informal training in abuse identification. In this article, we discussed two cases of suspected victims of abuse with rib fractures and attempted to determine the location, timing, and directionality of these injuries to raise the index of suspicion for abuse. We present two cases to characterize the radiographic changes of rib fractures in various stages of healing and radiographic findings in elder abuse events. To improve the accuracy of the imaging diagnosis, we collected a series of computed tomography images of rib fractures and compared all computed tomography images of these two victims with these images. We found that the victims presented with repeated rib fractures and with different stages of healing. We strongly suspect these were abuse cases due to the radiographic findings and clinical recordings demonstrated by these cases. We aim to raise awareness of abuse in radiology and forensic medicine to help these victims and reduce such incidents.

Abstract Image

Abstract Image

Abstract Image

老年人虐待相关肋骨骨折:胸部计算机断层扫描的表现在两个病例报告。
虐待受害者的创伤往往以多种形式存在,其特征通常表现为非致命伤害,反复发生,受伤部位相对隐蔽。当综合考虑法医调查、审查成像和其他老年伤害受害者的多重因素时,法医专家最适合提出虐待的怀疑。然而,很少有专家接受过鉴定虐待的正式或非正式培训。在这篇文章中,我们讨论了两个疑似虐待受害者肋骨骨折的案例,并试图确定这些伤害的位置、时间和方向,以提高怀疑虐待的指数。我们提出两个病例来描述肋骨骨折在愈合的不同阶段的x线片变化和老年人虐待事件的x线片结果。为了提高影像学诊断的准确性,我们收集了一系列肋骨骨折的计算机断层图像,并将这两名受害者的所有计算机断层图像与这些图像进行了比较。我们发现死者的肋骨反复骨折愈合的阶段也不同。我们强烈怀疑这些是虐待的情况下,由于放射检查结果和临床记录证明了这些案件。我们的目标是提高人们对放射学和法医滥用的认识,以帮助这些受害者并减少此类事件。
本文章由计算机程序翻译,如有差异,请以英文原文为准。
求助全文
约1分钟内获得全文 求助全文
来源期刊
Forensic Sciences Research
Forensic Sciences Research MEDICINE, LEGAL-
CiteScore
3.60
自引率
7.70%
发文量
158
审稿时长
26 weeks
×
引用
GB/T 7714-2015
复制
MLA
复制
APA
复制
导出至
BibTeX EndNote RefMan NoteFirst NoteExpress
×
提示
您的信息不完整,为了账户安全,请先补充。
现在去补充
×
提示
您因"违规操作"
具体请查看互助需知
我知道了
×
提示
确定
请完成安全验证×
copy
已复制链接
快去分享给好友吧!
我知道了
右上角分享
点击右上角分享
0
联系我们:info@booksci.cn Book学术提供免费学术资源搜索服务,方便国内外学者检索中英文文献。致力于提供最便捷和优质的服务体验。 Copyright © 2023 布克学术 All rights reserved.
京ICP备2023020795号-1
ghs 京公网安备 11010802042870号
Book学术文献互助
Book学术文献互助群
群 号:604180095
Book学术官方微信