Acute spasticity in malignant MCA stroke: a case report and review of literature.

IF 0.4 Q3 MEDICINE, GENERAL & INTERNAL
Oxford Medical Case Reports Pub Date : 2025-07-27 eCollection Date: 2025-07-01 DOI:10.1093/omcr/omaf114
Muhammad Faizan, Azza Halfawi, Alreem Alkuwari, Mohamad Ali, Mohamed Elgassim, Shahzad Anjum
{"title":"Acute spasticity in malignant MCA stroke: a case report and review of literature.","authors":"Muhammad Faizan, Azza Halfawi, Alreem Alkuwari, Mohamad Ali, Mohamed Elgassim, Shahzad Anjum","doi":"10.1093/omcr/omaf114","DOIUrl":null,"url":null,"abstract":"<p><p>Malignant Middle cerebral artery (MCA) infarction is characterized by rapid neurological deterioration due to cerebral edema. Spasticity, a common sequela of stroke, typically occurs days to weeks after the initial event. However, an acute onset of spasticity at presentation is extremely rare. We report a case of a 40-year-old male patient who presented with spasticity accompanied by aphasia and decreased consciousness. Left MCA occlusion was demonstrated on Computed tomography (CT) angiography. Cerebral edema developed rapidly, requiring decompressive hemicraniectomy (DH). The patient was a known smoker with androgenic anabolic steroid use. This case represents a rare presentation of malignant MCA infarction with acute spasticity and adds a unique aspect to the clinical spectrum of stroke presentation. This case emphasizes the need for awareness of atypical stroke presentation and the potential role of anabolic steroids in stroke risk.</p>","PeriodicalId":45318,"journal":{"name":"Oxford Medical Case Reports","volume":"2025 7","pages":"omaf114"},"PeriodicalIF":0.4000,"publicationDate":"2025-07-27","publicationTypes":"Journal Article","fieldsOfStudy":null,"isOpenAccess":false,"openAccessPdf":"https://www.ncbi.nlm.nih.gov/pmc/articles/PMC12296337/pdf/","citationCount":"0","resultStr":null,"platform":"Semanticscholar","paperid":null,"PeriodicalName":"Oxford Medical Case Reports","FirstCategoryId":"1085","ListUrlMain":"https://doi.org/10.1093/omcr/omaf114","RegionNum":0,"RegionCategory":null,"ArticlePicture":[],"TitleCN":null,"AbstractTextCN":null,"PMCID":null,"EPubDate":"2025/7/1 0:00:00","PubModel":"eCollection","JCR":"Q3","JCRName":"MEDICINE, GENERAL & INTERNAL","Score":null,"Total":0}
引用次数: 0

Abstract

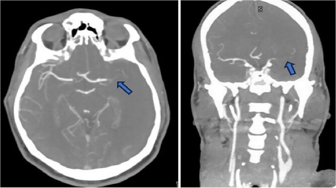
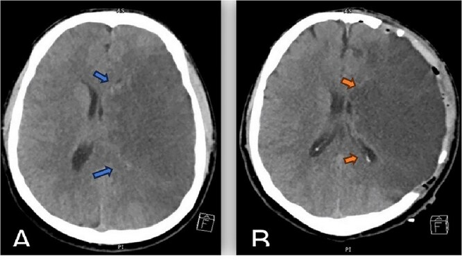
Malignant Middle cerebral artery (MCA) infarction is characterized by rapid neurological deterioration due to cerebral edema. Spasticity, a common sequela of stroke, typically occurs days to weeks after the initial event. However, an acute onset of spasticity at presentation is extremely rare. We report a case of a 40-year-old male patient who presented with spasticity accompanied by aphasia and decreased consciousness. Left MCA occlusion was demonstrated on Computed tomography (CT) angiography. Cerebral edema developed rapidly, requiring decompressive hemicraniectomy (DH). The patient was a known smoker with androgenic anabolic steroid use. This case represents a rare presentation of malignant MCA infarction with acute spasticity and adds a unique aspect to the clinical spectrum of stroke presentation. This case emphasizes the need for awareness of atypical stroke presentation and the potential role of anabolic steroids in stroke risk.

Abstract Image

Abstract Image

Abstract Image

恶性MCA脑卒中急性痉挛1例报告及文献复习。
恶性大脑中动脉(MCA)梗死以脑水肿引起的神经功能迅速恶化为特征。痉挛是中风的一种常见后遗症,通常发生在发病数天至数周后。然而,急性发作痉挛的表现是极其罕见的。我们报告一例40岁的男性患者谁提出痉挛伴随失语和意识下降。CT血管造影显示左中动脉闭塞。脑水肿发展迅速,需要减压半脑切除术(DH)。患者是已知的吸烟者,使用雄激素合成代谢类固醇。这个病例是一种罕见的恶性MCA梗死伴急性痉挛的表现,为中风的临床表现增加了一个独特的方面。本病例强调需要认识非典型卒中的表现和合成代谢类固醇在卒中风险中的潜在作用。
本文章由计算机程序翻译,如有差异,请以英文原文为准。
求助全文
约1分钟内获得全文 求助全文
来源期刊
Oxford Medical Case Reports
Oxford Medical Case Reports MEDICINE, GENERAL & INTERNAL-
CiteScore
0.90
自引率
0.00%
发文量
125
审稿时长
19 weeks
期刊介绍: Oxford Medical Case Reports (OMCR) is an open access, peer-reviewed online journal publishing original and educationally valuable case reports that expand the field of medicine. The journal covers all medical specialities including cardiology, rheumatology, nephrology, oncology, neurology, and reproduction, comprising a comprehensive resource for physicians in all fields and at all stages of training. Oxford Medical Case Reports deposits all articles in PubMed Central (PMC). Physicians and researchers can find your work through PubMed , helping you reach the widest possible audience. The journal is also indexed in the Web of Science Core Collection . Oxford Medical Case Reports publishes case reports under the following categories: Allergy Audiovestibular medicine Cardiology and cardiovascular systems Critical care medicine Dermatology Emergency medicine Endocrinology and metabolism Gastroenterology and hepatology Geriatrics and gerontology Haematology Immunology Infectious diseases and tropical medicine Medical disorders in pregnancy Medical ophthalmology Nephrology Neurology Oncology Paediatrics Pain Palliative medicine Pharmacology and pharmacy Psychiatry Radiology, nuclear medicine, and medical imaging Respiratory disorders Rheumatology Sexual and reproductive health Sports Medicine Substance abuse.
×
引用
GB/T 7714-2015
复制
MLA
复制
APA
复制
导出至
BibTeX EndNote RefMan NoteFirst NoteExpress
×
提示
您的信息不完整,为了账户安全,请先补充。
现在去补充
×
提示
您因"违规操作"
具体请查看互助需知
我知道了
×
提示
确定
请完成安全验证×
copy
已复制链接
快去分享给好友吧!
我知道了
右上角分享
点击右上角分享
0
联系我们:info@booksci.cn Book学术提供免费学术资源搜索服务,方便国内外学者检索中英文文献。致力于提供最便捷和优质的服务体验。 Copyright © 2023 布克学术 All rights reserved.
京ICP备2023020795号-1
ghs 京公网安备 11010802042870号
Book学术文献互助
Book学术文献互助群
群 号:604180095
Book学术官方微信