Granulomatous colitis associated with Prototheca bovis infection in a young cat.

IF 0.7 Q3 VETERINARY SCIENCES
Journal of Feline Medicine and Surgery Open Reports Pub Date : 2025-07-22 eCollection Date: 2025-07-01 DOI:10.1177/20551169251348548
Kento Ishikawa, James K Chambers, Ko Nakashima, Takehiro Sakai, Kazuyuki Uchida
{"title":"Granulomatous colitis associated with <i>Prototheca bovis</i> infection in a young cat.","authors":"Kento Ishikawa, James K Chambers, Ko Nakashima, Takehiro Sakai, Kazuyuki Uchida","doi":"10.1177/20551169251348548","DOIUrl":null,"url":null,"abstract":"<p><strong>Case summary: </strong>A 1-year-old spayed female mixed-breed cat presented with chronic large bowel diarrhoea. The cat was treated with various antibiotics, prednisolone and dietary supplements without significant improvement. Endoscopic examination revealed an irregular colonic mucosa with multifocal erosion and haemorrhage. Impression smears of the colonic mucosa contained large numbers of unicellular round-to-oval organisms and macrophages. Histologically, granulomatous inflammation with numerous organisms was observed in the lamina propria of the colonic mucosa. The organisms had a cell wall and internal segmentation, which were positive on periodic acid-Schiff and Grocott's methenamine silver staining. Immunohistochemically, CD204-positive macrophages had accumulated in the lesions. Ultrastructural examination revealed dense bodies and starch granules, and the absence of chloroplasts in the cytoplasm of the organisms. PCR and a sequence analysis detected the <i>Prototheca bovis 18S rRNA</i> gene in formalin-fixed, paraffin-embedded colonic mucosa tissue. Based on these findings, the cat was diagnosed with granulomatous colitis associated with <i>P bovis</i> infection.</p><p><strong>Relevance and novel information: </strong>This first report of feline intestinal protothecosis suggests that <i>Prototheca</i> species infection should be considered in the differential diagnosis of cats with treatment-resistant chronic large bowel diarrhoea.</p>","PeriodicalId":36588,"journal":{"name":"Journal of Feline Medicine and Surgery Open Reports","volume":"11 2","pages":"20551169251348548"},"PeriodicalIF":0.7000,"publicationDate":"2025-07-22","publicationTypes":"Journal Article","fieldsOfStudy":null,"isOpenAccess":false,"openAccessPdf":"https://www.ncbi.nlm.nih.gov/pmc/articles/PMC12290248/pdf/","citationCount":"0","resultStr":null,"platform":"Semanticscholar","paperid":null,"PeriodicalName":"Journal of Feline Medicine and Surgery Open Reports","FirstCategoryId":"1085","ListUrlMain":"https://doi.org/10.1177/20551169251348548","RegionNum":0,"RegionCategory":null,"ArticlePicture":[],"TitleCN":null,"AbstractTextCN":null,"PMCID":null,"EPubDate":"2025/7/1 0:00:00","PubModel":"eCollection","JCR":"Q3","JCRName":"VETERINARY SCIENCES","Score":null,"Total":0}
引用次数: 0

Abstract

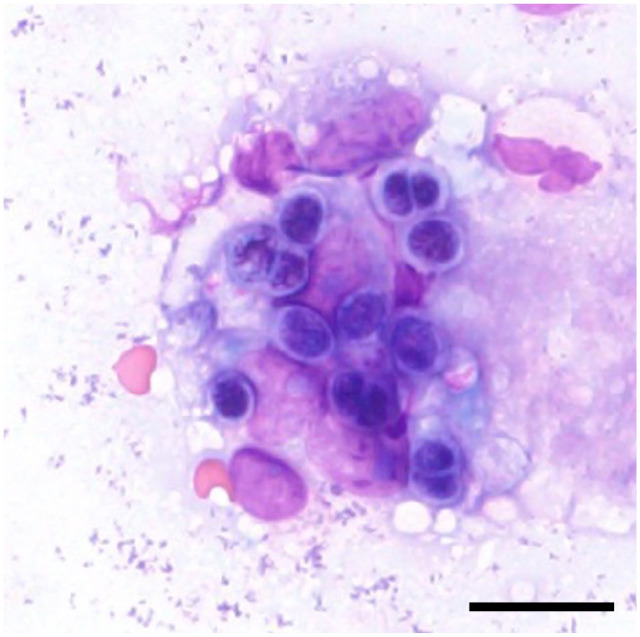
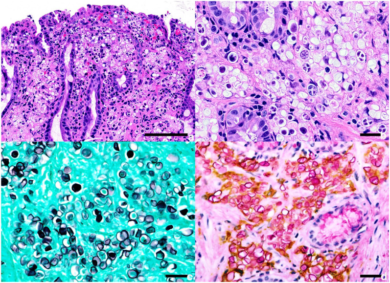
Case summary: A 1-year-old spayed female mixed-breed cat presented with chronic large bowel diarrhoea. The cat was treated with various antibiotics, prednisolone and dietary supplements without significant improvement. Endoscopic examination revealed an irregular colonic mucosa with multifocal erosion and haemorrhage. Impression smears of the colonic mucosa contained large numbers of unicellular round-to-oval organisms and macrophages. Histologically, granulomatous inflammation with numerous organisms was observed in the lamina propria of the colonic mucosa. The organisms had a cell wall and internal segmentation, which were positive on periodic acid-Schiff and Grocott's methenamine silver staining. Immunohistochemically, CD204-positive macrophages had accumulated in the lesions. Ultrastructural examination revealed dense bodies and starch granules, and the absence of chloroplasts in the cytoplasm of the organisms. PCR and a sequence analysis detected the Prototheca bovis 18S rRNA gene in formalin-fixed, paraffin-embedded colonic mucosa tissue. Based on these findings, the cat was diagnosed with granulomatous colitis associated with P bovis infection.

Relevance and novel information: This first report of feline intestinal protothecosis suggests that Prototheca species infection should be considered in the differential diagnosis of cats with treatment-resistant chronic large bowel diarrhoea.

Abstract Image

Abstract Image

Abstract Image

幼猫肉芽肿性结肠炎伴牛原鞘感染。
病例总结:一只1岁的阉割雌性杂交猫表现为慢性大肠腹泻。猫接受了各种抗生素、强的松龙和膳食补充剂治疗,但没有明显改善。内窥镜检查发现结肠黏膜不规则,伴有多灶糜烂和出血。结肠粘膜印模涂片含有大量圆形到椭圆形的单细胞生物和巨噬细胞。组织学上,结肠黏膜固有层可见肉芽肿性炎症,伴有大量微生物。生物细胞壁和内部分裂,周期性酸-希夫和格罗考特甲基苯丙胺银染色阳性。免疫组化结果显示,病变内cd204阳性巨噬细胞聚集。超微结构检查显示致密体和淀粉颗粒,细胞质中没有叶绿体。PCR和序列分析在福尔马林固定石蜡包埋的结肠粘膜组织中检测到牛原鞘18S rRNA基因。根据这些发现,这只猫被诊断为肉芽肿性结肠炎,并伴有牛P感染。相关性和新信息:这是猫肠道原鞘病的第一份报告,表明在猫的治疗耐药慢性大肠腹泻的鉴别诊断中应考虑原鞘感染。
本文章由计算机程序翻译,如有差异,请以英文原文为准。
求助全文
约1分钟内获得全文 求助全文
来源期刊
CiteScore
1.30
自引率
14.30%
发文量
57
审稿时长
15 weeks
×
引用
GB/T 7714-2015
复制
MLA
复制
APA
复制
导出至
BibTeX EndNote RefMan NoteFirst NoteExpress
×
提示
您的信息不完整,为了账户安全,请先补充。
现在去补充
×
提示
您因"违规操作"
具体请查看互助需知
我知道了
×
提示
确定
请完成安全验证×
copy
已复制链接
快去分享给好友吧!
我知道了
右上角分享
点击右上角分享
0
联系我们:info@booksci.cn Book学术提供免费学术资源搜索服务,方便国内外学者检索中英文文献。致力于提供最便捷和优质的服务体验。 Copyright © 2023 布克学术 All rights reserved.
京ICP备2023020795号-1
ghs 京公网安备 11010802042870号
Book学术文献互助
Book学术文献互助群
群 号:604180095
Book学术官方微信